You are here

Экскреторная урография

Пол пациента: 
Тип патологии: 
Область исследования: 
Методы исследования: 
1.jpg
1.jpg
2.jpg
2.jpg
3.jpg
3.jpg

Данный случий несколько смутил меня первоначально.

AttachmentSize
Image icon 1.jpg237.46 KB
Image icon 2.jpg253.41 KB
Image icon 3.jpg200.98 KB
v1tal's picture
Offline
Last seen: 5 years 2 months ago
Joined: 07.06.2008 - 19:41
Posts: 1779

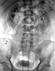
Пациент обратился в приемное отделение, с клиникой почечной колики, в экстренном порядке был госпитализирован. Было сразу сделано УЗИ абдоминальное+почки, где выявлено каликопиелоэктазия справа. Мы же сразу сделали экскреторную урографию, в данном случае получилась экстравазация рентген-контрастного вещества. Обзорную урограмму я ни стал скидывать поскольку там не визуализируются рентген контрастные тени на фоне кишечного содержимого. Урологи сразу взяли его в операционную где был установлен стент в мочеточнике.

"Знаешь, у некоторых врачей есть комплекс мессии — им необходимо спасать мир. А у тебя комплекс Рубика — тебе необходимо решать головоломки."

rentgengb1's picture
Offline
Last seen: 12 years 5 months ago
Joined: 13.02.2009 - 23:02
Posts: 290

Интересное наблюдение! экстравазацию на рентгенснимках редко увидишь, а вот на КТ это частое явление.

Андрей Юрьевич's picture
Offline
Last seen: 3 weeks 4 days ago
Joined: 16.11.2008 - 22:16
Posts: 18106

Давайте уточним: в термине extravasatio, vas - это сосуд. Нарушение целостности какого сосуда мы разбираем?

Андрей Юрьевич

rentgengb1's picture
Offline
Last seen: 12 years 5 months ago
Joined: 13.02.2009 - 23:02
Posts: 290

Дословный перевод- вытекание из сосуда (кровь,лимфа и т.д.). Термин прижился...и используется. А какую терминологию используете Вы.

Андрей Юрьевич's picture
Offline
Last seen: 3 weeks 4 days ago
Joined: 16.11.2008 - 22:16
Posts: 18106

Вопрос остается прежним: из какого сосуда? По снимкам видно, что это совсем НЕ из сосуда?

Андрей Юрьевич

rentgengb1's picture
Offline
Last seen: 12 years 5 months ago
Joined: 13.02.2009 - 23:02
Posts: 290

 Дело не втом от куда, а сам принцип( видимый процесс)выход контраста за пределы анатомического  образования. Например термин затек контраста, не совсем отображает  суть, но когда читаешь экстравзация, сразу ясно в чем речь.

Ермолаев's picture
Offline
Last seen: 9 years 3 months ago
Joined: 07.02.2009 - 16:33
Posts: 670

Интересное наблюдение! Мне видится гидронефротическая трансформация правой почки. Затекание контраста за пределы правого мочеточника ("мочевой затек") в верхней трети. Повреждение мочеточника камнем (ни разу не встречал)? А травмы случайно не было? Не все благополучно и вокруг правой лоханки. Те же тени контраста за пределами мочевыделительной системы. Не дифференцируется правая поясничная мышца. Все таки склоняюсь к мысли о травме правой лоханки и правого мочеточника. Если бы данная картина была при МКБ, то почка бы молчала (блок почки). Здесь же функция почки полность сохранена. Да- это травма!

dok

Андрей Юрьевич's picture
Offline
Last seen: 3 weeks 4 days ago
Joined: 16.11.2008 - 22:16
Posts: 18106

Так это не оговорка, а сознательная безграмотность. Экстравазация, только не из сосуда, а из чего-то другого. Ну-ну. И много еще таких терминов, когда пишется одно, а подразумевается другое, Вы используете в своей практике?

