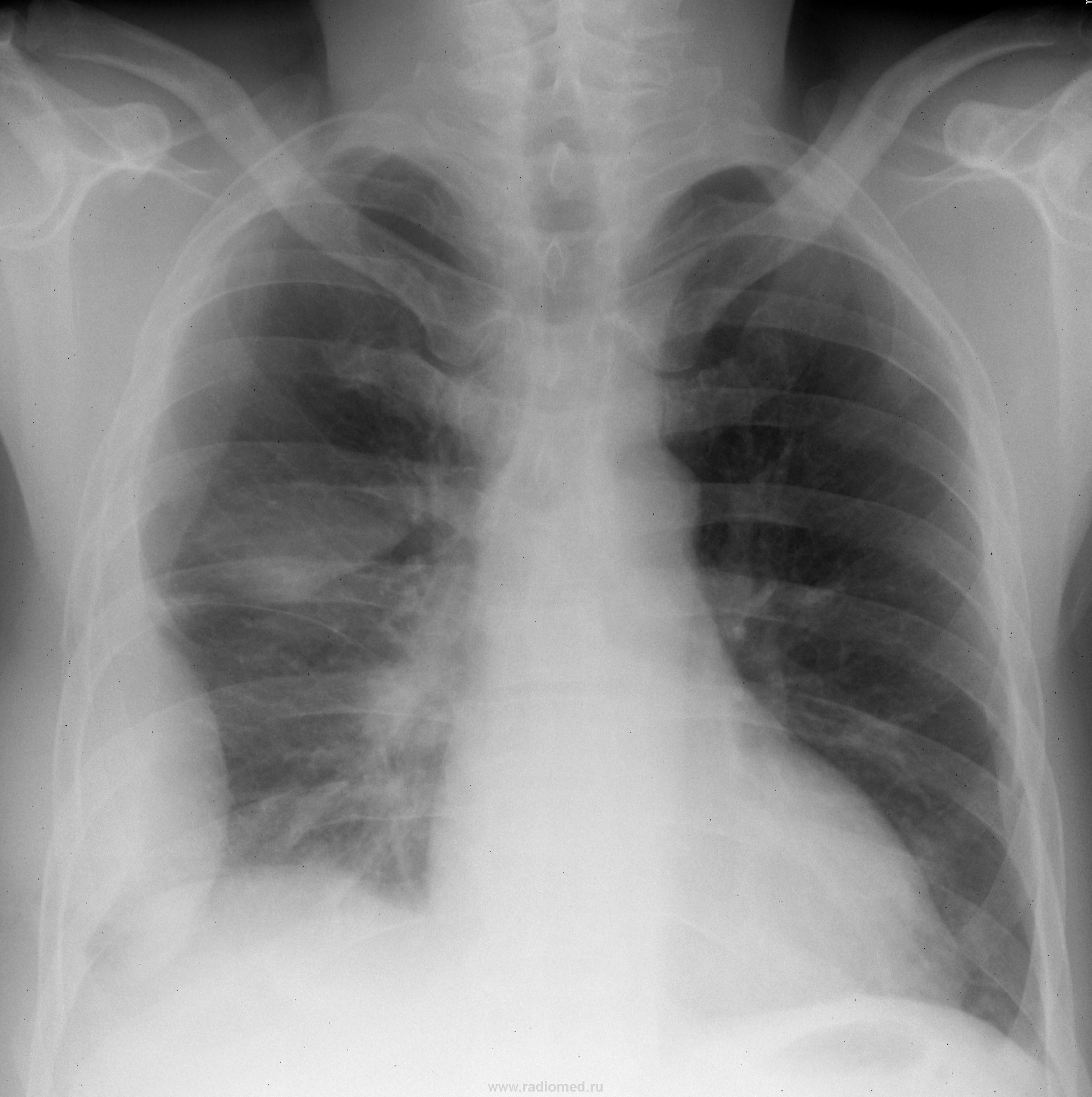
Пол пациента: Мужской пол Тип патологии: Другое Область исследования: Грудная клетка и верхние дыхательные пути Методы исследования: Rg Мужчина 50 лет. Жалобы на одышку, недомогание, боль в грудной клетке. Лабораторных показателей нет. https://radiomed.ru/sites/default/files/styles/case_slider_image/public/user/837/00000321.JPG?itok=c3sQzWdN ID:2384 Tue, 30/03/2010 - 20:13 #1 Катенёв Валенти... Offline Last seen: 7 years 3 months ago Joined: 22.03.2008 - 22:15 Posts: 54876 Паракостальный правосторонний осумкованные выпоты - латеральный и небольшой задний. Правосторонний интерлобарный в верхних отделах главной междолевой щели. По всей видимости и базальный (наддиафрагмальный) осумкованный. Tue, 30/03/2010 - 20:23 #2 brainmodel Offline Last seen: 4 months 4 weeks ago Joined: 18.03.2010 - 22:04 Posts: 2881 Осумкование плеврита: по боковой, задней поверхности, задней междолевой. Наддиафрагмальный компонент. Короче, повторяю слова В.Л. Verum plus uno esse non potest. Tue, 30/03/2010 - 21:05 #3 Грицько Виталий Offline Last seen: 9 years 2 months ago Joined: 05.01.2010 - 14:06 Posts: 1058 Согласен с коллегами. А на корень справа в динамике внимание бы обратил. Tue, 30/03/2010 - 21:21 #4 Катенёв Валенти... Offline Last seen: 7 years 3 months ago Joined: 22.03.2008 - 22:15 Posts: 54876 Грицько Виталий wrote: Согласен с коллегами. А на корень справа в динамике внимание бы обратил. В динамике - "да". Но лучше оттомографировать. Sat, 04/03/2017 - 23:51 #5 Катенёв Валенти... Offline Last seen: 7 years 3 months ago Joined: 22.03.2008 - 22:15 Posts: 54876 Интересное наблюдение.
Паракостальный правосторонний осумкованные выпоты - латеральный и небольшой задний. Правосторонний интерлобарный в верхних отделах главной междолевой щели. По всей видимости и базальный (наддиафрагмальный) осумкованный.
Осумкование плеврита: по боковой, задней поверхности, задней междолевой. Наддиафрагмальный компонент. Короче, повторяю слова В.Л.
Verum plus uno esse non potest.
Согласен с коллегами. А на корень справа в динамике внимание бы обратил.
В динамике - "да". Но лучше оттомографировать.
Интересное наблюдение.