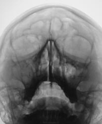
Пол пациента: Женский пол Тип патологии: Другое Область исследования: Челюстно-лицевая область и шея Методы исследования: Rg Жалобы на головные боли. Пациент направлен на рентгенографию ППН. Ваше мнение уважаемые коллеги? https://radiomed.ru/sites/default/files/styles/case_slider_image/public/user/12/2.p1110012a.jpg?itok=qk6hL7ag https://radiomed.ru/sites/default/files/styles/case_slider_image/public/user/12/3.p1110013.jpg?itok=W-Z2Z-n8 https://radiomed.ru/sites/default/files/styles/case_slider_image/public/user/12/4.p1110013a.jpg?itok=40M8zVoz ID:18050 Wed, 11/01/2012 - 18:32 #1 crazyn0lik Offline Last seen: 12 years 8 months ago Joined: 15.09.2010 - 21:22 Posts: 12 Гайморит, фронтит Wed, 11/01/2012 - 19:17 #2 Евгений1313 Offline Last seen: 13 years 2 months ago Joined: 15.10.2010 - 19:13 Posts: 808 Похоже на крупную кисту справа и грубое утолщение слизистой слева. Wed, 11/01/2012 - 19:21 #3 Глазков Игорь А... Offline Last seen: 11 months 3 weeks ago Joined: 19.12.2008 - 20:41 Posts: 1597 в лобных пазухах Прийди к Себе Thu, 12/01/2012 - 20:32 #4 Грицько Виталий Offline Last seen: 9 years 2 months ago Joined: 05.01.2010 - 14:06 Posts: 1058 Глазков Игорь Артурович wrote: в лобных пазухах Добрый вечер! Не могли бы Вы пояснить по эксудату. На мой взгляд изменения за счет слизистой. Fri, 13/01/2012 - 00:43 #5 i_vuduborets Offline Last seen: 11 years 6 months ago Joined: 14.04.2010 - 17:59 Posts: 87 полисинусит
Гайморит, фронтит
Похоже на крупную кисту справа и грубое утолщение слизистой слева.
в лобных пазухах
Прийди к Себе
полисинусит