You are here

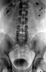
Внутривенная урография.

Пол пациента: 
Тип патологии: 
Область исследования: 
Методы исследования: 

Внутривенная урография.

  • https://radiomed.ru/sites/default/files/styles/case_slider_image/public/user/12/2.201404090003.jpg?itok=ViKzkP1U
  • https://radiomed.ru/sites/default/files/styles/case_slider_image/public/user/12/3.201404090002.jpg?itok=d-zkxb3S
ID:37012
Doc84's picture
Offline
Last seen: 11 years 10 months ago
Joined: 05.03.2014 - 15:21
Posts: 209

Уретероцеле слева? Камень слева в нижней группе чашек? Внутривенок давно не видел )

NIL's picture
NIL
Offline
Last seen: 4 days 7 hours ago
Joined: 25.11.2013 - 20:50
Posts: 18217

МКБ слева, гидрокаликоз


"Слушай всех, прислушивайся к немногим, решай сам".©

И.Бондаренко's picture
Offline
Last seen: 6 hours 38 min ago
Joined: 13.09.2011 - 22:55
Posts: 9213

Doc84 wrote:

Уретероцеле слева? Камень слева в нижней группе чашек?

Добавил бы двусторонний хронический пиелонефрит: форма чашек не нравится.

Катенёв Валентин Львович's picture
Offline
Last seen: 7 years 5 months ago
Joined: 22.03.2008 - 22:15
Posts: 54876

Doc84 wrote:

Уретероцеле слева? Камень слева в нижней группе чашек? Внутривенок давно не видел )

А. может не уретероцеле, а второй конкремент у устья мочеточника.

Doc84's picture
Offline
Last seen: 11 years 10 months ago
Joined: 05.03.2014 - 15:21
Posts: 209

Катенёв Валентин Львович wrote:

Doc84 wrote:

Уретероцеле слева? Камень слева в нижней группе чашек? Внутривенок давно не видел )

А. может не уретероцеле, а второй конкремент у устья мочеточника.

Валентин Львович, а на обзорной в устье он на фоне буквы "m" в логотипе сайта? Тогда не увидел... Просто не видно выраженного расширения ЧЛС и мочеточника слева в сравнении с правой стороной

Катенёв Валентин Львович's picture
Offline
Last seen: 7 years 5 months ago
Joined: 22.03.2008 - 22:15
Posts: 54876

Doc84 wrote:

 а на обзорной в устье он на фоне буквы "m" в логотипе сайта?

Вы правы уважаемый коллега, именно там.

Doc84's picture
Offline
Last seen: 11 years 10 months ago
Joined: 05.03.2014 - 15:21
Posts: 209

Катенёв Валентин Львович wrote:

Doc84 wrote:

 а на обзорной в устье он на фоне буквы "m" в логотипе сайта?

Вы правы уважаемый коллега, именно там.

Понял, спасибо.