You are here

КТ брюшной полости

Пол пациента: 
Тип патологии: 
Область исследования: 
Методы исследования: 

 

Доброго времени суток!

 

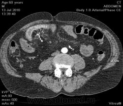
Интересное наблюдение, мужчина 60 лет обследуется у хирургов без малого 2 месяца, с жалобами на интенсивные периодические боли в подвздошной области справа, хирурги пальпируют образование, то увеличивающееся, то уменьшающееся в размерах...

 

вот еще видео, как добавить с превью незнаю..

http://www.youtube.com/watch?v=5fqctgqIenU

Какие будут мнения коллеги?

  • https://radiomed.ru/sites/default/files/styles/case_slider_image/public/user/5567/montg004.jpg?itok=l9spMFYI
  • https://radiomed.ru/sites/default/files/styles/case_slider_image/public/user/5567/montg006.jpg?itok=fk11jhch
  • https://radiomed.ru/sites/default/files/styles/case_slider_image/public/user/5567/montg008.jpg?itok=vM0zTTqy
  • https://radiomed.ru/sites/default/files/styles/case_slider_image/public/user/5567/montg010.jpg?itok=0K1d5X8L
  • https://radiomed.ru/sites/default/files/styles/case_slider_image/public/user/5567/montg012.jpg?itok=e_6pi_d0
  • https://radiomed.ru/sites/default/files/styles/case_slider_image/public/user/5567/montg014.jpg?itok=-PfR-2Qg
  • https://radiomed.ru/sites/default/files/styles/case_slider_image/public/user/5567/montg016.jpg?itok=wYLJ9Jpu
  • https://radiomed.ru/sites/default/files/styles/case_slider_image/public/user/5567/montg018.jpg?itok=0xIcOuWQ
  • https://radiomed.ru/sites/default/files/styles/case_slider_image/public/user/5567/montg020.jpg?itok=D6nP4zrf
  • https://radiomed.ru/sites/default/files/styles/case_slider_image/public/user/5567/montg022.jpg?itok=p5B-sADJ
  • https://radiomed.ru/sites/default/files/styles/case_slider_image/public/user/5567/montg024.jpg?itok=L2biGpeZ
ID:5093
koriatus's picture
Offline
Last seen: 3 years 5 months ago
Joined: 14.06.2010 - 01:49
Posts: 452

Довольно сложно... Вижу какую то десмопластическую реакцию в брыжейке подвздошной ккишки (фиброзирование, извитость кишки из-за этого), сегмментарное утолщение стенки подвздошной кишки, некоторое расширение сосудов в этой зоне. Межпетельно есть небольшие скопления жидкости. На ум пока приходит фиброзирующий мезентерит или карциноидная опухоль в тонкой кишке с десмопластической реакцией и вторично хронической ишемией за счет этого кишки. Возможно первично все сосудистая патология? А фиброзирование в брыжейке и утолщение стеннки кишки за счет ишемии как результат... Еще вариант - воспалительная псевдоопухоль. А в анамензе не было ли лучевой терапии? А диагноз уже установлен?

rentgengb1's picture
Offline
Last seen: 12 years 4 months ago
Joined: 13.02.2009 - 23:02
Posts: 290

По наблюдения возможно не полный перекрут брыжейки подвздошной кишки, частичная тонко-кишечная непроходимость

 

koriatus's picture
Offline
Last seen: 3 years 5 months ago
Joined: 14.06.2010 - 01:49
Posts: 452

Возможно. Но я как то перекрута не вижу... Может плохо смотрю

Сергей Сергеевич's picture
Offline
Last seen: 9 years 9 months ago
Joined: 29.07.2010 - 12:35
Posts: 4

koriatus wrote:

А в анамензе не было ли лучевой терапии? А диагноз уже установлен?

Лучевой терапии не  было. О верификации пока неизвестно, пациент вроде бы не потерялся, как узнаю, обязательно отпишусь...

Сергей Сергеевич's picture
Offline
Last seen: 9 years 9 months ago
Joined: 29.07.2010 - 12:35
Posts: 4

rentgengb1 wrote:

По наблюдения возможно не полный перекрут брыжейки подвздошной кишки, частичная тонко-кишечная непроходимость

 

Женя, полностью с тобой согласен, высказался также, и кстати клиника частичной непроходимости там тоже была, забыл.. ;)

Сергей Сергеевич's picture
Offline
Last seen: 9 years 9 months ago
Joined: 29.07.2010 - 12:35
Posts: 4

как вам стенка слепой и восходящей-ободочной кишки?, что за жир в стенке, липоматоз?

