You are here

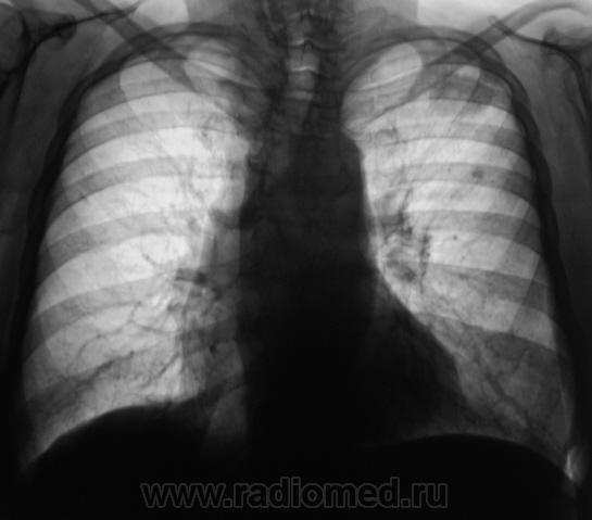
А, на верхушке, тихо "улыбалась" фокусная тень.

Пол пациента: 
Тип патологии: 
Методы исследования: 

Жалоб нет. Ваше мнение уважаемые коллеги?

  • https://radiomed.ru/sites/default/files/styles/case_slider_image/public/user/12/2..Fok_..jpg?itok=SinK2sQ2
  • https://radiomed.ru/sites/default/files/styles/case_slider_image/public/user/12/3..Fok_..JPG?itok=2d58brW_
  • https://radiomed.ru/sites/default/files/styles/case_slider_image/public/user/12/4..Fok_..JPG?itok=KRk5wj1V
ID:682
Иринка's picture
Offline
Last seen: 11 years 10 months ago
Joined: 16.11.2009 - 22:14
Posts: 190

Прослеживается связь с корнем, плевра утолщена, рядом очаговая тень(отсев?), скоре всего туеркулез.

Катенёв Валентин Львович's picture
Offline
Last seen: 7 years 5 months ago
Joined: 22.03.2008 - 22:15
Posts: 54876

А, если туберкулёз, то, по всей видимости, инфильтративный?

Иринка's picture
Offline
Last seen: 11 years 10 months ago
Joined: 16.11.2009 - 22:14
Posts: 190

Да, возможно даже каверна сформируется, фокус достаточно крупный, неоднородной структуры.

Катенёв Валентин Львович's picture
Offline
Last seen: 7 years 5 months ago
Joined: 22.03.2008 - 22:15
Posts: 54876

Наверно, тактически, правильно произвести томографию данной фокусной тени?

Рыбакова Людмила Александровна's picture
Offline
Last seen: 3 years 10 months ago
Joined: 31.07.2009 - 19:35
Posts: 162

Тут,похоже еще и полости. Можно подумать и об " объемке". А что  в прошлом году? Или как всегда первичный?

 Надо бы мокроту сеять, к фтизиатру, к онкологу .

 Я думаю,у Вас есть и томограммы...

Иринка's picture
Offline
Last seen: 11 years 10 months ago
Joined: 16.11.2009 - 22:14
Posts: 190

А у Вас,Валентин Львович, томограмма наверное-то уже есть))))

Синкевич Наталья's picture
Offline
Last seen: 9 years 4 months ago
Joined: 16.01.2009 - 16:28
Posts: 23

учитывая отсутствие клиники, наличие неоднородной фокусной тени, отсев? на первый  план в диф. ряд можно выставить туберкулез, сделать Т-грамму левой верхушки, и пусть терапевты проведут минимальные обследования...

Катенёв Валентин Львович's picture
Offline
Last seen: 7 years 5 months ago
Joined: 22.03.2008 - 22:15
Posts: 54876

Выставляю томограммы.

 

Приложения: 
11..Vystavlyayu..JPG12..Vystavlyayu.JPG13..Vystavlyayu..JPG
Катенёв Валентин Львович's picture
Offline
Last seen: 7 years 5 months ago
Joined: 22.03.2008 - 22:15
Posts: 54876

И еще.

