You are here

Женщина из профосмотра

Пол пациента: 
Тип патологии: 
Методы исследования: 

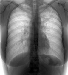
Женщина около 40 лет. Профоосмотр. особых жалоб не предьявляет.

     

    

Что скажете?

Какие ваши предположения?

Что бы хотели узнать?

  • https://radiomed.ru/sites/default/files/styles/case_slider_image/public/user/2667/zx2.jpg?itok=uQ-wp8oI
  • https://radiomed.ru/sites/default/files/styles/case_slider_image/public/user/2667/zx3.jpg?itok=wFXIyaOF
  • https://radiomed.ru/sites/default/files/styles/case_slider_image/public/user/2667/zx4.jpg?itok=pu8UV8iO
  • https://radiomed.ru/sites/default/files/styles/case_slider_image/public/user/2667/zx5.jpg?itok=jbfNECLQ
  • https://radiomed.ru/sites/default/files/styles/case_slider_image/public/user/2667/zx6.jpg?itok=8Rk4m1bZ
ID:15364
Катенёв Валентин Львович's picture
Offline
Last seen: 7 years 3 months ago
Joined: 22.03.2008 - 22:15
Posts: 54876

Полость, с небольшим уровне жидкости в 1 сегменте справа, вокруг полости, в окружающей легочной ткани видится также "непотребство". На мой взгляд, надо верхушки порезать.

Анатолий Владимирович Шумаков's picture
Offline
Last seen: 8 years 1 month ago
Joined: 16.10.2009 - 21:16
Posts: 1941

Похоже на порок развития бронхов с воспалением. К твс сердце не лежит, все-таки на  БК проверить надо, ну и динамика все остальное подскажет...

stovbav's picture
Offline
Last seen: 2 years 5 months ago
Joined: 20.12.2009 - 17:28
Posts: 7066

А вот это было в 2005 году (фотокопия аналогового снимка)

Приложения: 
zx8.jpgzx7.jpg
Катенёв Валентин Львович's picture
Offline
Last seen: 7 years 3 months ago
Joined: 22.03.2008 - 22:15
Posts: 54876

Я не думал о ТБС Анатолий Владимирович на 100%. "Стандарт", нас проклятый, уже совсем зажучил.

Вполне могут быть дизонтогенетические бронхоэктазы.

Катенёв Валентин Львович's picture
Offline
Last seen: 7 years 3 months ago
Joined: 22.03.2008 - 22:15
Posts: 54876

stovbav wrote:

А вот это было в 2005 году (фотокопия аналогового снимка)

Вот, и Виктор Григорьевич, предыдущими снимками подтверждает, что, возможно, дизонтогенетические....

stovbav's picture
Offline
Last seen: 2 years 5 months ago
Joined: 20.12.2009 - 17:28
Posts: 7066

Анатолий Владимирович, как говорится, как в воду глядел. Естественно - меня весьма смутили изменения на ФГ. Тут же нашелся последний снимок за 2005 год...

Пригласил барышню на беседу...оказывается все это тянется еще с 15 лет....

Да все бы хорошо....но как Вам динамика за эти шесть лет? И что скажете о перифокальной инфильтрации кпереди от полостей?

Катенёв Валентин Львович's picture
Offline
Last seen: 7 years 3 months ago
Joined: 22.03.2008 - 22:15
Posts: 54876

Резать надо, да и мокроту тщательнейшим образом исследовать, и не только на МБТ.

stovbav's picture
Offline
Last seen: 2 years 5 months ago
Joined: 20.12.2009 - 17:28
Posts: 7066

Катенёв Валентин Львович wrote:

Резать надо, да и мокроту тщательнейшим образом исследовать, и не только на МБТ.

Все так и сделаем...+КТ...о результатах доложусь позже, случай вчерашний....

Катенёв Валентин Львович's picture
Offline
Last seen: 7 years 3 months ago
Joined: 22.03.2008 - 22:15
Posts: 54876

Будем ждать.