 

rentgengb1's picture
Offline
Last seen: 12 years 4 months ago
Joined: 13.02.2009 - 23:02
Posts: 290
Кориатус вот у себя в библиотеке порылся, для Вас. Если не затруднить, нам переведите пожалуйста (переводичк гугл теряет логистику
)
Sclerosing mesenteritis is a disorder of unknown etiology that results in chronic inflammation and fibrosis. Depending on the predominant tissue type within the mass, sclerosing mesenteritis can be subgrouped as: (a) mesenteric panniculitis (inflammation); (b) mesenteric lipodystrophy (fat necrosis); or (c) retractile mesenteritis (fibrosis), as seen in this case. This disorder is usually confined to the mesentery and can occasionally calcify. By CT, retractile mesenteritis presents as a soft tissue mass that can contain fat and calcifications extending from the root of the mesentery towards the small bowel. This can lead to retraction and kinking of the bowel, resulting in crampy abdominal pain. The bowel wall thickening in this case is due to venous or lymphatic congestion. Carcinoid tumor arising in the small bowel can have mesenteric metastasis causing desmoplastic reaction, calcifications, and bowel kinking similar to retractile mesenteritis. This would be the best differential diagnosis in this example. Other entities that can involve the mesentery include lymphoma, metastases, and sarcomas. These do not usually calcify or cause bowel obstruction.
Кстати версия Кориатоса мне нравится. Сергей отследите этого пациента.
p/s/ я всегда беру у пациентов контактный телефон, звоню интересуюсь.
rentgengb1's picture
Offline
Last seen: 12 years 4 months ago
Joined: 13.02.2009 - 23:02
Posts: 290

Липоматоза не вижу, просто хорошо выражена "жировая подушка", это норма

koriatus's picture
Offline
Last seen: 3 years 5 months ago
Joined: 14.06.2010 - 01:49
Posts: 452

Извините, сейчас в машине еду - немножко попозже переведу

koriatus's picture
Offline
Last seen: 3 years 5 months ago
Joined: 14.06.2010 - 01:49
Posts: 452

Перевод:

"Склерозирующий мезентрит - это заболевание неизвестной этиологии, исходом которого является хроническое воспаление и фиброз. В зависимости от преобладающего типа ткани в образовании, склерозирующий мезентрит подразделяетя на: a) мезентериальный панникулит (воспаление) b) мезентериальная липодистрофия (жировой некроз) с) ретрактильный мезентерит (фиброз), как в данном случае. Заболевание чаще всего ограниченно брыжейкой тонкой кишки, и иногда кальцифицируется. На КТ ретрактильный мезентерит представляется собой мягкотканной плотности образование, которое может содержать жир и кальцификацию, распространяющееся со стороны корня брыжейки тонкой кишки по направлению к тонкой кишке. Это может приводить к ретракции и кинкингу (извитости) тонкой кишки, что проявлется спастическики болями в животе. Утолщение стенки тонкой кишки в этом случае является результатом венозного и лимфатического застоя. Карциноидная опухоль тонкой кишки может сопровождаться метастазами в брыжейку тонкой кишки вызывая десмопластическую реакцию, кальцификацию и извитость тонкой кишки (изменения такие же как и при ретрактильном мезентерите). Это будет являтся лучшим диф.диагнозом в данном случае. Другие процессы, которые могут вовлекать брыжейку включают в себя лимфому, метастазы и саркому. Они обычно не кальцифицируются и не вызывают непроходимости тонукой кишки"

Вот такой перевод.

 Теперь немного покртиткую свои версии: на мезентерит - как то маловато поражен корень тонкой кишки (то есть обычно при мезентерите поцесс идет с корня, тут же процесс более локализован в дистальной части брыжейки) + тонкокиш.непроходимость и жидкость межпетельно жля этого процесса не свойственна (даже с учетом застоя).  Далее для карциноида - хотелось бы все таки чтобы в артериальную фазу была видна опухоль (она была бы гиперденсной). Если расчитывать что процесс в брыжейке мтс от карциноида, то : во-первых - маловата десмопластическая реакция, во-вторых - не видно чтобы были увеличены лимфоузлы рядом, в 3-их - обычно метастазируют карциноиды >10мм (то есть хотелось бы все таки видеть первичную опухоль в артериальную фазу).

 Ну и последнее - свободная жидкость межпетельно в бр.полости - больше в пользу тонкокиш. непроходимости.  Причина - возможна та - которую называл коллега rentgengb, возможно сосудистого харрактера, возможно за счет воспалительного процесса какого-то в кишке. Вообщим будем надеятся что что-то прояснится. Будем ждать результатов, спасибо Сергей Сергеевич за интересный случай.

 У меня есть! подтвержденный случай карциноида тонкой кишки с десмопластической реакцией в брыжейке (правда реакция была больше!). Поэтому как то глаз сразу уцепился за это, но тут видно все таки разгадка будет проще.

 

rentgengb1's picture
Offline
Last seen: 12 years 4 months ago
Joined: 13.02.2009 - 23:02
Posts: 290

Спасибо кориатусу за грамотный перевод! Приятно читать. )))