 

Приложения: 
14..Vystavlyayu.JPG15..Vystavlyayu.jpg16..Vystavlyayu.JPG17..Vystavlyayu.JPG18..Vystavlyayu..jpg
Almo's picture
Offline
Last seen: 2 weeks 6 days ago
Joined: 28.09.2008 - 18:50
Posts: 8302

Слева в S2 похоже на туберкулому (очерченные контуры в отличии от инфильтрата).

lupan's picture
Offline
Last seen: 7 years 3 months ago
Joined: 07.01.2010 - 17:17
Posts: 1406

Коллеги!!! Спокойный окружающий фон, отсутствие четкого контура, мелкая лучистость по периферии образования, лимфангит к корню, подходящая интенсивность. По-моему здесь классический периферический рак.

Великое преймущество врача заключается в том, что он не обязан следовать собственным советам. ( А. Кристи)

Almo's picture
Offline
Last seen: 2 weeks 6 days ago
Joined: 28.09.2008 - 18:50
Posts: 8302

Во- первых:я бы сказал, что окружающий фон не совсем спокойный, т.к. за III ребром очаг.Во-вторых периферический рак лёгого (бронха), как правило растёт вдоль длинника бронха- мы этого в данном случае, не видим. В-третьих: при туберкулёзе, то же бывает "дорожка" к корню. Так, что говорить о классическом периферическом раке легкого не стоит.

Анатолий Владимирович Шумаков's picture
Offline
Last seen: 8 years 3 months ago
Joined: 16.10.2009 - 21:16
Posts: 1941

Есть все основания для подозрений в сторону периферического рака...  Кроме того насторожила картина в нижней части правого корня - нет полоски Прозорова.

lupan's picture
Offline
Last seen: 7 years 3 months ago
Joined: 07.01.2010 - 17:17
Posts: 1406

Almo wrote:

Во- первых:я бы сказал, что окружающий фон не совсем спокойный, т.к. за III ребром очаг.Во-вторых периферический рак лёгого (бронха), как правило растёт вдоль длинника бронха- мы этого в данном случае, не видим. В-третьих: при туберкулёзе, то же бывает "дорожка" к корню. Так, что говорить о классическом периферическом раке легкого не стоит.

Выскажу свою точку зрения в "защиту" рака. 1. Одиночный кальцинат за III ребром - это, во-первых, не тот окружающий фон в широком смысле этого слова. А во-вторых, сочетание TBC и c-r очень частое явление (хотя раньше считалось казуистикой). 2. В экспансивную стадию роста c-r растет в сторону наименьшего тканевого сопротивления. Для субплевральной локализации в в/д характерна "приплюснутость", когда длинник фокуса расположен параллельно грудной стенке из-за увеличения давления на наружный и внутренний края образования при дыхании. 3. При TBC "дорожка" к корню чаще бывает нечеткой, смазанной вследствие паравазальной инфильтрации (процесс-то инфекционный). При раке - "чистый" лимфангит. Кроме того - неоднородность структуры (многоузловой рост, возможно и распад).

Великое преймущество врача заключается в том, что он не обязан следовать собственным советам. ( А. Кристи)

Рыбакова Людмила Александровна's picture
Offline
Last seen: 3 years 10 months ago
Joined: 31.07.2009 - 19:35
Posts: 162

Как правило, если есть подозрение на mixt,  в результате оказывается с-r( личный опыт). ( хотя точной статистикой не владею).

Может коллеги,работающие в ПТД, подскажут?

 

Катенёв Валентин Львович's picture
Offline
Last seen: 7 years 5 months ago
Joined: 22.03.2008 - 22:15
Posts: 54876

Итак, если, я правильно понял, то дифференциальную диагностику нужно проводить между периферическим раком легкого и туберкуломой?

"Третьего" - не дано?

Almo's picture
Offline
Last seen: 2 weeks 6 days ago
Joined: 28.09.2008 - 18:50
Posts: 8302

Вообще-то дискуссия," что это периферический рак или туберкулома"- подтверждение старой истины:рентгенологически дифференцировать периферический рак и туберкулому практически невозможно.

