You are here

КТ ОБП+С Объемное гиперваскулярное образование почки. Почечно-клеточный рак.

Пол пациента: 
Область исследования: 
Методы исследования: 

 

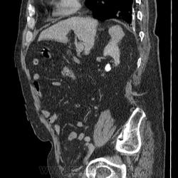
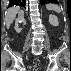
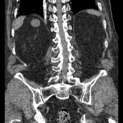
Мужчина 82 года. Отец коллеги с другого отделения. На УЗИ киста почки. Решили сделать КТ. Жалобы на боль в поясничном отделе позвоночника (неудивительно из-за жуткого остеохондроза и м/п грыж). Макрогематурию отрицает. Микрогематурии не выявлено по ОАМ, лишь протеинурия. Кисты подтвердились ну и черт с ними  хуже то, что в верхнем сегменте правой почки похоже ПКР, характеристика контрастирования соответсвует, тем более еще свеж в памяти предыдущий случай. Смущают надпочечники, не "стрельнул" ли в правый mts? А в опухоли гиподенсивный учаток в артериальную фазу - участок некроза, кровоизлияния?

Натив.

Артериальная фаза.

Паренхиматозная фаза.

  • https://radiomed.ru/sites/default/files/styles/case_slider_image/public/user/19376/img-0001-00045.jpg?itok=KuhloIS0
  • https://radiomed.ru/sites/default/files/styles/case_slider_image/public/user/19376/img-0001-00048.jpg?itok=ZpKX6gz2
  • https://radiomed.ru/sites/default/files/styles/case_slider_image/public/user/19376/img-0001-00056_1.jpg?itok=qLlMu73a
  • https://radiomed.ru/sites/default/files/styles/case_slider_image/public/user/19376/img-0001-00071.jpg?itok=969QdljV
  • https://radiomed.ru/sites/default/files/styles/case_slider_image/public/user/19376/img-0001-00080.jpg?itok=z5rg-sYG
  • https://radiomed.ru/sites/default/files/styles/case_slider_image/public/user/19376/img-0002-00001_6.jpg?itok=qYi0odAM
  • https://radiomed.ru/sites/default/files/styles/case_slider_image/public/user/19376/img-0003-00001_8.jpg?itok=7IhdSG6Z
  • https://radiomed.ru/sites/default/files/styles/case_slider_image/public/user/19376/img-0007-00001_7.jpg?itok=XBXAnH4I
  • https://radiomed.ru/sites/default/files/styles/case_slider_image/public/user/19376/img-0008-00001_8.jpg?itok=ADoI2W0j
  • https://radiomed.ru/sites/default/files/styles/case_slider_image/public/user/19376/img-0010-00001_5.jpg?itok=gntRd9nj
  • https://radiomed.ru/sites/default/files/styles/case_slider_image/public/user/19376/img-0012-00001_7.jpg?itok=r6Ry_kg7
  • https://radiomed.ru/sites/default/files/styles/case_slider_image/public/user/19376/img-0014-00001_7.jpg?itok=6nep35Xb
  • https://radiomed.ru/sites/default/files/styles/case_slider_image/public/user/19376/img-0016-00001_6.jpg?itok=xQAoeNvt
  • https://radiomed.ru/sites/default/files/styles/case_slider_image/public/user/19376/img-0018-00001_2.jpg?itok=vNFkl-bO
  • https://radiomed.ru/sites/default/files/styles/case_slider_image/public/user/19376/img-0001-00042_0.jpg?itok=yzHUtakb
  • https://radiomed.ru/sites/default/files/styles/case_slider_image/public/user/19376/img-0001-00045_0.jpg?itok=m102Vnd6
  • https://radiomed.ru/sites/default/files/styles/case_slider_image/public/user/19376/img-0001-00051.jpg?itok=Ayw2jvKH
  • https://radiomed.ru/sites/default/files/styles/case_slider_image/public/user/19376/img-0001-000b55l.jpg?itok=dndHf2NU
  • https://radiomed.ru/sites/default/files/styles/case_slider_image/public/user/19376/img-0001-00059.jpg?itok=gwtfst3P
  • https://radiomed.ru/sites/default/files/styles/case_slider_image/public/user/19376/img-0001-00065.jpg?itok=ELKEF4Gl
  • https://radiomed.ru/sites/default/files/styles/case_slider_image/public/user/19376/img-0001-00071_0.jpg?itok=eHhSBV0J
  • https://radiomed.ru/sites/default/files/styles/case_slider_image/public/user/19376/img-0001-00357.jpg?itok=lA7j-Aya
  • https://radiomed.ru/sites/default/files/styles/case_slider_image/public/user/19376/img-0001-00097.jpg?itok=4Jyj9m0n
  • https://radiomed.ru/sites/default/files/styles/case_slider_image/public/user/19376/img-0002-00001_7.jpg?itok=FjWxEJSI
  • https://radiomed.ru/sites/default/files/styles/case_slider_image/public/user/19376/img-0003-00001_9.jpg?itok=9nS1TPP7
  • https://radiomed.ru/sites/default/files/styles/case_slider_image/public/user/19376/img-0006-00001_6.jpg?itok=Kst6QAOx
  • https://radiomed.ru/sites/default/files/styles/case_slider_image/public/user/19376/img-0007-00001_8.jpg?itok=GaeP3rKn
  • https://radiomed.ru/sites/default/files/styles/case_slider_image/public/user/19376/img-0008-00001_9.jpg?itok=ZS7Yn_dv
  • https://radiomed.ru/sites/default/files/styles/case_slider_image/public/user/19376/img-0009-00001_7.jpg?itok=YIo4D9JV
  • https://radiomed.ru/sites/default/files/styles/case_slider_image/public/user/19376/img-0010-00001_6.jpg?itok=75x2Anb4
  • https://radiomed.ru/sites/default/files/styles/case_slider_image/public/user/19376/img-0011-000n01.jpg?itok=JWB2_vGm
  • https://radiomed.ru/sites/default/files/styles/case_slider_image/public/user/19376/img-0012-00001_8.jpg?itok=IzpAlhqm
  • https://radiomed.ru/sites/default/files/styles/case_slider_image/public/user/19376/img-0013-00001_5.jpg?itok=TZIwvFIf
  • https://radiomed.ru/sites/default/files/styles/case_slider_image/public/user/19376/img-0014-00001_8.jpg?itok=MIJ_KUjU
  • https://radiomed.ru/sites/default/files/styles/case_slider_image/public/user/19376/img-0016-00001_7.jpg?itok=W1EZ1Kmd
  • https://radiomed.ru/sites/default/files/styles/case_slider_image/public/user/19376/img-0018-00001_3.jpg?itok=dmO1Fr3J
  • https://radiomed.ru/sites/default/files/styles/case_slider_image/public/user/19376/img-0020-00001_6.jpg?itok=22jJfZ9E
  • https://radiomed.ru/sites/default/files/styles/case_slider_image/public/user/19376/img-0001-00052_0.jpg?itok=_vZS4W7D
  • https://radiomed.ru/sites/default/files/styles/case_slider_image/public/user/19376/img-0001-00062.jpg?itok=5BWyHXof
  • https://radiomed.ru/sites/default/files/styles/case_slider_image/public/user/19376/img-0001-00083.jpg?itok=tPpkmrI0
  • https://radiomed.ru/sites/default/files/styles/case_slider_image/public/user/19376/img-0001-00093.jpg?itok=n-t7onLt
  • https://radiomed.ru/sites/default/files/styles/case_slider_image/public/user/19376/img-0001-00111.jpg?itok=oXzTJOIZ
  • https://radiomed.ru/sites/default/files/styles/case_slider_image/public/user/19376/img-0002-00001_8.jpg?itok=jRJXBKyh
  • https://radiomed.ru/sites/default/files/styles/case_slider_image/public/user/19376/img-0004-00001_11.jpg?itok=H7D4BJXN
  • https://radiomed.ru/sites/default/files/styles/case_slider_image/public/user/19376/img-0005-00001_7.jpg?itok=Wp7rW_MX
  • https://radiomed.ru/sites/default/files/styles/case_slider_image/public/user/19376/img-0006-00001_7.jpg?itok=RsZK-Bd6
  • https://radiomed.ru/sites/default/files/styles/case_slider_image/public/user/19376/img-0007-00001_9.jpg?itok=qIDBsGVl
  • https://radiomed.ru/sites/default/files/styles/case_slider_image/public/user/19376/img-0010-00001_7.jpg?itok=xd_yJd41
  • https://radiomed.ru/sites/default/files/styles/case_slider_image/public/user/19376/img-0012-00001_9.jpg?itok=wia9W6fD
  • https://radiomed.ru/sites/default/files/styles/case_slider_image/public/user/19376/img-0014-00001_9.jpg?itok=GW4nKp3K
ID:38900
Tatarin's picture
Offline
Last seen: 7 years 11 months ago
Joined: 06.12.2013 - 15:41
Posts: 653

