You are here

Пациент взят на контроль после флюорографии 2.

Пол пациента: 
Тип патологии: 
Методы исследования: 

Пациент взят на контроль после флюорографии.

Флюорограмма.

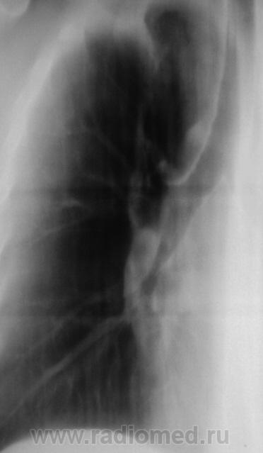
Рентгенограмма в прямой проекции.

Боковая проекция.

1 срез.

2 срез.

3 срез.

  • https://radiomed.ru/sites/default/files/styles/case_slider_image/public/user/12/2..p8170030.jpg?itok=X6DyBFpl
  • https://radiomed.ru/sites/default/files/styles/case_slider_image/public/user/12/3..p8170030a.jpg?itok=Ajxm0rTF
  • https://radiomed.ru/sites/default/files/styles/case_slider_image/public/user/12/1.p8170031.jpg?itok=xH2oP5R5
  • https://radiomed.ru/sites/default/files/styles/case_slider_image/public/user/12/2.p8170032.jpg?itok=9C0e-xKZ
  • https://radiomed.ru/sites/default/files/styles/case_slider_image/public/user/12/3.p8170033.jpg?itok=_9BJXtjI
  • https://radiomed.ru/sites/default/files/styles/case_slider_image/public/user/12/4.p8170033a.jpg?itok=zpvZCjVe
  • https://radiomed.ru/sites/default/files/styles/case_slider_image/public/user/12/5.p8170034.jpg?itok=I43CvRvI
  • https://radiomed.ru/sites/default/files/styles/case_slider_image/public/user/12/6.p8170035.jpg?itok=IojIohXw
  • https://radiomed.ru/sites/default/files/styles/case_slider_image/public/user/12/1.p8170036.jpg?itok=aHg_QAZT
  • https://radiomed.ru/sites/default/files/styles/case_slider_image/public/user/12/2.p8170037.jpg?itok=jIBkAXQx
  • https://radiomed.ru/sites/default/files/styles/case_slider_image/public/user/12/3.p8170038.jpg?itok=2J7mRBCa
  • https://radiomed.ru/sites/default/files/styles/case_slider_image/public/user/12/1.p8170039_0.jpg?itok=VuS4RoW5
  • https://radiomed.ru/sites/default/files/styles/case_slider_image/public/user/12/2.p8170040_0.jpg?itok=GMdTPdyr
  • https://radiomed.ru/sites/default/files/styles/case_slider_image/public/user/12/3.p8170040a.jpg?itok=aXLm-KlY
  • https://radiomed.ru/sites/default/files/styles/case_slider_image/public/user/12/4.p8170042.jpg?itok=BxGouamn
  • https://radiomed.ru/sites/default/files/styles/case_slider_image/public/user/12/5.p8170041.jpg?itok=HTw6mo9x
  • https://radiomed.ru/sites/default/files/styles/case_slider_image/public/user/12/6.p8170041a.jpg?itok=Y7gIo1z4
  • https://radiomed.ru/sites/default/files/styles/case_slider_image/public/user/12/1.p8170043.jpg?itok=fFRN9_7h
  • https://radiomed.ru/sites/default/files/styles/case_slider_image/public/user/12/2.p8170044.jpg?itok=0dj4q63p
  • https://radiomed.ru/sites/default/files/styles/case_slider_image/public/user/12/3.p8170045.jpg?itok=lD3ZTwBQ
  • https://radiomed.ru/sites/default/files/styles/case_slider_image/public/user/12/4.p8170045a.jpg?itok=3WRDLGWX
ID:5549
Vikkur's picture
Offline
Last seen: 5 years 1 month ago
Joined: 24.09.2009 - 14:34
Posts: 1749

такое впечатлени, что бронх окутан муфтой..

Виктор.

Катенёв Валентин Львович's picture
Offline
Last seen: 7 years 5 months ago
Joined: 22.03.2008 - 22:15
Posts: 54876

Да, вроде-бы и некоторая гиповентиляция правого лёгкого имеет место быть?

Vikkur's picture
Offline
Last seen: 5 years 1 month ago
Joined: 24.09.2009 - 14:34
Posts: 1749

но какаято это муфта не агресивная..еще смутила деформация и сгущение рисункаюю Валентин Львович, а что в архиве?

Виктор.

Катенёв Валентин Львович's picture
Offline
Last seen: 7 years 5 months ago
Joined: 22.03.2008 - 22:15
Posts: 54876

"флюшка" за 2009 г. - "норма".