Катенёв Валентин Львович's picture
Offline
Last seen: 7 years 5 months ago
Joined: 22.03.2008 - 22:15
Posts: 54876

Да, коллега, Вы совершенно правы. И даже наличие "архива", и даже наличие в окружающей легочной ткани отдельных очажков, не может на все 100 свидетельствовать, что это туберкулома, ибо известны случаи "поглощения", растущей опухолью "старых очагов". Наличие эксцентрического мелкофокусного единичного или множественного распада, также не может свидетельствовать только в пользу рака. Контуры неровные, нечеткие и даже с элементами полицикличности, и даже с мелкой лучистостью, достоверно не могут свидетельствовать ни о раке, ни о туберкуломе. Клиника, также не помощница в данном вопросе, также, как и зачастую специфические пробы. Касательно "дорожки", также вопрос спорный.

Мне, этот случай показался весьма интересным, ибо ни атипические клетки, ни МБТ выявлены не были. Завтра постараюсь выложить предыдущие снимки.

Катенёв Валентин Львович's picture
Offline
Last seen: 7 years 5 months ago
Joined: 22.03.2008 - 22:15
Posts: 54876

Исследование проведено 6 месяцев тому.

 

Приложения: 
1.Ise_.JPG2.Ise_.JPG3.Ise_.JPG4.Ise_.JPG5.Ise_.JPG
Катенёв Валентин Львович's picture
Offline
Last seen: 7 years 5 months ago
Joined: 22.03.2008 - 22:15
Posts: 54876

Исследование проведено 1 год тому.

 

Приложения: 
1.1god.JPG2.1god.JPG3.1god.JPG4.1god.JPG5.1god.JPG
Катенёв Валентин Львович's picture
Offline
Last seen: 7 years 5 months ago
Joined: 22.03.2008 - 22:15
Posts: 54876

Снимок 1,5 года тому.

 

Приложения: 
1.15.JPG2.15.JPG
Катенёв Валентин Львович's picture
Offline
Last seen: 7 years 5 months ago
Joined: 22.03.2008 - 22:15
Posts: 54876

Снимки 2 года тому

 

Приложения: 
1.2.0.jpg2.2.0.jpg3.2.0.jpg
Катенёв Валентин Львович's picture
Offline
Last seen: 7 years 5 months ago
Joined: 22.03.2008 - 22:15
Posts: 54876

Снимки 2,5 года тому.

 

Приложения: 
1.25.JPG2.25.jpg3.25.jpg4.25.jpg5.25.JPG
Катенёв Валентин Львович's picture
Offline
Last seen: 7 years 5 months ago
Joined: 22.03.2008 - 22:15
Posts: 54876

Исследование 3 года тому.

 

Приложения: 
1._3..jpg2.3..JPG3.3..jpg4.3..JPG5.3..JPG
Катенёв Валентин Львович's picture
Offline
Last seen: 7 years 5 months ago
Joined: 22.03.2008 - 22:15
Posts: 54876

Вот такой случай.

Vikkur's picture
Offline
Last seen: 5 years 3 weeks ago
Joined: 24.09.2009 - 14:34
Posts: 1749

Т.е из каверны периферический Cr. Да воистину наш сайт как один большой рентген кабинет. И самому снимки делать не надо))))

 

Виктор.

lupan's picture
Offline
Last seen: 7 years 3 months ago
Joined: 07.01.2010 - 17:17
Posts: 1406

Ну и интригу Вы закрутили, Валентин Львович! Чувствуется преподавательский опыт. Спасибо за демонстрацию, случай действительно очень интересный и показательный. Теперь буду знать, что у Вас в рукаве всегда еще что-то есть.

Великое преймущество врача заключается в том, что он не обязан следовать собственным советам. ( А. Кристи)

Катенёв Валентин Львович's picture
Offline
Last seen: 7 years 5 months ago
Joined: 22.03.2008 - 22:15
Posts: 54876

А почему коллега Vikkur, Вы, пришли к выводу, что "это" периферический рак?

stovbav's picture
Offline
Last seen: 2 years 7 months ago
Joined: 20.12.2009 - 17:28
Posts: 7066

Катенёв Валентин Львович wrote:

А почему коллега Vikkur, Вы, пришли к выводу, что "это" периферический рак?

Просто сейчас полость ЗАПОЛНЕНА, дренирование отсутствует, придет время-она опять "обьвится"....мне так кажется, следовательно - ТУБЕРКУЛЕЗ и только. Касаемо всего наблюдения - ЧТО ЗНАЧИТ АРХИВ!!!!!!! вырви из жизни страницу и получишь проблему....прочитай всю книгу - овладей истиной....