Андрей Юрьевич

rentgengb1's picture
Offline
Last seen: 12 years 5 months ago
Joined: 13.02.2009 - 23:02
Posts: 290

Да я использую этот термин  в своей практикев, частности урологической  патологии. И пусть как Вы считаете это будет  безграмотностью, хорошо хоть что сознательной.

v1tal's picture
Offline
Last seen: 5 years 2 months ago
Joined: 07.06.2008 - 19:41
Posts: 1779

В заключении я не исключил наличие не рентген-контрастного камня в правом мочеточнике, хотя при уретероскопии урологи прошли всего 4-5см, от устья, в дальнейшем они подконтролем рентгена установили стент.

Уважаемый Андрей Юрьевич по поводу экстравазации(до словно ( это вытекание какой-либо жидкости из сосудов в окружающие ткани в результате травмы, ожога, воспаления или аллергии), в данном случае мы предположили как результат воздействие камня на стенку мочеточника.

Какие либо травмы данный пациент отрицает.

"Знаешь, у некоторых врачей есть комплекс мессии — им необходимо спасать мир. А у тебя комплекс Рубика — тебе необходимо решать головоломки."

Андрей Юрьевич's picture
Offline
Last seen: 3 weeks 4 days ago
Joined: 16.11.2008 - 22:16
Posts: 18106

Ну, с Вами говорить, нахорошенько поевшиУлыбается! Неловко даже напоминать, что осетрина бывает только одной свежести, а именно первой, а экстравазация бывает только за стенки сосуда, а не чего-нибудь другого. Подождем Марио. Может модератор подскажет, как это называется на растленном ЗападеУлыбается?

Теперь по делу. Так какой диагноз поставлен больному? Что делали - ясно, но что все-таки у больного было? При всем уважении ///воздействие камня на стенку мочеточника///, т.е. пролежень - маловероятен. В первую голову, также как коллегам Ермолаеву и Юнделичу, мне приходит травма. Особенно при наличии обучающих примеров на экране ТВ. Бьют сейчас безжалостно.

Андрей Юрьевич

v1tal's picture
Offline
Last seen: 5 years 2 months ago
Joined: 07.06.2008 - 19:41
Posts: 1779

Заключительный диагноз выставленный урологами звучит так: Уролитиаз. камень н/3 правого мочеточника. Рицидивирующая почечная колика справа.

Я ещё раз повторяю травм ни каких не было у данного пациента. Стент ему будут убирать в концу данного месяца.

"Знаешь, у некоторых врачей есть комплекс мессии — им необходимо спасать мир. А у тебя комплекс Рубика — тебе необходимо решать головоломки."

rentgengb1's picture
Offline
Last seen: 12 years 5 months ago
Joined: 13.02.2009 - 23:02
Posts: 290

Травмы повлекшие за собой нарушения целостности мочеточника редки, в виду анатомии как самого мочеточника, так и его расположения. Тавму пациент отрицает, но сам то он должен с чем связывать свое состояние!?

Андрей Юрьевич's picture
Offline
Last seen: 3 weeks 4 days ago
Joined: 16.11.2008 - 22:16
Posts: 18106

///Заключительный диагноз выставленный урологами звучит так: Уролитиаз. камень н/3 правого мочеточника. Рицидивирующая почечная колика справа./// Значит камень все-таки был? Они его извлекли? Но все-таки, чего-то в этом диагнозе не хватает. А именно, указания на нарушение целостности мочеточника, и причины, из-за чего оно возникло.

А ятерогении быть не может (см. вопрос коллеги Юнделича)? После УЗИ слазили катетером, повредили стенку, а уже затем не рентген.

Андрей Юрьевич

v1tal's picture
Offline
Last seen: 5 years 2 months ago
Joined: 07.06.2008 - 19:41
Posts: 1779

Андрей Юрьевич, я может что то ни до понял, ваши мысли склоняются к "вредительству" урологов?

