Есть горизонтальный уровень жидкости, а, следовательно, кроме патологических процессов, при которых может иметь место такой уровень, интересуюсь о "рукотворных" воздействиях и возможных травмах (к примеру - перелом ребер).
Почва для размышлений по представленным рентгенограммам есть, есть и не малая...
Но уж очень левый корень расширен и какой-то смазанный. И сам патологический процес связан широкой дорожкой с коренм - как бы центрального раке не было.
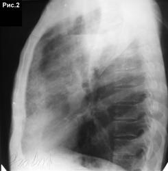
Верхняя доля левого лёгкого инфильтрирована вся. Но негомогенно. Ретростернально инфильтрация интенсивнее. Там, кстати, мне даже мелкие полости чудятся.
слева в сегменте S1+2 определяется уплотнение по типу консолидации ,с нечеткими контурами ,округлыми очертаниями ,которое на боковой соответствует описанным мною сегментам ,с уменьшением объема сегментов(гиповентиляция), формированием кольцевидной тени с горизонтальным уровнем жидкости(высвобождение содержимого в бронх) ,прилежащим к костальной плевре .также в S4 слева определяется уплотнение по типу инфильтрации небольших размеров ,с размазанными контурами.диагноз:согласен с Петровичем+добавлю первичный механизм формирования абсцесса, стадия нероза с распадом и формированием кольцевидной тени,инфильтрация в S4
До заболевания много лет страдал хроническим бронхитом. Повысилась температура до 39С, появился кашель с небольшим количеством трудноотделяемой мокротой. Одышка при небольшой физической нагрузке.ЧДД -20 в 1 мин. В крови лейк.8,7*109/л, СОЭ -52 мм/ч. Поступил в терапию Диагноз- абсцедирующая пневмония в/д левого легкого. Лечение три недели с незначительной динамикой процесса в легких (см. рис.3). Переведен в торакальное отделение. Оперативного вмещательства не было. В дальнейшем диагноз - хронический абсцесс. К врачам длительное время не обращался, жил в деревне. С ухудшением состояния поступил в стационар. В мокроте обнаружены МБТ в большом количестве (см. рис.4, ). Переведен в ПТД.
обзорной рентгенограмме органов дыхания процесс надо рассматривать как фиброзно-кавернозный. Следует считать, что исходный процесс был специфический. Данная демонстрация подтверждает многообразие проявлений туберкулеза легких. В современной эпидемической неблагоприятной ситуации по туберкулёзу при каждом процессе в 1,2,6 сегментах в легких необходимо исключить туберкулез.
На последней обзорной рентгенограмме органов дыхания процесс надо рассматривать как фиброзно-кавернозный. Следует считать, что исходный процесс был специфический. Данная демонстрация подтверждает многообразие проявлений туберкулеза легких. В современной эпидемической неблагоприятной ситуации по туберкулёзу при каждом процессе в 1,2,6 сегментах в легких необходимо исключить туберкулез.
Я бы пожалуй исключил его на первом этапе заболевания. При сравнении первый рентгенограммы и третьей (к сожалению лишь фрагмент левого лёгкого) можно видеть: инфильтрация почти ушла из всех сегментов верхней доли кроме верхушечного. А ведь терапевты туберкулёз не лечат, да и не вылечить его за 3 недели. Или надо допустить, что пациент одновременно страдал и туберкулёзом и пневмонией в одном лёгкого. Далее он лечился консервативно (сколько времени?) в торакальном отделении. Наверное, было в тот период и значительное клиническое улучшение, раз уж выписали без операции. А вот снимка нет.
Интересно: каков интервал времени между 3м и остальными снимками, на которых диагноз туберкулёза уже не вызывает сомнений.
"Хорошее дело"!... Много пищи для размышления...
Дифференциально-диагностический ряд:
1.Центральный рак верхнедолевого бронха слева, осложнённый пневмонией с распадом.
2.Абсцедирующая пневмония слева в верхней доле.
Есть горизонтальный уровень жидкости, а, следовательно, кроме патологических процессов, при которых может иметь место такой уровень, интересуюсь о "рукотворных" воздействиях и возможных травмах (к примеру - перелом ребер).
