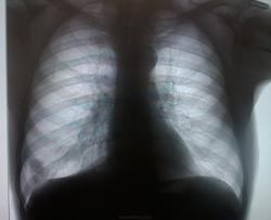
Периферический c-r нижней доли правого легкого (S8), отрицательная динамика в сравнении с исследованием от 2011 г. Показано дообследование : КТ (уточнение характера образования; исключение метастатических очагов; состояние л/узлов); трансторакальная пункция (морфологическая верификация).
По принципам анализа снимокв ОГК, иногда указывается другой порядок: средостение сверху вниз, диафрагма, синусы, корни, легочный рисунок, прозрачность легочных полей.
Уважаемые коллеги, а вы как оцениваете?
Все как в схеме, только иногда скелет и мягкие ткани оцениваю в последнюю очередь,-у нас это не ходовая часть, да и то если есть изменения. Это в классике. А в КТ-все подробно, по порядку.
Я при описании ОГК не придерживаюсь жёсткой последовательности.Сначала-об основной выявленной патологии,затем-всё остальное,стараясь ничего не упустить.
Для начала - пневмония в S8 справа. Р-контроль после лечения поможет с окончательным вердиктом.
"Слушай всех, прислушивайся к немногим, решай сам".©
Хорошо выглядит для 78 лет.
Думается о периферическом в S10
кстати, в 2011 году там уже нечисто похоже
"Слушай всех, прислушивайся к немногим, решай сам".©
на прямом связи образования с позвоночником не видно.. может мезотелиома какая
участок фиброза с кальцинатами, онконастороженность. Но может быть туберкулема?
С Уважением, Дмитрий.
больше данных за периферическое образование в S8, лучше направить на консультацию к онкологам.
В сравнении с архивом-медленная отрицательная динамика,есть плевральное дело,больше за онкологию в нижней доле.
Периферический c-r нижней доли правого легкого (S8), отрицательная динамика в сравнении с исследованием от 2011 г. Показано дообследование : КТ (уточнение характера образования; исключение метастатических очагов; состояние л/узлов); трансторакальная пункция (морфологическая верификация).
Анатолий Петрович
Периферический с дорожкой.
Образование в S 10. Дообследовать
Думается периферический в С 8, дообследование обязательно КТ или томография
Не нам судить…
Н-да, интересно. А болей в грудной клетке нет?
Нет. Только кашель редкий. Спасибо большое Всем за мнения. Тоже больше за периферический c-r S8.
Добавлю и своё видение. Периферический в S9, с учётом косой боковой проекции, туда отправлю его.
"Лишь утратив всё до конца, мы обретаем свободу." F.C.
Анатолий Петрович
Вот таких фундаментальных вещей очень не хватает сегодня начинающим рентгенологам.Да и не начинающим не мешает повторять.
"Слушай всех, прислушивайся к немногим, решай сам".©
Мне как-то видится не одна тень в 8(9)-ке, а ребро еще. Может, кажется. И корень тоже задействован. "Зло"
По принципам анализа снимокв ОГК, иногда указывается другой порядок: средостение сверху вниз, диафрагма, синусы, корни, легочный рисунок, прозрачность легочных полей. Уважаемые коллеги, а вы как оцениваете?
Меня учили так, как указано выше. И протоколы пишу по такой схеме. Уже привычка
"Слушай всех, прислушивайся к немногим, решай сам".©
Все как в схеме, только иногда скелет и мягкие ткани оцениваю в последнюю очередь,-у нас это не ходовая часть, да и то если есть изменения. Это в классике. А в КТ-все подробно, по порядку.
да, согласна, только скелет и мягкие ткани обычно в конце
Не нам судить…
Прозрачность. Рисунок. Корни. Диафрагма. Синусы. Средостение. Кости и мягкие ткани.
Я при описании ОГК не придерживаюсь жёсткой последовательности.Сначала-об основной выявленной патологии,затем-всё остальное,стараясь ничего не упустить.
Я не про протокол, а про оценку, мне как-то удобнее со средостения начинать.