Получается что так Ну и еще скорее всего была пневмония в правом легком, поэтому образовались плевро-диафрагмальные спайки, ничего подозрительного не вижу.
Получается что так Ну и еще скорее всего была пневмония в правом легком, поэтому образовались плевро-диафрагмальные спайки, ничего подозрительного не вижу.
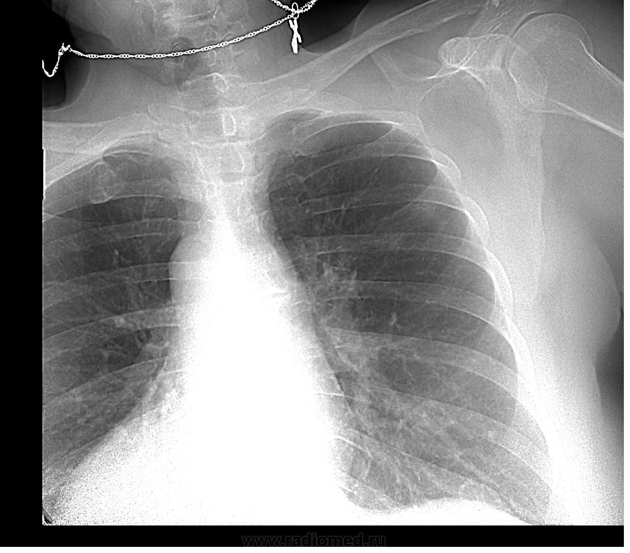
Диафрагма в 3-м межреберье справа?))))...присмотритесь...там субплевральный очаг...
А больную в ОТД...вместе с ее "беломором" и очагом))))
Сколько ни приглядывалась - очага не увидела. Есть какое-то снижение позрачности легочной ткани субплеврально в верхней доле, но не знаю ни одной патологии, при которой такое может быть. Может, какой-нибудь визуальный эффект))
В верхней доле правого лёгкого с самого начала очаг НЕ один был. Через год появился инфильтрат субплеврально и за первым ребром неспокойно. Ещё и слева очаги вероятны
Сухой (фибринозный) плеврит справа+плевро-диафрагмальные изменения справа+единичные очаги: tbc? саркоидоз?
Рентгенологическое исследование для диагностики сухого плеврита практически ничего не дает, однако оно должно осуществляться в обязательном порядке у всех соответствующих больных для выявления возможных изменений в легочной паренхиме или прикорневых лимфоузлах.
Выделение этой нозологической формы плеврита в известной мере условно, так как при ней, главным образом в начальной фазе болезни, в плевральной полости всегда содержится в небольшом количестве воспалительная жидкость. Но в этих случаях экссудат быстро рассасывается или свертывается, что способствует образованию фибринозных наложений главным образом на париетальной и реже на висцеральной плевре. В дальнейшем образуются ограниченные или более распространенные сращения, которые лучше можно выявить при торакоскопии, во время операций на легких, при патоморфологическом исследовании умерших от различных причин.
Клинические проявления сухого плеврита разнообразны. Иногда они выражены незначительно или перекрываются симптомами основного заболевания — туберкулеза легких или лимфатических узлов. Но в большинстве случаев развитие такой формы плеврита сопровождается появлением признаков интоксикации, фебрильной и субфебрильной температуры, сухого кашля, а главным образом болей в груди.
Если в воспалительный процесс вовлекается диафрагмальный нерв в области средостения на почве выпотного или слипчивого медиастинального плеврита, то появляются острые, но быстро проходящие коликообразные боли в нижней части грудной клетки, отдающие в живот. Этот симптом связан с судорожным сокращением диафрагмы. Одновременно в этих случаях боли иррадиируют в область сердца и пищевода. При этом можно также обнаружить симптом Гено де Мюсси.
Из-за резких болей, особенно в острой фазе процесса, больной дышит поверхностно и учащенно. Несоответствие между степенью одышки и распространенностью процесса в легких должно вызвать подозрение на плеврит. По мере затихания болезни дыхание становится более глубоким и замедленным. При образовании обширных сращений и фиброторакса одышка бывает постоянной. В этом случае ее причиной являются стойкое и значительное смещение органов средостения, иногда перекручивание всего сердечно-сосудистого пучка, плеврогенный цирроз легкого.
У многих больных болевые ощущения сопровождаются сухим кашлем, который рефлекторно вызывается раздражением нервных окончаний в пораженной плевре. Но этот признак не может быть отнесен только за счет плеврита, если больные одновременно страдают активным туберкулезом легких.