VR

Приложения: 
img_1740.jpgimg_1741.jpgimg_1744.jpgimg_1745.jpg
Вячеслав's picture
Offline
Last seen: 5 years 8 months ago
Joined: 01.04.2010 - 19:56
Posts: 209

Автор случая, Tatarin, здрвст. Если случай верифицирован, то сообщите результаты.СПС.

Было бы хорошо, если бы люди, занимающиеся в КТ, высказали своё мнение по выложеным сканам: кто, что видит. Хотя бы описание краткое.

Tatarin's picture
Offline
Last seen: 7 years 11 months ago
Joined: 06.12.2013 - 15:41
Posts: 653

Почечно-клеточный рак, гистологически - светлоклеточный, степень дифференцировки не помню.

Андрей Юрьевич's picture
Offline
Last seen: 1 month 1 week ago
Joined: 16.11.2008 - 22:16
Posts: 18098

Вячеслав wrote:

...Было бы хорошо, если бы люди, занимающиеся в КТ, высказали своё мнение по выложеным сканам: кто, что видит. Хотя бы описание краткое.

Образование в верхнем полюсе правой почки: гиперденсивное в артериальную фазу, гиподенсовное в венозную и отроченную = почечно-клеточный рак

Андрей Юрьевич

Вячеслав's picture
Offline
Last seen: 5 years 8 months ago
Joined: 01.04.2010 - 19:56
Posts: 209

СПС