You are here

Пациентка взята на контроль после флюорографии.

Пол пациента: 
Тип патологии: 
Методы исследования: 

Пациентка взята на контроль после флюорографии.

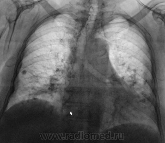
Известно, что в течение 8 лет профилактической флюорографии не проходила. Обратиться в ЛПУ заставило кровохарканье. Пациентка - 92 года, практически жалоб не предъявляет.

  • https://radiomed.ru/sites/default/files/styles/case_slider_image/public/user/12/132.KPF_.jpg?itok=wJehucOb
ID:1978
Катенёв Валентин Львович's picture
Offline
Last seen: 7 years 5 months ago
Joined: 22.03.2008 - 22:15
Posts: 54876

Фрагменты одиночной ткани справа.

 

Приложения: 
11..Fragmenty.JPG12..Fragmenty.JPG13..Fragmenty.jpg14..Fragmenty.jpg
brainmodel's picture
Offline
Last seen: 7 months 2 weeks ago
Joined: 18.03.2010 - 22:04
Posts: 2881

Диффузно-очаговый базальный пневмофиброз с обеих сторон. Справа - крупный петрификат. Д\д-ка с гамартомой, периферическим раком, туберкуломой. Учитывая высокую плотность, сколняюсь к петрификату. Вообще, в этом возрасте при подобных фиброзных изменениях в легких (и, кстати, атеросклерозе) кровохаркание наблюдается нередко на фоне даже банального кашля. Было у меня несколько случаев "с ног до головы" обследованных пациентов (в т.ч. с ФБС) - кроме атрофии слизистой ТБД, цилиндрических бронхоэктазов и ломкости сосудов - ничего.

Verum plus uno esse non potest.

Катенёв Валентин Львович's picture
Offline
Last seen: 7 years 5 months ago
Joined: 22.03.2008 - 22:15
Posts: 54876

Первый срез.

 

 

Приложения: 
111...T..JPG112...T..jpg
Катенёв Валентин Львович's picture
Offline
Last seen: 7 years 5 months ago
Joined: 22.03.2008 - 22:15
Posts: 54876

Второй срез.

 

Приложения: 
113...T..JPG114...T..jpg
brainmodel's picture
Offline
Last seen: 7 months 2 weeks ago
Joined: 18.03.2010 - 22:04
Posts: 2881

Нижнедолевой бронх слева ампутирован. Достаточно болшая тень неправильно круглой формы в S9 (10) с неровным контуром,похоже, перибронхиальной инфильтрацией по нижней границей. Однако, при "ампутации" классического ателектаза нет, есть сниженная прозрачность... Очень скованно себя чувствую без боковой проекции. Есть?

Verum plus uno esse non potest.

Катенёв Валентин Львович's picture
Offline
Last seen: 7 years 5 months ago
Joined: 22.03.2008 - 22:15
Posts: 54876

Мы решили не затягивать диагностический процесс. Пациентка направлена к онкологам, по всей видимости, будет и КТ.