"Знаешь, у некоторых врачей есть комплекс мессии — им необходимо спасать мир. А у тебя комплекс Рубика — тебе необходимо решать головоломки."

rentgengb1's picture
Offline
Last seen: 12 years 5 months ago
Joined: 13.02.2009 - 23:02
Posts: 290

Ятрогения исключена, на снимках стента нет, даже если бы урологи проткнули бы мочеточник, то стент бы все равно не убрали, т.к. он дает отток мочи.

Андрей Юрьевич's picture
Offline
Last seen: 3 weeks 4 days ago
Joined: 16.11.2008 - 22:16
Posts: 18106

///Ятрогения исключенаЯтрогения исключена/// Не надо столь категорично. Никто и не говорит о ятерогении при установке стента. Стент установили после рентгена. Речь идет о временном промежутке между УЗИ и рентгеном, тогда и могли повредить при пробной катетеризации мочеточника.

///мысли склоняются к "вредительству" урологов?///.  "Вредительство" - слишком сильно сказано, а вот ятерогения - весьма вероятна. Делов-то: проткнули мочетоник, сдрейфили, послали на рентген, взяли на операцию, устранили результат свего вмешательства, и сидят как зайки. Мне интересно камень-то хоть извлекли, или там остался, а может его вообще не было?

И еще, как урологи медицинским языком в истории болезни объясняют причину нарушения целостности мочеточника

Андрей Юрьевич

rentgengb1's picture
Offline
Last seen: 12 years 5 months ago
Joined: 13.02.2009 - 23:02
Posts: 290

Что значит "пробная катетеризация мочеточника", а есть что не пробная(стопроцентно удачная)?. Андрей Юрьевич Вы мыслите как прокурор! "шьете" дело мастерски. Да еще автор утверждает что после узи он сразу сделал в/в урографию, т. е. урологи еще не были в курсе дел я так понимаю?. И коллеги зачем Вы так высказываетесь против клиницистов, то травматологи под раздачу попадают,то нейрохирурги, сейчас урологи обвиняя их в ятрогении. Может уже достаточно.

v1tal's picture
Offline
Last seen: 5 years 2 months ago
Joined: 07.06.2008 - 19:41
Posts: 1779

Удивлён ну Андрей Юрьевич, у наших урологов алгоритм ведения пациентов, без УЗИ и экскреторки ни куда они не лезут. Угомоните пыл коллеги, данный случай  я привел с той целью, что ни каждый день можно такое увидеть, при условии что у меня в день минимум 2 экскреторных урографии. По началу я тоже оторопел думал результат травмы, а нет пациент является нашим сотрудником и не чего тут креминального нет, в данный момент чувствует себя прекрасно.

"Знаешь, у некоторых врачей есть комплекс мессии — им необходимо спасать мир. А у тебя комплекс Рубика — тебе необходимо решать головоломки."

Андрей Юрьевич's picture
Offline
Last seen: 3 weeks 4 days ago
Joined: 16.11.2008 - 22:16
Posts: 18106

Специально для rentgengb1!!!

Я не дело шью. Я хочу выяснить: вследствие чего произошло нарушение целостности стенки н/3 правого мочеточника.  С удовольствием прочитаю и Ваше мнение, его я пока не вижу.

И еще ///автор утверждает что после узи он сразу сделал в/в урографию, т. е. урологи еще не были в курсе дел я так понимаю?/// На основании чего сделан подобный вывод?

И последнее, повторюсь: ///камень-то хоть извлекли, или там остался, а может его вообще не было?///, ///как урологи медицинским языком в истории болезни объясняют причину нарушения целостности мочеточника///

Андрей Юрьевич

rentgengb1's picture
Offline
Last seen: 12 years 5 months ago
Joined: 13.02.2009 - 23:02
Posts: 290

No comment

Dr.Mario's picture
Offline
Last seen: 11 years 6 months ago
Joined: 06.08.2008 - 08:44
Posts: 920

Экстравазация-термин распространённый, означает вытекание жидкости/содержимого из любой тубулярной структуры, не только из кровеносного сосуда, подумайте: vaso- это СОСУД, ёмкость; но нигде не написано что это именно кровеносный сосуд.
По случаю: я считаю что это ятрогения.

