You are here

Это сегодня или в прошлом?

Пол пациента: 
Тип патологии: 
Методы исследования: 

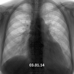
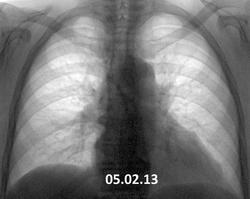
03.01.14 - острых жалоб нет, одышка. Летом лечила пневмонию. Предыдущая флгр. 05.02.13. Как относится к пневмотораксу справа - как к острому состоянию или, может,  как к состоянию после перенесенного пневмоторакса?

  • https://radiomed.ru/sites/default/files/styles/case_slider_image/public/user/3055/1952g.r.05.02.13.jpg?itok=0o_azndL
ID:35023
stovbav's picture
Offline
Last seen: 2 years 5 months ago
Joined: 20.12.2009 - 17:28
Posts: 7066

Как по мне - состояние острое...в прошлом году ничего подобного не было...анамнез с ПРИСТРАСТИЕМ!!!!!!!!!

Алексей Станиславович's picture
Offline
Last seen: 6 years 4 weeks ago
Joined: 11.08.2012 - 20:33
Posts: 1903

А нужно ли нам (рентгенологам) относится к выявленному пневмотраксу с точки зрения остроты процесса (в данном случае)? Разве мы сможем утверждать, что ПТ не возник летом?

С уважением, smiley

Андрей Юрьевич's picture
Offline
Last seen: 1 month 2 weeks ago
Joined: 16.11.2008 - 22:16
Posts: 18101

Повторил бы вдох+выдох, если недоступна скопия

Андрей Юрьевич

svetlana292929's picture
Offline
Last seen: 3 years 11 months ago
Joined: 18.06.2012 - 13:53
Posts: 869

я не понимаю почему легочный рисунок везде прослеживается..frown

Алексей Станиславович's picture
Offline
Last seen: 6 years 4 weeks ago
Joined: 11.08.2012 - 20:33
Posts: 1903

svetka292929 wrote:

я не понимаю почему легочный рисунок везде прослеживается..frown

Потому что ПТ ограниченый.

С уважением, smiley

svetlana292929's picture
Offline
Last seen: 3 years 11 months ago
Joined: 18.06.2012 - 13:53
Posts: 869

Алексей Станиславович wrote:

svetka292929 wrote:

я не понимаю почему легочный рисунок везде прослеживается..frown

Потому что ПТ ограниченый.

smileysmiley к такому меня жизнь не подготовила )) crying

Игорь Иванович's picture
Offline
Last seen: 4 years 1 week ago
Joined: 23.01.2010 - 14:56
Posts: 3695

stovbav wrote:

...в прошлом году ничего подобного не было...

Виктор Григорьевич, это просто предыдущая архивная флгр.от 03.01.13, а пневмонию лечила летом. К сожалению - что за пневмония, и т.д.? - снимков нет.

stovbav's picture
Offline
Last seen: 2 years 5 months ago
Joined: 20.12.2009 - 17:28
Posts: 7066

svetka292929 wrote:

Алексей Станиславович wrote:

svetka292929 wrote:

я не понимаю почему легочный рисунок везде прослеживается..frown

Потому что ПТ ограниченый.

smileysmiley к такому меня жизнь не подготовила )) crying

А Вы обращайте внимание на темы Мурата Максутовича, там и не такие "чудеса" по поводу ограниченых пневмотораксов можно лицезреть))))

Makcimalist's picture
Offline
Last seen: 11 years 11 months ago
Joined: 08.05.2010 - 14:28
Posts: 1994

Андрей Юрьевич wrote:

Повторил бы вдох+выдох, если недоступна скопия,..

а я бы повторил снимок с небольшим поворотом на 10-15* влево... Какой-то интересный пневмоторакс.

Надеюсь, возможно выполнить такой снимок, Игорь Иванович? Или теперь это уже не моё дело?)

--------------

"Просто, по видимости, не видеть логики в очевидных вещах - это тоже одно из свойств некоторых умов, наряду с грустными думами о свойствах ума других."  © Vega 08/10/2011

Дмитрий Волегов's picture
Offline
Last seen: 3 years 9 months ago
Joined: 22.05.2013 - 00:32
Posts: 1148

Пневмоторакс, выявленный во флюоорографическом кабинете,  предполагает тактику дообследования в рентгенкабинете. Поближе к лечебной, клинической направленности. Если же пациентка через 6 месяцев, согласно R-тактике при пневмонии, была направлена на контроль, то при ней должны быть и летние снимки, и выписка из истории?

