You are here

Что с лёгкими?

Пол пациента: 
Тип патологии: 
Методы исследования: 

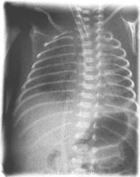
Новорождённый, недоношенный.Первые часы после рождения. Снимок выполнен, как стадартное исследование у недоношенных. Что мы видим и как можно оценивать картину?

  • https://radiomed.ru/sites/default/files/styles/case_slider_image/public/user/2841/novorozhdyonnyy_nedonoshennyy0020.jpg?itok=G3VgUBXA
  • https://radiomed.ru/sites/default/files/styles/case_slider_image/public/user/2841/novorozhdyonnyy_nedonoshennyy00201.jpg?itok=YwCXNA8P
  • https://radiomed.ru/sites/default/files/styles/case_slider_image/public/user/2841/novorozhdyonnyy_nedonoshennyy00202.jpg?itok=nBksz5rk
ID:29642
Андрей Юрьевич's picture
Offline
Last seen: 2 weeks 5 days ago
Joined: 16.11.2008 - 22:16
Posts: 18106

Написал бы диффузное снижение пневматизации легочных плей, расценил бы как рентгенпризнаки  пневмопатии.

Андрей Юрьевич

Almo's picture
Offline
Last seen: 14 hours 5 min ago
Joined: 28.09.2008 - 18:50
Posts: 8304

А, респираторный дистресс-синдром новорождёных ( синоним синдром гиалиновых мембран)? Не тянет?

Андрей Юрьевич's picture
Offline
Last seen: 2 weeks 5 days ago
Joined: 16.11.2008 - 22:16
Posts: 18106

Отчего же, тянет. Просто, на мой взгляд, это больше клиническое понятие, чем рентгеновское.

Андрей Юрьевич

Almo's picture
Offline
Last seen: 14 hours 5 min ago
Joined: 28.09.2008 - 18:50
Posts: 8304

Надо будет подумать об этом и почитать литературу...Хотелось бы знать мнение и других коллег по этому вопросу, в частности тех, кто вплотную занимается R-диагностикой в неонатолгии( я -"взрослый" рентгенолог и неонатология для меня terra incognita).

Андрей Юрьевич's picture
Offline
Last seen: 2 weeks 5 days ago
Joined: 16.11.2008 - 22:16
Posts: 18106

Если Вам более привычно, напиште респираторный дистресс-синдром. Но только без точного указания причины (б-нь гиалиновых мембран) http://www.icj.ru/journal/number-2-2007/114-diagnostika-i-lechenie-respiratornogo-distress-sindroma-rds-nedonoshennyh.html

Андрей Юрьевич

Almo's picture
Offline
Last seen: 14 hours 5 min ago
Joined: 28.09.2008 - 18:50
Posts: 8304

Спасибо, за ссылку. Уже написал РДСН, но сомнения остаются, поэтому и разместил случай в надежде на информационную поддержку.

Santuus's picture
Offline
Last seen: 2 years 10 months ago
Joined: 01.07.2009 - 23:08
Posts: 109

+1  за РДС

Сольвейг's picture
Offline
Last seen: 3 years 10 months ago
Joined: 05.02.2013 - 20:25
Posts: 2239

Я бы не стала придираться,-нормальная картина для НР и недоношенного ребенка

ЕЕЮ's picture
Offline
Last seen: 2 years 6 months ago
Joined: 26.08.2013 - 11:22
Posts: 410

Понижение прозрачности есть, но на пневмонию не тянет. Если нет клиники и ребенок недоношенный - то всё в пределах нормы.

Almo's picture
Offline
Last seen: 14 hours 5 min ago
Joined: 28.09.2008 - 18:50
Posts: 8304

Понижение прозрачности есть, но на пневмонию не тянет. Если нет клиники и ребенок недоношенный - то всё в пределах нормы.

---------------------------------------------------------------------------------------------------------------------------------------------------------------

ИМХО: не могу с вами согласиться. Считаю данную картину нельзя считать нормой и что у недоношенного ребёнка своя карина нормы?

