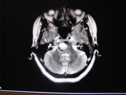
Округлое объёмное образование ствола мозга (моста) с чёткими контурами, высоким ярким сигналом на Т1, Т2 и FLAIR; на Т2 виден уровень жидкость-жидкость. По периферии, заднему и передне-медиальному краю участки полуциркулярной гипоинтенсивности. Думаю о тератодермоиде (эпидермоидная киста).
Да, подтверждать необходимо последовательностями с подавлением сигнала от жира (Fat-saturation). Также такой сигнал может быть при жидкости с высоким содержанием комплексных белков.
поверьте на слово, при использовани программы с жироподавлением интенсивность сигнала не изменилась.По нижнему контуру образования пролеживается зона гетерогенного сигнала с гипоинтенсивным ободком.здесь картинки статичны, а на полном исследовании эта зона очень хорошо видна - кавернома. Поэтому я решила что это подострая стволовая гематома как следствие кровоизлияния из каверномы.
Для кровоизлияния в ствол (оно здесь не маленькое) должна быть соответствующая клиника, довольно тяжелая. А кавернома - это маленькая темная полоска по нижнему контуру?
Тёмная полоска это за счёт продуктов распада гемоглобина, указывает на кровоизлияние... Чисто по картинке-это может быть каверномой, жаль что не опубликованы были срезы с подавлением сигнала от жира, я поэтому и высказался по началу в пользу тератодермоида.
А я думала, что кавернома выглядит на МР как зона низкого сигнала, как сосуды. Хотя наврено в ней скорость кровотока значительно ниже, чем в сифоне или основной артерии.
кавернома имеет очань характерный вид - гетерогенный "сетчатый" характер с гипоинтенсивным кольцом гемосидерина , в них нет участков "быстого" кровтотока , крупных питающих сосудов и дренирующих вен.В даннм случае она очень небольшого размера .кстати очань часто причиной гематом ствола мозга являются срытые ( оккультные)т сосудистые мальформации.
Округлое объёмное образование ствола мозга (моста) с чёткими контурами, высоким ярким сигналом на Т1, Т2 и FLAIR; на Т2 виден уровень жидкость-жидкость. По периферии, заднему и передне-медиальному краю участки полуциркулярной гипоинтенсивности. Думаю о тератодермоиде (эпидермоидная киста).
Let me see...
radiographia.ru
Яркий сигнал от образования на Т1 и Т2 соотвествует жировой ткани?
Да, подтверждать необходимо последовательностями с подавлением сигнала от жира (Fat-saturation). Также такой сигнал может быть при жидкости с высоким содержанием комплексных белков.
Let me see...
radiographia.ru
поверьте на слово, при использовани программы с жироподавлением интенсивность сигнала не изменилась.По нижнему контуру образования пролеживается зона гетерогенного сигнала с гипоинтенсивным ободком.здесь картинки статичны, а на полном исследовании эта зона очень хорошо видна - кавернома. Поэтому я решила что это подострая стволовая гематома как следствие кровоизлияния из каверномы.
А GRE Т2 делали? Кавернома вариант, но не очень типична локализация...
Let me see...
radiographia.ru
Для кровоизлияния в ствол (оно здесь не маленькое) должна быть соответствующая клиника, довольно тяжелая. А кавернома - это маленькая темная полоска по нижнему контуру?
Тёмная полоска это за счёт продуктов распада гемоглобина, указывает на кровоизлияние... Чисто по картинке-это может быть каверномой, жаль что не опубликованы были срезы с подавлением сигнала от жира, я поэтому и высказался по началу в пользу тератодермоида.
Let me see...
radiographia.ru
А я думала, что кавернома выглядит на МР как зона низкого сигнала, как сосуды. Хотя наврено в ней скорость кровотока значительно ниже, чем в сифоне или основной артерии.
кавернома имеет очань характерный вид - гетерогенный "сетчатый" характер с гипоинтенсивным кольцом гемосидерина , в них нет участков "быстого" кровтотока , крупных питающих сосудов и дренирующих вен.В даннм случае она очень небольшого размера .кстати очань часто причиной гематом ствола мозга являются срытые ( оккультные)т сосудистые мальформации.