В острой стадии плеврита обращает на себя внимание вынужденное положение больного, который большей частью лежит па здоровой стороне. Соответствующая половина грудной клетки отстает при дыхании. По мере затихания острых явлений эти признаки постепенно исчезают, но они остаются при образовании массивных плевральных сращений и фибротораксе.
Шум трения плевры в некоторых случаях одновременно сопровождается влажными или сухими хрипами. Такой феномен чаще отмечается при кортико-плевральных формах туберкулеза, при которых, помимо шума трения плевры, слышны своеобразные, как бы поверхностно образующиеся крепитирующие или сухие хрипы. Аналогичное явление наблюдается при реактивном воспалении плевры после образования свежих бронхогенных очагов в нижних отделах легких.
В острой или подострой стадии фибринозного плеврита бывают лейкоцитоз (до 11000—12 000), умеренный левый сдвиг ядерных элементов (до 10—12%), уменьшение количества эозинофилов, ускорение РОЭ (до 30—40 мм/ч). По мере рассасывания или организации плеврита эти гематологические сдвиги исчезают.
Рентгенологически в начальной фазе фибринозного плеврита определяется малоинтенсивное затемнение главным образом в нижнем отделе легочного поля за счет скопления экссудата над диафрагмой. Следует подчеркнуть, что при исследовании больного в вертикальном и горизонтальном положении на спине обнаружение жидкости затрудняется. Оно становится более доступным при латероскопии и латерографии.
После выпадения фибрина отмечается диффузное понижение прозрачности нижне-наружных отделов легочного поля. При образовании плевродиафрагмальных сращений отмечается симптом Вильямса — отставание подвижности купола диафрагмы на больной стороне при глубоком вдохе. Вместе с тем изменяются нормальные контуры диафрагмы: они приобретают нерезкое очертание с многочисленными и неравномерными зубцами, обращенными вверх. При этом наружный и задний реберно-диафрагмальные синусы не расправляются при вдохе. При небольших плеврокостальных фибринозных наслоениях отмечается усиление сосудисто- и соединительнотканного рисунка легкого, что зависит от влияния добавочного поглощающего рентгеновские лучи слоя этих наслоений и мало интенсивных интерстициальных изменений в междольковых перегородках.
При свежих фибринозных наложениях и плевральных сращениях соответственно проекции междолевых щелей видны тонкие одиночные или множественные резко очерченные линейные тени, обычно на уровне III—IV ребер справа. Наслоения в главном междолевом пространстве определяются на боковых снимках грудной клетки в виде одной или двух косорасположенных линейных полосок. По мере рассасывания фибринозного плеврита эти тени исчезают, а после его организации принимают более четкое очертание и перемещаются кверху. При этом они дугообразно изгибаются или приобретают веерообразную форму. При образовании массивных плевральных сращений образуется плеврогенный фиброторакс.
При распознавании сухого плеврита следует иметь в виду, что отнюдь не во всех случаях он обусловлен туберкулезной инфекцией. В течение длительного времени шум трения плевры прослушивается, папример, у больных, перенесших пневмонию. Вот почему при выяснении природы фибринозного плеврита следует учитывать данные о характере и течении основного и прежде всего легочного заболевания, результаты рентгенологических и лабораторных исследований и туберкулиновых проб. В неясных случаях приходится прибегать к туберкулинодиагностике, в частности к диагностической подкожной пробе. При сухих плевритах туберкулезного происхождения при этом иногда повышается температура и появляются другие признаки интоксикации, а вместе с тем усиливается шум трения плевры. Такую общую и очаговую реакцию не удается вызвать у больных неспецифическим сухим плевритом.
А я быстро глянул ( как я смотрю флюшки - время на обдумывание снимка ровно столько, сколько "думает" компьютер, открывши его, а я уже нажал "далее"), и ничего военного не заметил. Если так скрупулезно рассматривать - у каждого 2-го что-нибудь найдем. Интересно будет узнать, заинтересуются ли этим случаем хоть где-нибудь? И конечно - лучший судья - время. Если что-то серьезное - вылезет в ближ. будущем.