Let me see...

radiographia.ru

Андрей Юрьевич's picture
Offline
Last seen: 3 weeks 4 days ago
Joined: 16.11.2008 - 22:16
Posts: 18106

///Угомоните пыл коллеги, данный случай  я привел с той целью, что ни каждый день можно такое увидеть/// Действительно не каждый. Тем более, что объяснения этому случаю, изложенное сухим языком медицинских документов, я так и не прочел.

Андрей Юрьевич

Ермолаев's picture
Offline
Last seen: 9 years 3 months ago
Joined: 07.02.2009 - 16:33
Posts: 670

Коллеги! А мне лично термин "экстравазация" в представленном случае не нравится. В таком случае необходимо подсказать российским коммунальщикам каждый прорыв трубы называть не аварией, а экстравазацией. Картина- стоит (к примеру) Лужков в кепке и вещает, что произошла экставазация газа из магистрального газопровода, поэтому сгорел проэктный институт.

Сегодна проконсультировался со своими урологами. Случаи повреждения стенки мочеточника камнем имеют место в медицинской практике, но крайне и крайне редко. В представленном случае урологи прошли катетером 4-5 см от устья мочеточника и поставили стент(как сообщил коллега). Т.е. камень должен быть в нижней трети мочеточника. При этом мочевой затек имеется в верхней трети и в лоханке! Травма это. Какая, не знаю. Я не прокурор, чтобы разбираться. И еще, сегодня смотрел пациента с камнем в юкставезивальном отделе левого мочеточника. 10 мм камень лежит в течении 1,5 лет. Почка блокирована. Но повреждения стенки камнем отсутствует (пролежень).

dok

v1tal's picture
Offline
Last seen: 5 years 2 months ago
Joined: 07.06.2008 - 19:41
Posts: 1779

Невозможностью дальнейшего проведение уретероскопа было трактовано следствием физиологической узости просвета мочеточника, наши же урологи по поводу термина "экстравазации" ни чего против не имеют, они данным термином, в данной ситуации сами воспользовались. И все же если данная ситуация была бы как следствие травмы, пациент нам бы сказал, ятрогения тоже отметается так как это все же наш сотрудник, сами подумайте с чего бы это они полезли стентом без всякого предворительного обследования, да еще и без контроля рентгена.

"Знаешь, у некоторых врачей есть комплекс мессии — им необходимо спасать мир. А у тебя комплекс Рубика — тебе необходимо решать головоломки."

Андрей Юрьевич's picture
Offline
Last seen: 3 weeks 4 days ago
Joined: 16.11.2008 - 22:16
Posts: 18106

Просто мечтаю о появлении на сайте русскоязычного радиолога из Японии (смайлы)

Мне лично хватило вот этого сообщения Марио  о западной медицинской терминологии///Экстравазация-термин распространённый, означает вытекание жидкости/содержимого из любой тубулярной структуры, не только из кровеносного сосуда, подумайте: vaso- это СОСУД, ёмкость; но нигде не написано что это именно кровеносный сосуд///. Беру назад замечания о безграмотности применения данного термина при затекании контраста за пределы мочевыводящей системы.

При этом оставляю за собой право пользоваться привычными для себя терминами. Также, например, терпеть не могу слова рефрактура вместо повторный перелом.

Андрей Юрьевич

Николай's picture
Offline
Last seen: 3 years 2 months ago
Joined: 29.05.2009 - 04:38
Posts: 554

Очень жаль, что сразу в штыки, даже враждебно, воспринимается все что непривычно, при этом переходят на личности. Вместо того чтобы разобраться и взять на заметку. Поэтому и возникают проблемы в общении на форуме. Очень жаль.

