You are here

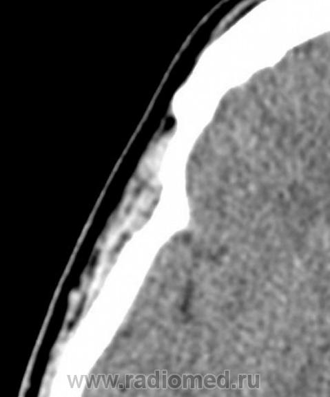
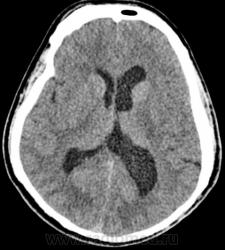
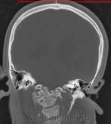
Nela. КТ головного мозга и костей. Гистиоцитоз Х (морфологическая верификация).

Пол пациента: 
Тип патологии: 
Область исследования: 
Методы исследования: 

Наблюдение Nela.

Пациент - молодой человек, предъявляет жалобы на головные боли и боли в шее. Болеет с 2002 года.

Случай помещен с согласия автора.

  • https://radiomed.ru/sites/default/files/styles/case_slider_image/public/user/12/2._Gist._0.jpg?itok=jQ5tgM97
  • https://radiomed.ru/sites/default/files/styles/case_slider_image/public/user/12/3.GIST__0.jpg?itok=D3foCkMU
  • https://radiomed.ru/sites/default/files/styles/case_slider_image/public/user/12/4._GIST..jpg?itok=y6eT-KJ5
  • https://radiomed.ru/sites/default/files/styles/case_slider_image/public/user/12/5.GIST_..jpg?itok=gX0ZU7uP
  • https://radiomed.ru/sites/default/files/styles/case_slider_image/public/user/12/6.GIST_.jpg?itok=Sd406rIs
  • https://radiomed.ru/sites/default/files/styles/case_slider_image/public/user/12/7.GIST_.jpg?itok=AlQ1kP4Y
  • https://radiomed.ru/sites/default/files/styles/case_slider_image/public/user/12/8.GIST_.jpg?itok=cM5i4FA-
  • https://radiomed.ru/sites/default/files/styles/case_slider_image/public/user/12/9.GIST_..jpg?itok=wxdX982_
  • https://radiomed.ru/sites/default/files/styles/case_slider_image/public/user/12/10.GIST_.jpg?itok=G9L3gETa
  • https://radiomed.ru/sites/default/files/styles/case_slider_image/public/user/12/11.GIST_.jpg?itok=zX4Xy5AT
  • https://radiomed.ru/sites/default/files/styles/case_slider_image/public/user/12/12.GIST_.jpg?itok=M4GK6Mfc
  • https://radiomed.ru/sites/default/files/styles/case_slider_image/public/user/12/14.GIST_.jpg?itok=UIUuXx9C
  • https://radiomed.ru/sites/default/files/styles/case_slider_image/public/user/12/13.GIST_..jpg?itok=92zrfsgM
  • https://radiomed.ru/sites/default/files/styles/case_slider_image/public/user/12/15_GIST..jpg?itok=posHeWgo
ID:141
ЛГ's picture
Offline
Last seen: 9 years 3 weeks ago
Joined: 06.01.2010 - 12:31
Posts: 3523

Гистиоцитоз Х – заболевание ретикулоцитарной системы неизвестной этиологии, морфологически характеризующееся первичной пролиферацией своеобразных гистиоцитов (клеток Лангерганса или клеток Х) и образованием в легких и в других органах и тканях гистиоцитарных гранулем и гранулематозных инфильтратов.

 

В понятие “гистиоцитоз Х” включают болезнь Abt–Letter–Siwe, болезнь Hand–Schuller–Christian, а также эозинофильную гранулему с разной степенью выраженности гистиоцитарной пролиферации.

Заболевание относится к системным: гранулемы могут образовываться в различных органах, но наиболее часто поражаются легкие и кости. Заболевают чаще всего люди молодого возраста, между 20 и 40 годами, большей частьюмужчины.

Частота гистиоцитоза Х составляет в среднем 5 на 1 000 000 человек. Более 90% заболевших курильщики.

 

Клинические симптомы неспецифичны:

кашель, чаще сухой, медленно прогрессирующая одышка, общее

 недомогание. Показатели функции внешнего дыхания как правило не изменены, но могут быть и признаки смешанных вентиляционных расстройств. В ранней стадии заболевания как осложнение может возникнуть клапанный пневмоторакс, в более поздней стадии – тяжелая респираторная недостаточность и развитие легочного сердца. Для

лечения используют цитостатики и кортикостероиды.

 

Данные из "Медицинской визуализации"

Исследованы ли легкие, были ли признаки узелково-сотовых изменений в легких?

Nela's picture
Offline
Last seen: 6 years 3 months ago
Joined: 12.05.2009 - 20:43
Posts: 1847

Легкие наверняка исследовались, так как больной долгое время обследовался и лечился не только у нас, но и в центральных институтах. Я лично снимков легких не видела. Никаких указаний на поражение легких не было.

Катенёв Валентин Львович's picture
Offline
Last seen: 7 years 2 months ago
Joined: 22.03.2008 - 22:15
Posts: 54876

А как часто встречается такая патология?

Nela's picture
Offline
Last seen: 6 years 3 months ago
Joined: 12.05.2009 - 20:43
Posts: 1847

Такое обширное поражение нечасто встречается. Я вижу впервые.

Катенёв Валентин Львович's picture
Offline
Last seen: 7 years 2 months ago
Joined: 22.03.2008 - 22:15
Posts: 54876

Из ответа следует, что "не обширные" поражения встречаются чаще?

Nela's picture
Offline
Last seen: 6 years 3 months ago
Joined: 12.05.2009 - 20:43
Posts: 1847

Конечно чаще, но не каждый день. Гистиоцитоз Х или эозинофильная гранулема, или гистиоцитоз из клеток Лангерганса редкое заболевание. Но, думаю, каждый рентгенолог со стажем видел костный гистиоцитоз в костях свода или в позвонке. У нас областное гематологическое отделение, поэтому наверно раз в 1-2 года встречаем.

Катенёв Валентин Львович's picture
Offline
Last seen: 7 years 2 months ago
Joined: 22.03.2008 - 22:15
Posts: 54876

А есть-ли какая-то разница поражения позвоночника при гистиоцитозе и эозинофильной гранулёме?

Nela's picture
Offline
Last seen: 6 years 3 months ago
Joined: 12.05.2009 - 20:43
Posts: 1847

Да это ж одна болячка. Сейчас ее чаще стали называть гистиоцитоз.

http://granulema.ru/histiocytosis-langerhans/

Катенёв Валентин Львович's picture
Offline
Last seen: 7 years 2 months ago
Joined: 22.03.2008 - 22:15
Posts: 54876

Спасибо. Огромная благодарность за ссылку. Я вчера вечером лазил по Инету - и все какая-то "бодяга".

марина сучкова's picture
Offline
Last seen: 14 years 5 months ago
Joined: 25.02.2010 - 08:37
Posts: 5

Спасибо большое, вижу впервые поражение костной системы при гистиоцитозе, были случаи эозинофильных гранулем в легких.

Маришка