Скажу то, что меня не красит- на днях пришел мужчина, у которого год назад я пропустила такую же тень, один к одному по форме, размеру и интенсивности. В этом году-округлая полицикличная тень ок 6 см. Поехал в онкологию. На душе у меня сумрачно
Скажу то, что меня не красит- на днях пришел мужчина, у которого год назад я пропустила такую же тень, один к одному по форме, размеру и интенсивности. В этом году-округлая полицикличная тень ок 6 см. Поехал в онкологию. На душе у меня сумрачно
И я скажу...чуть более 2 мес назад тоже нашел примерно такую же тень....КТ подтвердило ее и нашли еще две в других отделах, а еще перибронхиальную инфильтрацию правого корня...а еще, спустя 2 мес безуспешного лечения туберкулеза - перивичную опухоль левой почки....вот так...
Вчера пациентка доснялась. Наблюдение перехватила врач, смотревшая ее год назад. По ее описанию это пневмония, будет вести через терапевта с контролем. Ваше мнение, если хотите.
Клинику узнал, кашель несколько месяцев. Температура субфебрильная, периодически. Врач принципиальная, доводов не слушает. Ее колокольня на 35 этажей выше...устраивать скандалы не в моих правилах. Моей подписи под этим не будет.
P.S. разница 1 день между 2012 и дополнительными снимками.
Вчера пациентка доснялась. Наблюдение перехватила врач, смотревшая ее год назад. По ее описанию это пневмония, будет вести через терапевта с контролем. Ваше мнение, если хотите.
Наверное весь этот год она курила беломор
особенно правым легким?)
Не ограничивайте свою мысль
Живешь пока учишься
Ecrasez l’infame
Получается что так
Ну и еще скорее всего была пневмония в правом легком, поэтому образовались плевро-диафрагмальные спайки, ничего подозрительного не вижу.
а вот меня весь кортикальный слой в/доли правого легкого смущает...
Не ограничивайте свою мысль
Живешь пока учишься
Ecrasez l’infame
Диафрагма в 3-м межреберье справа?))))...присмотритесь...там субплевральный очаг...
А больную в ОТД...вместе с ее "беломором" и очагом))))
Болезни ног: виды, симптомы, причины, профилактика и лечение
В 3м межреберье действительно очажок, похожий на онкологический
Последние две версии мне ближе (про очаг)
Не ограничивайте свою мысль
Живешь пока учишься
Ecrasez l’infame
Сколько ни приглядывалась - очага не увидела. Есть какое-то снижение позрачности легочной ткани субплеврально в верхней доле, но не знаю ни одной патологии, при которой такое может быть. Может, какой-нибудь визуальный эффект))
В верхней доле правого лёгкого с самого начала очаг НЕ один был. Через год появился инфильтрат субплеврально и за первым ребром неспокойно. Ещё и слева очаги вероятны
Неоднозначно всё
И что это Петрович?)
Не ограничивайте свою мысль
Живешь пока учишься
Ecrasez l’infame
То, что не стыдно послать в ПТД. См. выше).
Неоднозначно всё
Сухой (фибринозный) плеврит справа+плевро-диафрагмальные изменения справа+единичные очаги: tbc? саркоидоз?
Анатолий Петрович
Рентгенологическое исследование для диагностики сухого плеврита практически ничего не дает, однако оно должно осуществляться в обязательном порядке у всех соответствующих больных для выявления возможных изменений в легочной паренхиме или прикорневых лимфоузлах.
Не ограничивайте свою мысль
Живешь пока учишься
Ecrasez l’infame
Выделение этой нозологической формы плеврита в известной мере условно, так как при ней, главным образом в начальной фазе болезни, в плевральной полости всегда содержится в небольшом количестве воспалительная жидкость. Но в этих случаях экссудат быстро рассасывается или свертывается, что способствует образованию фибринозных наложений главным образом на париетальной и реже на висцеральной плевре. В дальнейшем образуются ограниченные или более распространенные сращения, которые лучше можно выявить при торакоскопии, во время операций на легких, при патоморфологическом исследовании умерших от различных причин.
Клинические проявления сухого плеврита разнообразны. Иногда они выражены незначительно или перекрываются симптомами основного заболевания — туберкулеза легких или лимфатических узлов. Но в большинстве случаев развитие такой формы плеврита сопровождается появлением признаков интоксикации, фебрильной и субфебрильной температуры, сухого кашля, а главным образом болей в груди.
Если в воспалительный процесс вовлекается диафрагмальный нерв в области средостения на почве выпотного или слипчивого медиастинального плеврита, то появляются острые, но быстро проходящие коликообразные боли в нижней части грудной клетки, отдающие в живот. Этот симптом связан с судорожным сокращением диафрагмы. Одновременно в этих случаях боли иррадиируют в область сердца и пищевода. При этом можно также обнаружить симптом Гено де Мюсси.