С Уважением, Дмитрий.

Алексей Станиславович's picture
Offline
Last seen: 6 years 4 weeks ago
Joined: 11.08.2012 - 20:33
Posts: 1903

Дмитрий Волегов wrote:

Пневмоторакс, выявленный во флюоорографическом кабинете,  предполагает тактику дообследования в рентгенкабинете. Поближе к лечебной, клинической направленности. Если же пациентка через 6 месяцев, согласно R-тактике при пневмонии, была направлена на контроль, то при ней должны быть и летние снимки, и выписка из истории?

Не будем идеализировать, Дмитрий. Терапевту проще без всего (без снимков и выписок) отправить на ФГ. (Флюорограф (заведомо) цифровой, РГ- аппарат (запросто) плёнка). Ну, и пусть сам терапевт думает об остроте ПТ. А вот если спросит рентгенолога, рентгенолог и спросит с него выписку, снимки, и все, что сочтет нужным.

С уважением, smiley

Игорь Иванович's picture
Offline
Last seen: 4 years 1 week ago
Joined: 23.01.2010 - 14:56
Posts: 3695

Это вчерашняя флюорография. Пациентка не лечилась.

Приложения: 
1952g.r.22.01.14.jpg
Сольвейг's picture
Offline
Last seen: 3 years 8 months ago
Joined: 05.02.2013 - 20:25
Posts: 2239

Вы знаете,мне кажется подобная полоска "пневмоторакса" есть на всех трех снимках,только где-то более видна,а где-то-менее.Присмотритесь,может, кто-то тоже заметит.

Makcimalist's picture
Offline
Last seen: 11 years 11 months ago
Joined: 08.05.2010 - 14:28
Posts: 1994

Игорь Иванович wrote:

Это вчерашняя флюорография. Пациентка не лечилась.

Благодарю за динамику случая. Но у меня ещё меньше доверия осталось к пневмотораксу, который был или не был,.. осталось за кадром... (пред)настоящей истории этой.

Миргалина wrote:
Вы знаете,мне кажется подобная полоска "пневмоторакса" есть на всех трех снимках,только где-то более видна,а где-то-менее.Присмотритесь,может, кто-то тоже заметит.

yes

--------------

"Просто, по видимости, не видеть логики в очевидных вещах - это тоже одно из свойств некоторых умов, наряду с грустными думами о свойствах ума других."  © Vega 08/10/2011

Игорь Иванович's picture
Offline
Last seen: 4 years 1 week ago
Joined: 23.01.2010 - 14:56
Posts: 3695

Миргалина wrote:

Вы знаете,мне кажется подобная полоска "пневмоторакса" есть на всех трех снимках,только где-то более видна,а где-то-менее.Присмотритесь,может, кто-то тоже заметит.

И я себя на этом ловлю...

Сольвейг's picture
Offline
Last seen: 3 years 8 months ago
Joined: 05.02.2013 - 20:25
Posts: 2239

Ну вот и хорошо! Я опять не одна!

Дмитрий Волегов's picture
Offline
Last seen: 3 years 9 months ago
Joined: 22.05.2013 - 00:32
Posts: 1148

Ну подколочки-матрёночки. Тщательнее надо быть и внимательнее. Однако - скиалогический феномен всё ж.

С Уважением, Дмитрий.

Makcimalist's picture
Offline
Last seen: 11 years 11 months ago
Joined: 08.05.2010 - 14:28
Posts: 1994

Дмитрий, Вы ошибаетесь, вспомните автора

Игорь Иванович wrote:

...Как относится к пневмотораксу справа - как к острому состоянию, или может как к состоянию после перенесенного пневмоторакса?

В словах не читается иронии или сомнения в наличии пневмоторакса. Или я снова не заметил, как вошёл в чужое сомнение?)

--------------

"Просто, по видимости, не видеть логики в очевидных вещах - это тоже одно из свойств некоторых умов, наряду с грустными думами о свойствах ума других."  © Vega 08/10/2011

алкс's picture
Offline
Last seen: 10 years 3 months ago
Joined: 24.10.2012 - 22:55
Posts: 2915

" и гиде пневмоторакс"?smiley

Сольвейг's picture
Offline
Last seen: 3 years 8 months ago
Joined: 05.02.2013 - 20:25
Posts: 2239

алкс wrote:

" и гиде пневмоторакс"?smiley

Получается,что нет его. Нашего полку прибыло !