Катенёв Валентин Львович's picture
Offline
Last seen: 7 years 5 months ago
Joined: 22.03.2008 - 22:15
Posts: 54876

Да, архив великое дело. С тех пор, как перешли на эксплуатацию CR-системы, все стало очень просто. Весь архив в электронной версии, открыл "пациента", и - это все о нем - КЛАСС!

А ведь до сих пор, находятся специалисты, наши коллеги, и весьма высокого ранга, а к ним еще, как это ни странно прислушиваются, которые отстаивают преимущество аналоговой рентгенографии, со всеми отягощающими факторами этого процесса - проявление, фиксирование, маркировка, содержание архива, поиски в архиве и т.д. и т.п. 

Ну что сказать о них - козлы (в плохом понимании это слова).

stovbav's picture
Offline
Last seen: 2 years 7 months ago
Joined: 20.12.2009 - 17:28
Posts: 7066

Катенёв Валентин Львович wrote:

Да, архив великое дело. С тех пор, как перешли на эксплуатацию CR-системы, все стало очень просто. Весь архив в электронной версии, открыл "пациента", и - это все о нем - КЛАСС!

А ведь до сих пор, находятся специалисты, наши коллеги, и весьма высокого ранга, а к ним еще, как это ни странно прислушиваются, которые отстаивают преимущество аналоговой рентгенографии, со всеми отягощающими факторами этого процесса - проявление, фиксирование, маркировка, содержание архива, поиски в архиве и т.д. и т.п. 

Ну что сказать о них - козлы (в плохом понимании это слова).

Конечно, для нас CR-системы еще редкость в широкой практике, в отличие от России, но и от того что есть нет желания получить пользу, я имею ввиду цифровые ФГ и возможности формирования електронных архивов в специализированых учереждениях...мы об этом уже говорили вскользь...

Катенёв Валентин Львович's picture
Offline
Last seen: 7 years 5 months ago
Joined: 22.03.2008 - 22:15
Posts: 54876

Вы зря так коллега!

Я, три года тому, работая в маленькой ЦРБ-ушке не мог даже и мечтать о таком чуде. Мой мечты простирались только, чтобы отремонтировать старенький РУМ-20 (кстати без УРИ), приобрести хоть какой-то пленочный флюорограф (наш древний - пел песни, визжал шестеренками, все время ремонтировался). Не думал, не гадал..., и вот полностью в отделении - только цифра.

А с другой стороны - новая аппаратура - это "бабки", а эту аппаратуру производим не мы с Вами, и те, кто аппаратуру производит желают "получить бабки", и они их получат, а Вы соответственно, получите аппаратуру.

Анатолий Владимирович Шумаков's picture
Offline
Last seen: 8 years 3 months ago
Joined: 16.10.2009 - 21:16
Posts: 1941

Я когда-то для себя самостоятельно сформулировал такой закон: "Сила личности ученого тем выше, насколько дольше ему удалось сдерживать развитие науки в своей специальности" это к внедрению цифры в Украине...

stovbav's picture
Offline
Last seen: 2 years 7 months ago
Joined: 20.12.2009 - 17:28
Posts: 7066

Анатолий Шумаков wrote:

Я когда-то для себя самостоятельно сформулировал такой закон: "Сила личности ученого тем выше, насколько дольше ему удалось сдерживать развитие науки в своей специальности" это к внедрению цифры в Украине...

Это напрямую перекликается с истиной - "даже выдающиеся ученые и первооткрыватели рано или поздно становятся тормозом для прогресса".....

Катенёв Валентин Львович's picture
Offline
Last seen: 7 years 5 months ago
Joined: 22.03.2008 - 22:15
Posts: 54876

Цифра появится, и появится весьма скоро, так как "потребительский рынок" - целое государство, весьма велик. Но вот, что "они" выпихнут на "этот" рынок, так то, вопрос-вопросов.

Катенёв Валентин Львович's picture
Offline
Last seen: 7 years 5 months ago
Joined: 22.03.2008 - 22:15
Posts: 54876

Пациент прооперирован в областном онкологическом диспансере. Окончательный диагноз, включая всевозможную морфологию - туберкулома.