Из-за резких болей, особенно в острой фазе процесса, больной дышит поверхностно и учащенно. Несоответствие между степенью одышки и распространенностью процесса в легких должно вызвать подозрение на плеврит. По мере затихания болезни дыхание становится более глубоким и замедленным. При образовании обширных сращений и фиброторакса одышка бывает постоянной. В этом случае ее причиной являются стойкое и значительное смещение органов средостения, иногда перекручивание всего сердечно-сосудистого пучка, плеврогенный цирроз легкого.
У многих больных болевые ощущения сопровождаются сухим кашлем, который рефлекторно вызывается раздражением нервных окончаний в пораженной плевре. Но этот признак не может быть отнесен только за счет плеврита, если больные одновременно страдают активным туберкулезом легких.
В острой стадии плеврита обращает на себя внимание вынужденное положение больного, который большей частью лежит па здоровой стороне. Соответствующая половина грудной клетки отстает при дыхании. По мере затихания острых явлений эти признаки постепенно исчезают, но они остаются при образовании массивных плевральных сращений и фибротораксе.
Шум трения плевры в некоторых случаях одновременно сопровождается влажными или сухими хрипами. Такой феномен чаще отмечается при кортико-плевральных формах туберкулеза, при которых, помимо шума трения плевры, слышны своеобразные, как бы поверхностно образующиеся крепитирующие или сухие хрипы. Аналогичное явление наблюдается при реактивном воспалении плевры после образования свежих бронхогенных очагов в нижних отделах легких.
В острой или подострой стадии фибринозного плеврита бывают лейкоцитоз (до 11000—12 000), умеренный левый сдвиг ядерных элементов (до 10—12%), уменьшение количества эозинофилов, ускорение РОЭ (до 30—40 мм/ч). По мере рассасывания или организации плеврита эти гематологические сдвиги исчезают.
Рентгенологически в начальной фазе фибринозного плеврита определяется малоинтенсивное затемнение главным образом в нижнем отделе легочного поля за счет скопления экссудата над диафрагмой. Следует подчеркнуть, что при исследовании больного в вертикальном и горизонтальном положении на спине обнаружение жидкости затрудняется. Оно становится более доступным при латероскопии и латерографии.
После выпадения фибрина отмечается диффузное понижение прозрачности нижне-наружных отделов легочного поля. При образовании плевродиафрагмальных сращений отмечается симптом Вильямса — отставание подвижности купола диафрагмы на больной стороне при глубоком вдохе. Вместе с тем изменяются нормальные контуры диафрагмы: они приобретают нерезкое очертание с многочисленными и неравномерными зубцами, обращенными вверх. При этом наружный и задний реберно-диафрагмальные синусы не расправляются при вдохе. При небольших плеврокостальных фибринозных наслоениях отмечается усиление сосудисто- и соединительнотканного рисунка легкого, что зависит от влияния добавочного поглощающего рентгеновские лучи слоя этих наслоений и мало интенсивных интерстициальных изменений в междольковых перегородках.
При свежих фибринозных наложениях и плевральных сращениях соответственно проекции междолевых щелей видны тонкие одиночные или множественные резко очерченные линейные тени, обычно на уровне III—IV ребер справа. Наслоения в главном междолевом пространстве определяются на боковых снимках грудной клетки в виде одной или двух косорасположенных линейных полосок. По мере рассасывания фибринозного плеврита эти тени исчезают, а после его организации принимают более четкое очертание и перемещаются кверху. При этом они дугообразно изгибаются или приобретают веерообразную форму. При образовании массивных плевральных сращений образуется плеврогенный фиброторакс.
При распознавании сухого плеврита следует иметь в виду, что отнюдь не во всех случаях он обусловлен туберкулезной инфекцией. В течение длительного времени шум трения плевры прослушивается, папример, у больных, перенесших пневмонию. Вот почему при выяснении природы фибринозного плеврита следует учитывать данные о характере и течении основного и прежде всего легочного заболевания, результаты рентгенологических и лабораторных исследований и туберкулиновых проб. В неясных случаях приходится прибегать к туберкулинодиагностике, в частности к диагностической подкожной пробе. При сухих плевритах туберкулезного происхождения при этом иногда повышается температура и появляются другие признаки интоксикации, а вместе с тем усиливается шум трения плевры. Такую общую и очаговую реакцию не удается вызвать у больных неспецифическим сухим плевритом.