Makcimalist's picture
Offline
Last seen: 11 years 11 months ago
Joined: 08.05.2010 - 14:28
Posts: 1994

алкс wrote:

" и гиде пневмоторакс"?smiley

Наверное, там же ги де Мопассан.)

--------------

"Просто, по видимости, не видеть логики в очевидных вещах - это тоже одно из свойств некоторых умов, наряду с грустными думами о свойствах ума других."  © Vega 08/10/2011

алкс's picture
Offline
Last seen: 10 years 3 months ago
Joined: 24.10.2012 - 22:55
Posts: 2915

Makcimalist wrote:

алкс wrote:

" и гиде пневмоторакс"?smiley

Наверное, там же ги де Мопассан.)

Это в дали?smiley

Makcimalist's picture
Offline
Last seen: 11 years 11 months ago
Joined: 08.05.2010 - 14:28
Posts: 1994

winkyes

--------------

"Просто, по видимости, не видеть логики в очевидных вещах - это тоже одно из свойств некоторых умов, наряду с грустными думами о свойствах ума других."  © Vega 08/10/2011

koliyris's picture
Offline
Last seen: 1 month 2 weeks ago
Joined: 06.12.2013 - 15:32
Posts: 32

Пневмоторакса не вижу. Подчеркнутая горизонтальная м/долевая плевра  справа. Сердце митральной формы за счет 2-й, 3-й дуги.

Алексей Станиславович's picture
Offline
Last seen: 6 years 4 weeks ago
Joined: 11.08.2012 - 20:33
Posts: 1903

А так тоже нету? Какая тогда плевра подчеркнута?

Приложения: 
1952g_r_03_01_14.jpg

С уважением, smiley

NIL's picture
NIL
Offline
Last seen: 1 week 4 days ago
Joined: 25.11.2013 - 20:50
Posts: 18209

За границами проведенной Вами линии сосудистый рисунок прослеживается. 


"Слушай всех, прислушивайся к немногим, решай сам".©

Игорь Иванович's picture
Offline
Last seen: 4 years 1 week ago
Joined: 23.01.2010 - 14:56
Posts: 3695

NIL wrote:

За границами проведенной Вами линии сосудистый рисунок прослеживается. 

С одной стороны можно пофантазировать, что это какой- нибудь осумкованный пневмоторакс, с другой - костальная плевральная спайка. Тогда как понять динамику? Вскрытие помогло бы (шЮтка).

NIL's picture
NIL
Offline
Last seen: 1 week 4 days ago
Joined: 25.11.2013 - 20:50
Posts: 18209

А почему бы ни выполнить линейную томографию, может разрешила бы Ваши сомнения?


"Слушай всех, прислушивайся к немногим, решай сам".©

Андрей Юрьевич's picture
Offline
Last seen: 1 month 2 weeks ago
Joined: 16.11.2008 - 22:16
Posts: 18101

Игорь Иванович wrote:

С одной стороны можно пофантазировать, что это какой- нибудь осумкованный пневмоторакс, с другой - костальная плевральная спайка. Тогда как понять динамику? Вскрытие помогло бы (шЮтка).

Вот этот совет не нравится?

Андрей Юрьевич wrote:

Повторил бы вдох+выдох, если недоступна скопия

Андрей Юрьевич

Алексей Станиславович's picture
Offline
Last seen: 6 years 4 weeks ago
Joined: 11.08.2012 - 20:33
Posts: 1903

NIL wrote:

За границами проведенной Вами линии сосудистый рисунок прослеживается. 

На мой взгляд, это нисколько не мешает ПТ быть, к примеру, по задне-боковой поверхности легкого (и, соотвественно, быть прикрытому спереди тканью легкого). Или по передне-боковой поверхности. Не думаю, что я провел линию - я лишь подчеркнул то, что несомненно присутствует на рентгенограмме.

С уважением, smiley

NIL's picture
NIL
Offline
Last seen: 1 week 4 days ago
Joined: 25.11.2013 - 20:50
Posts: 18209

Есть ещё полипозиционное исследование. Можно выполнить Р-грамму в косой атипичной проекции, постараться вывести "зону интереса " в краеобразующую область. Голь на выдумки хитра.


