You are here

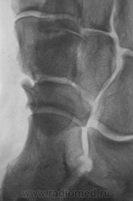
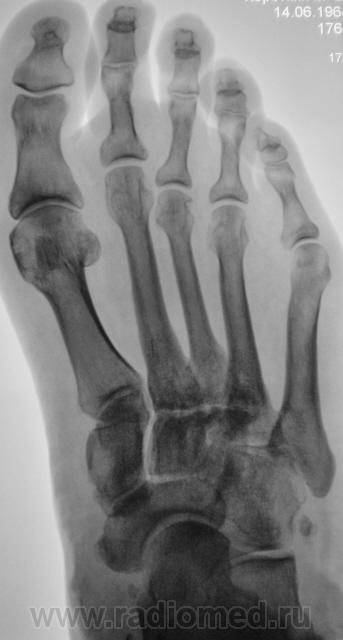
Экзостоз ладьевидной кости?

Пол пациента: 
Тип патологии: 
Область исследования: 
Методы исследования: 

Экзостоз ладьевидной кости?

 

  • https://radiomed.ru/sites/default/files/styles/case_slider_image/public/user/12/2.Ekz_..jpg?itok=Ebcq6Zh1
  • https://radiomed.ru/sites/default/files/styles/case_slider_image/public/user/12/3.Ekz_..JPG?itok=PXvo9Kqe
  • https://radiomed.ru/sites/default/files/styles/case_slider_image/public/user/12/4.Ekz_.jpg?itok=g6--fmxw
  • https://radiomed.ru/sites/default/files/styles/case_slider_image/public/user/12/5.Ekz_..JPG?itok=0nKxdtqD
  • https://radiomed.ru/sites/default/files/styles/case_slider_image/public/user/12/6.Ekz_._0.jpg?itok=rwWfm5V6
ID:1185
Ольга Дмитриевна's picture
Offline
Last seen: 16 years 3 months ago
Joined: 13.01.2010 - 16:55
Posts: 168

Да, похоже на 2 остеомы на широких ножках.

Красота - гормон карьерного роста!