You are here

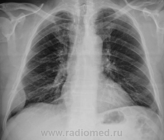
Контроль после флюолрографии. Мезотелиома или что-то другое?

Пол пациента: 
Тип патологии: 
Методы исследования: 

Контроль после флюолрографии.  Мезотелиома или что-то другое?

  • https://radiomed.ru/sites/default/files/styles/case_slider_image/public/user/12/2.p9070037.jpg?itok=MSlyKOoJ
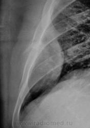
  • https://radiomed.ru/sites/default/files/styles/case_slider_image/public/user/12/3.p9070038.jpg?itok=8mYkEQC-
  • https://radiomed.ru/sites/default/files/styles/case_slider_image/public/user/12/4.p9070038a.jpg?itok=lsw-aLQO
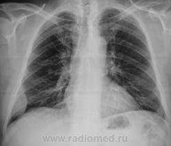
  • https://radiomed.ru/sites/default/files/styles/case_slider_image/public/user/12/5.p9070039.jpg?itok=RgGPWXji
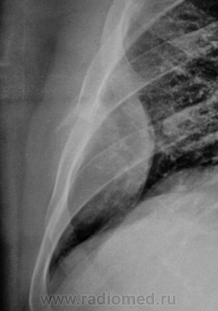
  • https://radiomed.ru/sites/default/files/styles/case_slider_image/public/user/12/6.p9070039a.jpg?itok=FYqze3px
ID:6428
Илья Васильевич Маршалко's picture
Offline
Last seen: 14 years 4 months ago
Joined: 25.04.2010 - 14:23
Posts: 89

А не м.б. осумкованный плеврит? Хотя м.б. и мезотелиома ....- сомнения может разрешить КТ

телу- мера, душе-Вера

tatyana's picture
Offline
Last seen: 4 years 7 months ago
Joined: 24.06.2009 - 08:33
Posts: 2090

Скорее деструкция 6 ребра с мягкотканным компонентом

"самоуверенность дилетантов - предмет зависти профессионалов"

Катенёв Валентин Львович's picture
Offline
Last seen: 7 years 6 months ago
Joined: 22.03.2008 - 22:15
Posts: 54876

Да, деструкция ребра видна хорошо, да и сиротские фрагменты (костные) тоже. "Мягкотканный компонент", прямо богатейший.

Грицько Виталий's picture
Offline
Last seen: 9 years 5 months ago
Joined: 05.01.2010 - 14:06
Posts: 1058

Катенёв Валентин Львович wrote:

Да, деструкция ребра видна хорошо, да и сиротские фрагменты (костные) тоже. "Мягкотканный компонент", прямо богатейший.

А бок и томограммы не делали?

Андрей Юрьевич's picture
Offline
Last seen: 3 hours 59 min ago
Joined: 16.11.2008 - 22:16
Posts: 18109

Как всегда "старики" (в ординатуре) были правы: "Бери указку и веди по ребрам, в уме считая, раз-два-три-четыре..."

Андрей Юрьевич

Катенёв Валентин Львович's picture
Offline
Last seen: 7 years 6 months ago
Joined: 22.03.2008 - 22:15
Posts: 54876

Грицько Виталий wrote:

Катенёв Валентин Львович wrote:

Да, деструкция ребра видна хорошо, да и сиротские фрагменты (костные) тоже. "Мягкотканный компонент", прямо богатейший.

А бок и томограммы не делали?

Томограммы не делали.

v1tal's picture
Offline
Last seen: 5 years 2 months ago
Joined: 07.06.2008 - 19:41
Posts: 1779

Мезателиома отпадает, данную картину мы бы не увидели за счет жидкости плевральной полости, а вот саркому Юинга бокового отрезка ребра я бы предположил.

"Знаешь, у некоторых врачей есть комплекс мессии — им необходимо спасать мир. А у тебя комплекс Рубика — тебе необходимо решать головоломки."

Makcimalist's picture
Offline
Last seen: 12 years 2 months ago
Joined: 08.05.2010 - 14:28
Posts: 1994

tatyana wrote:

Скорее деструкция 6 ребра с мягкотканным компонентом

 +1

--------------

"Просто, по видимости, не видеть логики в очевидных вещах - это тоже одно из свойств некоторых умов, наряду с грустными думами о свойствах ума других."  © Vega 08/10/2011

tatyana's picture
Offline
Last seen: 4 years 7 months ago
Joined: 24.06.2009 - 08:33
Posts: 2090

Грицько Виталий wrote:

А бок и томограммы не делали?