"Слушай всех, прислушивайся к немногим, решай сам".©

stovbav's picture
Offline
Last seen: 2 years 5 months ago
Joined: 20.12.2009 - 17:28
Posts: 7066

1. Мы уже не раз обсуждали здесь пневмотораксы...видели даже хронические.

2. В доводах Алесея Станиславовича все доходчиво сказано, почему НА ФОНЕ легочного рисунка.

3. Что ПРОТИВ шварты- одинаковая толщина...что для нее не характерно, в отличии от КРАЯ легкого.

4. Надо ДОГОНЯТЬ, как - тут много советов и все дельные.

Сольвейг's picture
Offline
Last seen: 3 years 8 months ago
Joined: 05.02.2013 - 20:25
Posts: 2239

Алексей Станиславович wrote:

А так тоже нету? Какая тогда плевра подчеркнута?

А если приглядимся еще внимательнее,то и слева увидим подобную полосочку. Нет пневмоторакса.Подобный феномен почему-то чаше наблюдается у пациентов с обедненным легочным рисунком,фиброзных изменениях в легких.(это из личных наработок) С уважением,Миргалина

алкс's picture
Offline
Last seen: 10 years 3 months ago
Joined: 24.10.2012 - 22:55
Posts: 2915

Миргалина wrote:
Алексей Станиславович wrote:

А так тоже нету? Какая тогда плевра подчеркнута?

А если приглядимся еще внимательнее,то и слева увидим подобную полосочку. Нет пневмоторакса.Подобный феномен почему-то чаше наблюдается у пациентов с обедненным легочным рисунком,фиброзных изменениях в легких.(это из личных наработок) С уважением,Миргалина

Коллеги, еще раз прошу, не абсолютизируйте снимки. По мне - справа и слева - артефакты. Таких полосок, как говаривал коллега "на пучок..." Если пневмоторакс: значит ограниченный( осумкованный), тогда понятно явление рисунка за пределами полоски. Теперь прикинем объем его, практически треть легкого, ИМХО. Слева - явная натяжка плоски по снимку. Но этого для клиники- выше головы. Про травм. тораксы- там песни другие и клиника безсознательного пациента нивелирует тораксы. А тут- оно без сознания? А прошлогоднее "смещение средостения" чуть ли не больше нынешнегоsmiley Как-то так... ИМХО.

Дмитрий Волегов's picture
Offline
Last seen: 3 years 9 months ago
Joined: 22.05.2013 - 00:32
Posts: 1148

Контур «пневмоторакса» не нравится. Неровный он.

Линия, которая издалека принимается моим глазом за край поджатого легкого, при увеличении распадается на отдельные фрагменты легочного рисунка. На уровне 6-го, 7-го, 8-го рёбер этой линии нет вообще. Так что остаюсь при своем (втором на ветке) мнении – скиалогический феномен.

Разумеется, в заключении «скиалогический феномен» - не напишешь. И «усиление легочного рисунка с суммацией теней преимущественно по одной вертикальной линии правого легкого" – тоже не напишешь. Но и пневмоторакс – не напишешь. Похоже, осталось недоказанное подозрение на пневмоторакс. Как просто очень интересный случай.

P.S. Без претензии на клиническую истину.

 

Приложения: 
1952g.roooo_.jpg

С Уважением, Дмитрий.

Сольвейг's picture
Offline
Last seen: 3 years 8 months ago
Joined: 05.02.2013 - 20:25
Posts: 2239

Таких "пневмотораксов" на ЦФЛГ гр.кл. пруд пруди. Не берите в голову.

Игорь Иванович's picture
Offline
Last seen: 4 years 1 week ago
Joined: 23.01.2010 - 14:56
Posts: 3695

Миргалина wrote:
Таких "пневмотораксов" на ЦФЛГ гр.кл. пруд пруди. Не берите в голову.
Ну я бы не сказал. С 2006 г. читаю цифру ( а до этого 18 лет пленку крутил), таких вещей не видел. Всякие там неровности, особенно сердечной тени, аорты - да (даже на сайте обговаривали "укушенную" аорту Виктора Григорьевича). Поэтому тут и задумался. Все-таки, пневмоторакс был, и видимо саморазрешился.