Катенёв Валентин Львович's picture
Offline
Last seen: 7 years 5 months ago
Joined: 22.03.2008 - 22:15
Posts: 54876

Интереснейший случай.

А обсуждается случай или терминология?

v1tal's picture
Offline
Last seen: 5 years 2 months ago
Joined: 07.06.2008 - 19:41
Posts: 1779

Уважаемые коллеги всем большое спасибо за ваши комментарии к данному случаю, Андрей Юрьевич  в том что Dr.Mario скидывает данные на английском языке в это ни чего нет страшного, ведь все равно всем смысл ясен и за это ему большое спасибо.

"Знаешь, у некоторых врачей есть комплекс мессии — им необходимо спасать мир. А у тебя комплекс Рубика — тебе необходимо решать головоломки."

Андрей Юрьевич's picture
Offline
Last seen: 3 weeks 4 days ago
Joined: 16.11.2008 - 22:16
Posts: 18106

Коллега v1tal, а с чего Вы решили, что я страшусь публикаций Марио ///Андрей Юрьевич  в том что Dr.Mario скидывает данные на английском языке в это ни чего нет страшного///, отнюдь. Страхи - это к психиатрам, пожалуй. Я, коллега, и заблуждения свои признаю, а это далеко не всем своственно.

Кстати, так и не услышал от Вас, как от автора наблюдения ответов на свои вопросы. Могу и повторить:

///какой камень извлекли, или там остался, а может его вообще не было?///,

///как урологи медицинским языком в истории болезни объясняют причину нарушения целостности мочеточника?///

Андрей Юрьевич

v1tal's picture
Offline
Last seen: 5 years 2 months ago
Joined: 07.06.2008 - 19:41
Posts: 1779

Повторяюсь "невозможностью дальнейшего проведение уретероскопа было трактовано следствием физиологической узости просвета мочеточника" камень не был извлечен, урологи просто указали в истории болезни наличие экстравазации по рентгенологичесой картине, по их словам данная ситуация могла возникнуть с отхождением камня.

"Знаешь, у некоторых врачей есть комплекс мессии — им необходимо спасать мир. А у тебя комплекс Рубика — тебе необходимо решать головоломки."

Андрей Юрьевич's picture
Offline
Last seen: 3 weeks 4 days ago
Joined: 16.11.2008 - 22:16
Posts: 18106

Считайте меня занудой, коллега, но жизнь приучила к дотошности. Резюме: 1) камня никто не видел, но диагноз камень н/3 мочеточника поставлен; 2) нарушение целостности стенки мочеточника, в качестве осложнения основного заболевания, не выставилялось (отмеченный в истории б-ни наукообразный рентгенологический признак экстравазация - всего лишь симптом); 3) камень не был извлечен, но по словам (а не записям в истории болезни) урологов данная ситуация могла возникнуть с отхождением камня;

и 4) а Вы коллега, освятили сие заключением ///не исключил наличие не рентген-контрастного камня в правом мочеточнике///.

Браво-браво. Очень мило.

Андрей Юрьевич

v1tal's picture
Offline
Last seen: 5 years 2 months ago
Joined: 07.06.2008 - 19:41
Posts: 1779

Уважаемый Андрей Юрьевич следствием чего обусловлено данная рентген-картина можно гадать сколько угодно, вашу точку зрения я понял, данное состояние пациента обсуждалось мной совместно с урологами, ибо я лично с этим столкнулся впервые. Почему урологи не нашли камень, это уже другой вопрос, очень часто есть самостоятельное отхождение камня. А что касается заключения, что вас в нем смущает , все было написано в протоколе.

"Знаешь, у некоторых врачей есть комплекс мессии — им необходимо спасать мир. А у тебя комплекс Рубика — тебе необходимо решать головоломки."

Катенёв Валентин Львович's picture
Offline
Last seen: 7 years 5 months ago
Joined: 22.03.2008 - 22:15
Posts: 54876

Уважаемый v1tal!