А зачем?

"самоуверенность дилетантов - предмет зависти профессионалов"

tatyana's picture
Offline
Last seen: 4 years 7 months ago
Joined: 24.06.2009 - 08:33
Posts: 2090

v1tal wrote:

Мезателиома отпадает, данную картину мы бы не увидели за счет жидкости плевральной полости, а вот саркому Юинга бокового отрезка ребра я бы предположил.

Может и Юинг, хотя мне кажется староват, а может: мтс, плазмоцитома, хондросаркома и т.д. В смысле, и все остальные опухоли костей. Потому надо брать биопсию, благо, в этом месте не сложно.

"самоуверенность дилетантов - предмет зависти профессионалов"

Катенёв Валентин Львович's picture
Offline
Last seen: 7 years 6 months ago
Joined: 22.03.2008 - 22:15
Posts: 54876

Бок, конечно, руководствуясь стандартом, был сделан, но "боковой" информации не несет.

tatyana's picture
Offline
Last seen: 4 years 7 months ago
Joined: 24.06.2009 - 08:33
Posts: 2090

Makcimalist wrote:

 +1

Гм, а можно ознакомиться со всей шкалой?

"самоуверенность дилетантов - предмет зависти профессионалов"

Ola-la's picture
Offline
Last seen: 1 year 3 months ago
Joined: 06.12.2008 - 09:33
Posts: 1786

Грицько Виталий's picture
Offline
Last seen: 9 years 5 months ago
Joined: 05.01.2010 - 14:06
Posts: 1058

Катенёв Валентин Львович wrote:

Бок, конечно, руководствуясь стандартом, был сделан, но "боковой" информации не несет.

Отсутствие информации тоже информация...

Грицько Виталий's picture
Offline
Last seen: 9 years 5 months ago
Joined: 05.01.2010 - 14:06
Posts: 1058

tatyana wrote:

Грицько Виталий wrote:

А бок и томограммы не делали?

А зачем?

Боковой снимок это стандарт, а томограммы Валентин Львович делает практически всем у кого выявлен пат. процесс. Если исследования проведены интересно на них взглянуть. Томограмма ребра должна быть интересной.

Катенёв Валентин Львович's picture
Offline
Last seen: 7 years 6 months ago
Joined: 22.03.2008 - 22:15
Posts: 54876

Томограммы не делали. По прямому снимку стало ясно все, по крайней мере  - онкология. Пациента сразу же направили ООД. Татьяна Валентиновна права - биопсия решит все, да, и взять не трудно.

Только, вот пациент наотрез - не поеду...

Вот такие, вот дела....

stovbav's picture
Offline
Last seen: 2 years 8 months ago
Joined: 20.12.2009 - 17:28
Posts: 7066

[/quote]

Мезотелиома отпадает......

[/quote]

Конечно, в ООД после биопсии разберутся...но для себя же интересно. Вот и мне интересно, почему же все таки мезотелиома отпадает?

v1tal's picture
Offline
Last seen: 5 years 2 months ago
Joined: 07.06.2008 - 19:41
Posts: 1779

А Вам Виктор Григорьевич встречалась мезателиома такой протяженности, да ещё и с чистым синусом? Не единого намёка на экссудат.

"Знаешь, у некоторых врачей есть комплекс мессии — им необходимо спасать мир. А у тебя комплекс Рубика — тебе необходимо решать головоломки."

Катенёв Валентин Львович's picture
Offline
Last seen: 7 years 6 months ago
Joined: 22.03.2008 - 22:15
Posts: 54876

Здравствуйте Виталий Валерьевич!

На мой взгляд Вы правы. По всей видимости, в данном случае, что-то типа саркомы Юинга или рядом.

stovbav's picture
Offline
Last seen: 2 years 8 months ago
Joined: 20.12.2009 - 17:28
Posts: 7066

Ограниченая форма мезотелиомы вполне соответствует этой картине (и форма пристеночного затемнения, и его края, и деструкция ребра - трудно представить что либо иное...даже метастаз в ребро вряд ли сопровождался бы таким мягкотканным компонентом). И если честно - встречались. Конечно, по понятным причинам, сейчас продемонстрировать подтверждение не могу - цифровых снимков тогда не было...увы. И не факт, что через месяц там не будет жидкости до уровня первого ребра.....

v1tal's picture
Offline
Last seen: 5 years 2 months ago
Joined: 07.06.2008 - 19:41
Posts: 1779

  Да, данный тип  злокачественного роста мезателиомы есть, крайне редкий правда, но вот ведь проблема то в том, что ребро задействовано или нет, а в данном случае нет целого участка ребра, если бы была задействована плевра, были бы жалобы и обращения к врачу, я считаю, что вицеральная и париетальная листки плевры просто оттеснены мягко-тканным компонентом образования.