Не ограничивайте свою мысль
Живешь пока учишься
Ecrasez l’infame
А я быстро глянул ( как я смотрю флюшки - время на обдумывание снимка ровно столько, сколько "думает" компьютер, открывши его, а я уже нажал "далее"), и ничего военного не заметил. Если так скрупулезно рассматривать - у каждого 2-го что-нибудь найдем. Интересно будет узнать, заинтересуются ли этим случаем хоть где-нибудь? И конечно - лучший судья - время. Если что-то серьезное - вылезет в ближ. будущем.
В нашем ПТД заинтересуются, так как динамика отрицательная, а принимают они даже впервые выявленные локальные фиброзы. Думаю это оправдано.
Не ограничивайте свою мысль
Живешь пока учишься
Ecrasez l’infame
Если такое пропускать… жареного петуха ждать недолго.
В вашем ПТД любят туберкулёз. В нашем его не любят и даже слово такое стараются не писать, а пишут разную ахинею, какую подсказывает скудная фантазия.
Неоднозначно всё
Скажу то, что меня не красит- на днях пришел мужчина, у которого год назад я пропустила такую же тень, один к одному по форме, размеру и интенсивности. В этом году-округлая полицикличная тень ок 6 см. Поехал в онкологию. На душе у меня сумрачно
И я скажу...чуть более 2 мес назад тоже нашел примерно такую же тень....КТ подтвердило ее и нашли еще две в других отделах, а еще перибронхиальную инфильтрацию правого корня...а еще, спустя 2 мес безуспешного лечения туберкулеза - перивичную опухоль левой почки....вот так...
Болезни ног: виды, симптомы, причины, профилактика и лечение
Я бы, сравнив "конфигурацию" купола диафрагмы справа, на первом и последнем снимке, однозначно сделал бы "правый боковой"...
сделаем) это пока первая весточка в общем потоке)
Не ограничивайте свою мысль
Живешь пока учишься
Ecrasez l’infame
Вот правильный ответ! Похоже при "бронхите", что-то с правым синусом. А плюс какая-то мелочь справа на верхушке?
Вчера пациентка доснялась. Наблюдение перехватила врач, смотревшая ее год назад. По ее описанию это пневмония, будет вести через терапевта с контролем. Ваше мнение, если хотите.
Не ограничивайте свою мысль
Живешь пока учишься
Ecrasez l’infame
Срочно на КТ, исключать центральное злобное зло с мтс в плевру. Лучше перебдеть, чем потом плохо спать.
А сколько разница между 2012 в начале темы и в конце с обоими боковыми?
"Предоставляя весь смысл и совершенство в распоряжение одного только Бога, вы избавляете себя от бездны хлопот." Джон Уитборн.
Согласен. КТ может решить все сомнения и правильно сделать заключение.
Анатолий Петрович
Клинику узнал, кашель несколько месяцев. Температура субфебрильная, периодически. Врач принципиальная, доводов не слушает. Ее колокольня на 35 этажей выше...устраивать скандалы не в моих правилах. Моей подписи под этим не будет.
P.S. разница 1 день между 2012 и дополнительными снимками.
Не ограничивайте свою мысль
Живешь пока учишься
Ecrasez l’infame
А, Ваше мнение какое коллега?
http://omsktherapya.narod.ru/007.htm
Не ограничивайте свою мысль
Живешь пока учишься
Ecrasez l’infame
Надо понимать плеврит базальный (наддиафрагмальный)?
Хороший вопрос.
То, что помечено белыми стрелками на предыдущих снимках не визуализировалось.
А, как Вам коллега левая верхушка, по сравнению с предыдущими выставленными иллюстрациями?
я про это говорил коллеге, но она считает это поворот и возрастные изменения...
Я думаю это также проявление плеврита. Не исключаю туберкулезной этиологии.
Не ограничивайте свою мысль
Живешь пока учишься
Ecrasez l’infame
Я тоже так думаю.
А коллега Ваша, по всей видимости, так считает так как имеет склонность к гаданию на игральных картах?
И, где эта достойнейшая женщина узрела "поворот"?
не знаю. я не телепат.
Не ограничивайте свою мысль
Живешь пока учишься
Ecrasez l’infame
Про женщих-коллег все надо знать, конечно в допустимых этических пределах.
Есть люди не умеющие признавать свою неправоту.
Не ограничивайте свою мысль
Живешь пока учишься
Ecrasez l’infame
Это один из признаков патологической твердолобости. Консервативное лечение неэффективно.
Динамика за сутки есть, но она небольшая: выпота чуть больше стало.
Неоднозначно всё