Анатолий Владимирович Шумаков's picture
Offline
Last seen: 8 years 3 months ago
Joined: 16.10.2009 - 21:16
Posts: 1941

Спасибо!

Катенёв Валентин Львович's picture
Offline
Last seen: 7 years 5 months ago
Joined: 22.03.2008 - 22:15
Posts: 54876

"Местная" статистика, Субъекта Федерации ,свидетельствует, что в последнее время участились подобные случаи, когда при адекватном обследовании, после которого производилось оперативное вмешательство, при верифакации "опухоли", вместо желаемого "рака" оказывалась туберкулома. С одной стороны, конечно это хорошо, ибо саниция, есть санация, но с другой стороны, по всей видимости, свидетельствует и об определенных проколах...

Анатолий Владимирович Шумаков's picture
Offline
Last seen: 8 years 3 months ago
Joined: 16.10.2009 - 21:16
Posts: 1941

Лучше перебдеть...

Vikkur's picture
Offline
Last seen: 5 years 3 weeks ago
Joined: 24.09.2009 - 14:34
Posts: 1749

Спасибо за законченное клиническое наблюдение.

Виктор.

Сан Саныч's picture
Offline
Last seen: 15 years 11 months ago
Joined: 23.04.2010 - 20:23
Posts: 73

Катенёв Валентин Львович wrote:

А ведь до сих пор, находятся специалисты ... которые отстаивают преимущество аналоговой рентгенографии, со всеми отягощающими факторами этого процесса ...

Ну что сказать о них - козлы (в плохом понимании это слова).

Я бы не был так категоричен. Всё зависит от качества(разрешающей способности, комплектующих) того цифрочуда, которое вам впаривают.

Например: нам в отделение установили цифрофлю украинской сборки (ЗАТ медаппаратура, Киев) из китайских и укр составляющих непонятного качества. Закончились 1.5 года гарантии... И началось: кабина бьётся током, систему глючит, некоторые мелкие детали в системниках посгорали. В общем, по сравнению с 12Ф7 - аппарат и рядом не валяется. Сколько он протянет - вопрос интересный, но мне кажется что ещё недолго. Так на кой он такой весь из себя цифровой тогда нужен?

Катенёв Валентин Львович's picture
Offline
Last seen: 7 years 5 months ago
Joined: 22.03.2008 - 22:15
Posts: 54876

Возможно, Вы правы коллега. На мой взгляд, если обнаружена круглая тень в легких, и даже после КТ (СКТ) возникают определенные диагностические трудности, то путь только один - биопсия, возможно, даже открытая, затем операция. Существующая практика "растянутой" дифференциальной диагностики и наблюдения - это инкубатор, выращивающий, именно запущенные раки. Возможно, я и ошибаюсь.

Катенёв Валентин Львович's picture
Offline
Last seen: 7 years 5 months ago
Joined: 22.03.2008 - 22:15
Posts: 54876

Надо отдать должное, что наш цифровой "Ренекс-Флюоро", вот уже 4 года работает без каких-либо заморочек, поломок и простоев вообще не было. Был один день, когда техники из областной медтехники усовершенствовали архив.

Сан Саныч's picture
Offline
Last seen: 15 years 11 months ago
Joined: 23.04.2010 - 20:23
Posts: 73

Вам повезло. Украли, видимо, не очень много, поэтому хватило на покупку нормального аппарата.

Катенёв Валентин Львович's picture
Offline
Last seen: 7 years 5 months ago
Joined: 22.03.2008 - 22:15
Posts: 54876

У нас была первая волна "Нац. проекта", деньги были выделены огромные, но каждый покупал "во что горазд". Решали не специалисты, а администраторы. Некоторые приобрели приличную цифру, некоторые "крутую"... , а некоторые приобрели аналог "подешевше"... на два, а некоторые, на одно рабочее место. Конечно, сейчас много многим стало понятно, но обратного хода нет. Вот, и имеется в одном Субъекте Федерации разношерстная аппаратура - сплошной карнавал с отягощающими обстоятельствами.

Конечно, при приобретении "новой аппаратуры", злую шутку с приобретателями сыграл элементарный "откат"...

Катенёв Валентин Львович's picture
Offline
Last seen: 7 years 5 months ago
Joined: 22.03.2008 - 22:15
Posts: 54876

А наблюдение не хилое...