Я даже не хотел вмешиваться в данное обсуждение. Но налицо нарушение целостности лоханки и мочеточника, и не в одном месте - лоханка и мочеточник, и конкремент тут не при чем. Конкремента нет, ну нет и все. Отхождение конкремента, который вызвал - бы пролежень весьма сомнительно, и куда он отошел?

v1tal's picture
Offline
Last seen: 5 years 2 months ago
Joined: 07.06.2008 - 19:41
Posts: 1779

При острой обструкции мочевых путей возникает резкое повышение давления в чашечно-лоханочной системе почек. которая может самостоятельно понизиться в результате пиелосинусной экстравазации мочи при разрыве форниксов.

"Знаешь, у некоторых врачей есть комплекс мессии — им необходимо спасать мир. А у тебя комплекс Рубика — тебе необходимо решать головоломки."

Катенёв Валентин Львович's picture
Offline
Last seen: 7 years 5 months ago
Joined: 22.03.2008 - 22:15
Posts: 54876

А при чем здесь форниксы? Да, справа мы видим, преимущественно тубулярные рефлюксы в виде "метелочек", что может свидетельствовать о повышении давления в полой системе почки. Но вот странно, что пре - или гидронефротической трансформаии почечной лоханки нет. И как это ни странно, при гидронефротической трансформации полой системы почки (в результате обструкции), при значительном повышении давления в лоханке, рефлюксы не видны.

Андрей Юрьевич's picture
Offline
Last seen: 3 weeks 4 days ago
Joined: 16.11.2008 - 22:16
Posts: 18106

У важаемый коллега v1tal! Ясно, что случай неординарный. Я с таким встречался редко. Вот коллега rentgengb1 пишет, что ///на КТ это частое явление///, и молчок. Взял бы, да и представил примеры, раз это частое явление. А мы бы посмотрели.

Лично я никого уесть не хочу, а хотел только донести свою озабоченность.

 

Андрей Юрьевич

Dr.Mario's picture
Offline
Last seen: 11 years 6 months ago
Joined: 06.08.2008 - 08:44
Posts: 920

Разрешите мне, вот случай из архива. Мы очень удивились когда увидели экстравазацию контраста за пределы лоханки и верхней трети мочеточника, тем более никаких вмешательств не было. Привожу снимки и комментарии: 

МОЛОДОЙ МУЖЧИНА 40 ЛЕТ; ПОСТУПИЛ К НАМ С ДИАГНОЗОМ ПОЧЕЧНАЯ КОЛИКА. АНАМНЕЗ БЕЗ ОСОБЕННОСТЕЙ; НАЛИЧИЕ ТРАВМЫ ОТРИЦАЕТ КАТЕГОРИЧЕСКИ; ЖАЛОБЫ НА СИЛьНЫЕ БОЛИ В ЛЕВОМ БОКУ. АНАЛИЗ КРОВИ В ПРЕДЕЛАХ НОРМЫ; АНАЛИЗ МОЧИ ПОКАЗАЛ 15-20 ЭРИТРОЦИТОВ; ЛЕЙКОЦИТЫ 2-3.

Изображение  Изображение

Изображение  Изображение

Let me see...

radiographia.ru

Андрей Юрьевич's picture
Offline
Last seen: 3 weeks 4 days ago
Joined: 16.11.2008 - 22:16
Posts: 18106

А реконструкция, очень похожа на исходные картинки. Так диагноз-то какой поставлен, неужели просто экстравазация и все?

Андрей Юрьевич

Dr.Mario's picture
Offline
Last seen: 11 years 6 months ago
Joined: 06.08.2008 - 08:44
Posts: 920

В моём случае да, никаких других объяснений не было. Было отхождение камня (около 7-8 мм насколько помню), его потом достали уретроскопом из пузыря. Но в случае представленным коллегой vital, я всё таки склоняюсь к ятрогении, ибо было медицинское вмешательство. Я опубликовал пример КТ, так как Вы просили посмотреть как это выглядит на КТ.