Приложения: 
mez.jpg

"Знаешь, у некоторых врачей есть комплекс мессии — им необходимо спасать мир. А у тебя комплекс Рубика — тебе необходимо решать головоломки."

Катенёв Валентин Львович's picture
Offline
Last seen: 7 years 6 months ago
Joined: 22.03.2008 - 22:15
Posts: 54876

Похоже, что этот процесс, тоже из этой-же рубрики...

 

Приложения: 
101.s.yu_..jpg
Анатолий Владимирович Шумаков's picture
Offline
Last seen: 8 years 3 months ago
Joined: 16.10.2009 - 21:16
Posts: 1941

Встречал такие ребра около 30 раз в жизни, в приблизительно 25-26 метастазы, остальное - миелома, с первичными опухолями ребер сталкиваться не приходилось...

 

Катенёв Валентин Львович's picture
Offline
Last seen: 7 years 6 months ago
Joined: 22.03.2008 - 22:15
Posts: 54876

У этого случая, имеется еще одна весьма не приятная, чисто организационная сторона, постараюсь в понедельник, если смогу выложить.

В течение последних трех или четырех лет уже не помню, мы каждый раз описывали "скиалогию" с определенными рекомендациями, но нашим коллегам клиницистам, все это было,  до аж самисенькой с...., то им было некогда, то пациент выбрыки - "не хочу", "не буду"...

Изначально "процессик" был весьма малюсеньким.

stovbav's picture
Offline
Last seen: 2 years 8 months ago
Joined: 20.12.2009 - 17:28
Posts: 7066

Жаль, что пациент так упрям...интересно все таки бы узнать гистологию.....или посмотреть данные КТ....

Катенёв Валентин Львович's picture
Offline
Last seen: 7 years 6 months ago
Joined: 22.03.2008 - 22:15
Posts: 54876

stovbav wrote:

Жаль, что пациент так упрям...интересно все таки бы узнать гистологию.....или посмотреть данные КТ....

Справедливости ради, скажу, что в первом протоколе, как заключение, я написал мезотелиому. После работы пересматривая отобранные на флешку случаи, я как-то усомнился, завел "ровер" и поехал поколдовать на "сиаре", убедился, что не все так просто, как мне показалось сначала, да, и томограмм, которые, я так полюбляю не было.

Конечно, пациент отправлен ООД, если информация будет, конечно, сообщу.

А, пациенты, весьма часто избирают тактику упрямого животного, хоть без, хоть с рогами...

stovbav's picture
Offline
Last seen: 2 years 8 months ago
Joined: 20.12.2009 - 17:28
Posts: 7066

Конечно...трехлетний анамнез несколько меняет дело...но и не в пользу метастаза...отнюдь. На каком то этапе произошло озлокачествление (ребро!!!!). Случай очень интересный. Ждем результата.

ЛГ's picture
Offline
Last seen: 9 years 4 months ago
Joined: 06.01.2010 - 12:31
Posts: 3523

Катенёв Валентин Львович wrote:

Похоже, что этот процесс, тоже из этой-же рубрики...

 

В данном случае не доказательно, Валентин Львович,  т.к. возможен эффект частичного объема из-за наложения органов и тканей. Желательна реконструкция по ходу ребра, тогда будет четко видно, есть ли деструкция.

Катенёв Валентин Львович's picture
Offline
Last seen: 7 years 6 months ago
Joined: 22.03.2008 - 22:15
Posts: 54876

Я думаю, что "реконструкция" будет не нужна, если будем иметь "гистологию".

Анатолий Владимирович Шумаков's picture
Offline
Last seen: 8 years 3 months ago
Joined: 16.10.2009 - 21:16
Posts: 1941

Гистология - метастаз аденокарциномы. Первичную опухоль не нашли...

Приложения: 
683.jpg684.jpg