Почва для размышлений по представленным рентгенограммам есть, есть и не малая...
С первого взгляда пневмония.
Но уж очень левый корень расширен и какой-то смазанный. И сам патологический процес связан широкой дорожкой с коренм - как бы центрального раке не было.
Левосторонняя верхнедолевая пневмония с абсцедированием в S1-2.
Неоднозначно всё
Плотность тени высокая ! я за Сr с распадом.
А что за треугольная тень рисуется, уходящая верхушкой в корень. Не будет ли тут ателектаза?
Я бы порекомендовал противовоспалительную терапию, затем контроль и уже дальше судить по динамике.
Первые 2 стрелки указывают на лопатку. Приглядитесь: там есть и другая.
Вторые 2 стрелки указывают на границу инфильтрированной верхней доли.
Неоднозначно всё
Может быть. Значит лечим верхнедолевую деструктивную пневмонию и контролируем
А, что это за интересное снижение прозрачности (в виде полосы) визуализируется на боковой, спереди паракостально?
Верхняя доля левого лёгкого инфильтрирована вся. Но негомогенно. Ретростернально инфильтрация интенсивнее. Там, кстати, мне даже мелкие полости чудятся.
Неоднозначно всё
Походу полость то не маленькая, на боковушке уровень широкий!
The time has come, the rules have changed...
Думаю центральный рак с ретроканкрозной пневмонией(абсцедирующей).
слева в сегменте S1+2 определяется уплотнение по типу консолидации ,с нечеткими контурами ,округлыми очертаниями ,которое на боковой соответствует описанным мною сегментам ,с уменьшением объема сегментов(гиповентиляция), формированием кольцевидной тени с горизонтальным уровнем жидкости(высвобождение содержимого в бронх) ,прилежащим к костальной плевре .также в S4 слева определяется уплотнение по типу инфильтрации небольших размеров ,с размазанными контурами.диагноз:согласен с Петровичем+добавлю первичный механизм формирования абсцесса, стадия нероза с распадом и формированием кольцевидной тени,инфильтрация в S4
Федя, это хорошая описательная картина ,и не больше.Нужны профессиональные выводы.
До заболевания много лет страдал хроническим бронхитом. Повысилась температура до 39С, появился кашель с небольшим количеством трудноотделяемой мокротой. Одышка при небольшой физической нагрузке.ЧДД -20 в 1 мин. В крови лейк.8,7*109/л, СОЭ -52 мм/ч. Поступил в терапию Диагноз- абсцедирующая пневмония в/д левого легкого. Лечение три недели с незначительной динамикой процесса в легких (см. рис.3). Переведен в торакальное отделение. Оперативного вмещательства не было. В дальнейшем диагноз - хронический абсцесс. К врачам длительное время не обращался, жил в деревне. С ухудшением состояния поступил в стационар. В мокроте обнаружены МБТ в большом количестве (см. рис.4, ). Переведен в ПТД.
Как же будет звучать ваше заключение, коллега? Кавернозный туберкулёз в S1,2 c 2-х сторон?
обзорной рентгенограмме органов дыхания процесс надо рассматривать как фиброзно-кавернозный. Следует считать, что исходный процесс был специфический. Данная демонстрация подтверждает многообразие проявлений туберкулеза легких. В современной эпидемической неблагоприятной ситуации по туберкулёзу при каждом процессе в 1,2,6 сегментах в легких необходимо исключить туберкулез.
Я бы пожалуй исключил его на первом этапе заболевания. При сравнении первый рентгенограммы и третьей (к сожалению лишь фрагмент левого лёгкого) можно видеть: инфильтрация почти ушла из всех сегментов верхней доли кроме верхушечного. А ведь терапевты туберкулёз не лечат, да и не вылечить его за 3 недели. Или надо допустить, что пациент одновременно страдал и туберкулёзом и пневмонией в одном лёгкого. Далее он лечился консервативно (сколько времени?) в торакальном отделении. Наверное, было в тот период и значительное клиническое улучшение, раз уж выписали без операции. А вот снимка нет.
Интересно: каков интервал времени между 3м и остальными снимками, на которых диагноз туберкулёза уже не вызывает сомнений.
Неоднозначно всё