Let me see...

radiographia.ru

Ермолаев's picture
Offline
Last seen: 9 years 3 months ago
Joined: 07.02.2009 - 16:33
Posts: 670

Доктор Марио! Честное слово, я нисколько не возражаю против употребления термина "экстравазация"! И по представленному исследованию. Ну хоть убейте, не понимаю, как происходит затекание контраста за пределы полостной системы почки и мочеточника. Все рентгеноконтрастные вещества довольно высокомоллекулярные соединения. И представить себе простое "пропотевание" контраста за пределы ткани состоящей из 4-х слоев просто не могу (наверное фантазии не хватает или знаний).

dok

Катенёв Валентин Львович's picture
Offline
Last seen: 7 years 5 months ago
Joined: 22.03.2008 - 22:15
Posts: 54876

Надо надеяться, что "контрольное исследование", о котором говорит автор случая, "привнесет" дополнительную информацию, которая позволит поставить точки над "и".

Петрович's picture
Offline
Last seen: 7 years 8 months ago
Joined: 22.03.2009 - 01:13
Posts: 3908

V1tal << Обзорную урограмму я ни стал скидывать поскольку там не визуализируются рентген контрастные тени на фоне кишечного содержимого.>>
 Удивлён Странная аргументация. Зато на ней визуализируется кишечное содержимое без наслоения контрастных теней. Так для того её и делают, чтобы потом вычитать (в уме) это содержимое из последующих снимков с контрастом. С ней можно было бы понять: откуда вытекает.

V1tal << В заключении я не исключил наличие не рентген-контрастного камня в правом мочеточнике.>>
 В нерешительности Рентген-контрастный – значит видимый рентгенологу. Не могли бы Вы коллега указать на него стрелочкой или описать его локализацию скелетотопически? Насколько я понял и дискуссии никто из остальных рентгенологов его не увидел. А цифровые эти рентгенограммы очень хороши.
    На третьей рентгенограмме видим: Больной встал на ноги и контраст потёк вниз до самого моч. пузыря. Мочеточник нигде не расширен, что указывало бы на наличие препятствия. Параллельно вниз по клетчатке двинулся экстравазированный контраст.
  Нельзя не отметить паранефрит – вероятно вследствие экстравазации мочи (сколько она уже продолжается?) и однажды упомянутый тубулярный рефлюкс, который может быть следствием повышения давления в полостной системе справа, но и признаком патологии сосочков почки тоже может быть (папиллита например).
    Мне лично более всего не нравится нижний полюс правой почки. Какая-то мазня там уже с 7'. Ах как не хватает обзорной урограммы! Возможно, здесь и происходит эта самая экстравазация. А в целом картина напоминает феномен Olsson характерный для туберкулезного поражения почки. Что нам остаётся: поискать каверну (возможно, она наслаивается на среднюю группу чашек), свищ. Без томографии (с новым контрастированием) и обзорной урограммы достоверно не определить. И про посев мочи можно напомнить урологам, а можно тому сотруднику – хозяину почки.
 Улыбается И наконец, коллега V1tal, представивший нам этот интересный случай, просто не имеет морального права не показать (или хотя бы рассказать), что было дальше.

Неоднозначно всё

Петрович's picture
Offline
Last seen: 7 years 8 months ago
Joined: 22.03.2009 - 01:13
Posts: 3908

V1tal, есть какая-нибудь дополнительная информация?

Неоднозначно всё

NIL's picture
NIL
Offline
Last seen: 1 week 6 days ago
Joined: 25.11.2013 - 20:50
Posts: 18217

Случайно наткнулась. Очень интересный случай. Эксклюзив. Полезно вспомнить.Возможно, взгляды на проблему за истекшие годы изменились. Повод просветиться.


"Слушай всех, прислушивайся к немногим, решай сам".©