арти's picture
Offline
Last seen: 12 years 6 months ago
Joined: 26.02.2012 - 11:23
Posts: 490

Разумеется это не норма. Сама бы написала РДСН, но пневмопатия- звучит привлекательнее

Сольвейг's picture
Offline
Last seen: 3 years 10 months ago
Joined: 05.02.2013 - 20:25
Posts: 2239

Недоношенный ребенок-это уже не норма,поэтому,это понятие условно.Такая картина нормальна даже для доношенного ребенка,почему Вам кажется,что снижена пневматизация?Если бы сделали снимок в нормальном режиме,то легочный рисунок выглядел бы нормальным,а если бы в "мягком"режиме-то вообще бы показался бы усиленным или обогащенным.Здесь имеет место"жесткий" снимок,поэтому возникают проблемы с его интерпретацией

Almo's picture
Offline
Last seen: 14 hours 5 min ago
Joined: 28.09.2008 - 18:50
Posts: 8304

Недоношенный ребенок-это уже не норма,поэтому,это понятие условно.Такая картина нормальна даже для доношенного ребенка,почему Вам кажется,что снижена пневматизация?Если бы сделали снимок в нормальном режиме,то легочный рисунок выглядел бы нормальным,а если бы в "мягком"режиме-то вообще бы показался бы усиленным или обогащенным.Здесь имеет место"жесткий" снимок,поэтому возникают проблемы с его интерпретацией

--------------------------------------------------------------------------------------------------------------------------------------------------------------

Вы думаете, что это норма. Будем считать, что мнения разошлись. Вообще,  это цифровой отредавктировнный снимок и его можно сделать сколько угодно "жёстким". У этого пациента были выраженные проявления синдрома дыхательных расстройств, он был переведён на аппарат ИВЛ. Думаю здорового ребёнка, с нормой по лёгким на ИВЛ некто бы не перевёл.

Сольвейг's picture
Offline
Last seen: 3 years 10 months ago
Joined: 05.02.2013 - 20:25
Posts: 2239

Согласна с Вами,что признаки СДР были,раз ребенок на ИВЛ,но рентгенологически-нет.Отцифровать можно любой снимок,но всегда видно в каком режиме он изначально был сделан

Almo's picture
Offline
Last seen: 14 hours 5 min ago
Joined: 28.09.2008 - 18:50
Posts: 8304

ИМХО: синдром лёгочной диссеминации, более выраженный справа.На фоне тени сердца чётко прослеживаются полоски бронхов( на фоне пневматизированной лёгочной ткани, мы бы этого не увидили).Нечёткость контуров средостения и купола диафрагмы слева. Ну, какая же это норма-это патология. 

ЕЕЮ's picture
Offline
Last seen: 2 years 6 months ago
Joined: 26.08.2013 - 11:22
Posts: 410

И всё таки мнения  разошлись - я за норму!

Almo's picture
Offline
Last seen: 14 hours 5 min ago
Joined: 28.09.2008 - 18:50
Posts: 8304

И всё таки мнения разошлись - я за норму!

-------------------------------------------------------------------------------------------------------------------------------------------

Это хорошо, когда у специалиста есть своё мнение. Лучше когда оно правильное.

ЕЕЮ's picture
Offline
Last seen: 2 years 6 months ago
Joined: 26.08.2013 - 11:22
Posts: 410

[quote=Almo]

И всё таки мнения разошлись - я за норму!

-------------------------------------------------------------------------------------------------------------------------------------------

Полностью с вами согласна!

Сольвейг's picture
Offline
Last seen: 3 years 10 months ago
Joined: 05.02.2013 - 20:25
Posts: 2239

Полоски воздушных бронхов у детей видны практически всегда,"нечеткость" связана с тем,что такой малыш просто не может задержать дыхание во время съемки по команде лаборанта+тахипное=все-таки-норма.Я высказались как и небольшой специалист по детским снимкам.С уважением,Миргалина.

Сольвейг's picture
Offline
Last seen: 3 years 10 months ago
Joined: 05.02.2013 - 20:25
Posts: 2239

Забыла добавить еще,что ребенок развернут,поэтому кажется разная прозрачность легочных полей слева и справа.О какой диссеминации идет речь?

Almo's picture
Offline
Last seen: 14 hours 5 min ago
Joined: 28.09.2008 - 18:50
Posts: 8304

Интерпритация рентгнограммы-субъективная вещь и далее вести дисскуссию в этом направлении, считаю непродуктивным.