You are here

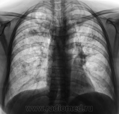
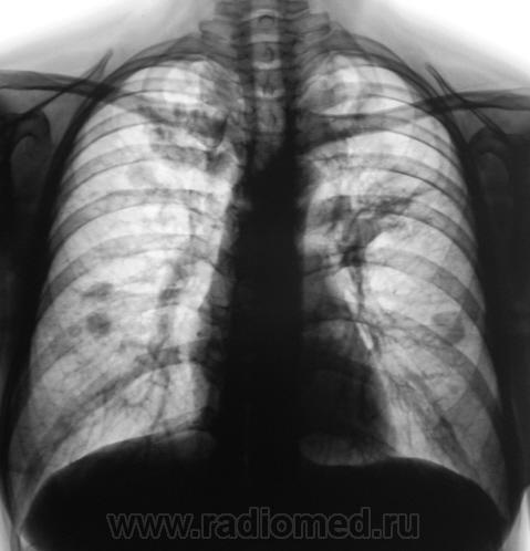
"Смена ориентации" или сочетанная патология? Динамика.

Пол пациента: 
Тип патологии: 
Методы исследования: 

"Смена ориентации" или сочетанная патология?

2008 г.

2009 г.

2010 г.

  • https://radiomed.ru/sites/default/files/styles/case_slider_image/public/user/12/12.p9290077.jpg?itok=oMYp8S-w
  • https://radiomed.ru/sites/default/files/styles/case_slider_image/public/user/12/13.p9290078.jpg?itok=9h5klizk
  • https://radiomed.ru/sites/default/files/styles/case_slider_image/public/user/12/14.p9290079.jpg?itok=GatEayju
  • https://radiomed.ru/sites/default/files/styles/case_slider_image/public/user/12/11.p9290080.jpg?itok=Z9gDxdW5
  • https://radiomed.ru/sites/default/files/styles/case_slider_image/public/user/12/12.p9290084.jpg?itok=8v0JML6p
  • https://radiomed.ru/sites/default/files/styles/case_slider_image/public/user/12/13.p9290086.jpg?itok=ucuFmfNU
  • https://radiomed.ru/sites/default/files/styles/case_slider_image/public/user/12/14.p9290085.jpg?itok=X-WSp2Us
  • https://radiomed.ru/sites/default/files/styles/case_slider_image/public/user/12/15.p9290081.jpg?itok=DL8fXq5f
  • https://radiomed.ru/sites/default/files/styles/case_slider_image/public/user/12/16.p9290082.jpg?itok=OIEHayTk
  • https://radiomed.ru/sites/default/files/styles/case_slider_image/public/user/12/17.p9290083.jpg?itok=iqcBsTl5
  • https://radiomed.ru/sites/default/files/styles/case_slider_image/public/user/12/11.p9290088_0.jpg?itok=eAQUUcka
  • https://radiomed.ru/sites/default/files/styles/case_slider_image/public/user/12/12.p9290089.jpg?itok=YMC9tZ-z
  • https://radiomed.ru/sites/default/files/styles/case_slider_image/public/user/12/13.p9290090.jpg?itok=zPOviTDj
  • https://radiomed.ru/sites/default/files/styles/case_slider_image/public/user/12/14.p9290091.jpg?itok=rd_UaUS6
  • https://radiomed.ru/sites/default/files/styles/case_slider_image/public/user/12/15.p9290092.jpg?itok=wYah0AD9
  • https://radiomed.ru/sites/default/files/styles/case_slider_image/public/user/12/16.p9290092a.jpg?itok=Jcaxftgq
ID:7791
Almo's picture
Offline
Last seen: 13 hours 35 min ago
Joined: 28.09.2008 - 18:50
Posts: 8304

Нужно дифференцировать, исход диссеменированного туберкулёза ( в 2008г.) в множественные туберкулёмы в 2010г, и MTS в лёгкие с некоторой положительной димамикой, возможно на фоне проведённой химеотерапии (нужен анамнез!).

Катенёв Валентин Львович's picture
Offline
Last seen: 7 years 5 months ago
Joined: 22.03.2008 - 22:15
Posts: 54876

Almo wrote:

Нужно дифференцировать, исход диссеменированного туберкулёза ( в 2008г.) в множественные туберкулёмы в 2010г, и MTS в лёгкие с некоторой положительной димамикой, возможно на фоне проведённой химеотерапии (нужен анамнез!).

"Палка" была обнаружена, и в 2008 и 2009 гг неоднократно.

Vikkur's picture
Offline
Last seen: 5 years 4 weeks ago
Joined: 24.09.2009 - 14:34
Posts: 1749

похоже микст..

Виктор.

Almo's picture
Offline
Last seen: 13 hours 35 min ago
Joined: 28.09.2008 - 18:50
Posts: 8304

Возможно вы правы, но может быть просто, проявлением лечённого диссеминированного туберкулёза лёгких в динамике.

Андрей Юрьевич's picture
Offline
Last seen: 2 weeks 5 days ago
Joined: 16.11.2008 - 22:16
Posts: 18106

Сочетанная - что (понятно) с чем? Микст чего?

Андрей Юрьевич