You are here

Вариант Виллизиева Круга.

Пол пациента: 
Область исследования: 
Методы исследования: 

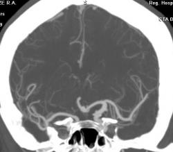
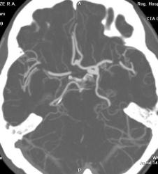
ИзображениеИзображениеИзображениеИзображениеЖенщина, 52 года. Жалобы на птоз слева. Направлена на КТ для исключения аневризмы сифона внутренней сонной артерии (ВСА). Травмы не было.

На КТ правая сонная артерия немного тоньше обычного, сифон продолжается в среднюю мозговую артерию. Правая задняя мозговая артерия отходит от основной артерии.

Левая общая сонная артерия гипертрофирована, на шейном уровне с патологической извитостью. Сифон также шире, чем справа. Задняя мозговая артерия отходит от супраклиноидного отдела ВСА - задняя трифуркация. Левая передняя мозговая артерия делится на две правую и левую передние мозговые артерии (задняя трифуркация), в развилке небольшая аневризма на широком основании. Вторая такая же аневризма на уровне отхождения глазной артерии.

Аневризмы - красные стрелки, Средние мозговые артерии - черные, Задние - зеленые, передняя мозговая - голубая стрелка.

 

 

v1tal's picture
Offline
Last seen: 4 years 10 months ago
Joined: 07.06.2008 - 19:41
Posts: 1779

А вещество головного мозга не изменено?

"Знаешь, у некоторых врачей есть комплекс мессии — им необходимо спасать мир. А у тебя комплекс Рубика — тебе необходимо решать головоломки."

Nela's picture
Offline
Last seen: 6 years 2 months ago
Joined: 12.05.2009 - 20:43
Posts: 1847

Нет, вещество мозга не изменено.