Алексей Станиславович's picture
Offline
Last seen: 6 years 4 weeks ago
Joined: 11.08.2012 - 20:33
Posts: 1903

Миргалина wrote:
Таких "пневмотораксов" на ЦФЛГ гр.кл. пруд пруди. Не берите в голову.
Работаю на цифре. Не видел такого артефакта.

С уважением, smiley

Алексей Станиславович's picture
Offline
Last seen: 6 years 4 weeks ago
Joined: 11.08.2012 - 20:33
Posts: 1903

алкс wrote:

Миргалина wrote:
Алексей Станиславович wrote:

А так тоже нету? Какая тогда плевра подчеркнута?

А если приглядимся еще внимательнее,то и слева увидим подобную полосочку. Нет пневмоторакса....

Коллеги, еще раз прошу, не абсолютизируйте снимки. По мне - справа и слева - артефакты. Таких полосок, как говаривал коллега "на пучок..." Если пневмоторакс: значит ограниченный( осумкованный), тогда понятно явление рисунка за пределами полоски. Теперь прикинем объем его, практически треть легкого, ИМХО. Слева - явная натяжка плоски по снимку. Но этого для клиники- выше головы. Про травм. тораксы- там песни другие и клиника безсознательного пациента нивелирует тораксы. А тут- оно без сознания? А прошлогоднее "смещение средостения" чуть ли не больше нынешнегоsmiley Как-то так... ИМХО.

Уважаемый Алкс, то есть, нет пневмоторакса и по-вашему? Не понял итоговый вывод. И что (в данном случае) значит "не абсолютизировать снимки"? Если качество снимка нас устраивает, мы должны объяснить скиалогию (хотя бы себе). Не устраивает - расширяем исследование, или переделываем плохой снимок. Здесь о плохом качестве речь не идет. 

С уважением, smiley

Makcimalist's picture
Offline
Last seen: 11 years 11 months ago
Joined: 08.05.2010 - 14:28
Posts: 1994

Игорь Иванович wrote:

Миргалина wrote:
Таких "пневмотораксов" на ЦФЛГ гр.кл. пруд пруди. Не берите в голову.
Ну я бы не сказал. С 2006 г. читаю цифру ( а до этого 18 лет пленку крутил), таких вещей не видел. Всякие там неровности, особенно сердечной тени, аорты - да (даже на сайте обговаривали "укушенную" аорту Виктора Григорьевича). Поэтому тут и задумался. Все-таки, пневмоторакс был, и видимо саморазрешился.

И всё-таки его не было. Как сказал Коллега Дмитрий, не претендую на истину.) А феномен подобный скиалогический вполне могла дать кожная складка. Кожа разной плотности и толщины у всех нас была всегда.)

--------------

"Просто, по видимости, не видеть логики в очевидных вещах - это тоже одно из свойств некоторых умов, наряду с грустными думами о свойствах ума других."  © Vega 08/10/2011

Makcimalist's picture
Offline
Last seen: 11 years 11 months ago
Joined: 08.05.2010 - 14:28
Posts: 1994

Например, как здесь. Не там же, но тоже она.)

Приложения: 
179a.png

--------------

"Просто, по видимости, не видеть логики в очевидных вещах - это тоже одно из свойств некоторых умов, наряду с грустными думами о свойствах ума других."  © Vega 08/10/2011

Makcimalist's picture
Offline
Last seen: 11 years 11 months ago
Joined: 08.05.2010 - 14:28
Posts: 1994

Алексей Станиславович wrote:

... Здесь о плохом качестве речь не идет. 

Согласен, снимок вполне себе даже хорош. Для цифровой ФЛГ. Но артефакты есть и на нём. Например, и он основной критерий отсутствия пневмоторакса как такового - горизонтальная полоска за диафрагмой справа - не доходит она ни вправо до грая рёберного, ни влево - до паравертебрального. То бишь не жидкость, а артефакт. Бывает, частенько, если слабой мощности цифровой аппарат, границы сред он недопереваривает слегка.)

--------------

"Просто, по видимости, не видеть логики в очевидных вещах - это тоже одно из свойств некоторых умов, наряду с грустными думами о свойствах ума других."  © Vega 08/10/2011

Helios's picture
Offline
Last seen: 10 months 2 weeks ago
Joined: 06.08.2010 - 15:16
Posts: 4417

Лаборантов  давно приучила при подозрении на пневмоторакс снимки на выдохе делать.

Я тоже присоединяюсь к мнению , что достоверно не определяется.