You are here

ОГК

Пол пациента: 
Тип патологии: 
Методы исследования: 

мужчина 1983 г.р. в 2013 году получил проникающее ранение грудной клетки слева, отлежал в хирургии и пропал из виду рентген кабинета, выписали видимо без контроля. в общем появился в 2018 для прохождения медосмотра когда надо было устраиваться на работу. и на флюорографе выявили объемное в левом легком. конечно провели КТ, результат позже выложу. а пока какие будут мнения. 

  • 2013 год
  • 2018 год
  • КТ ОГК
  • https://radiomed.ru/sites/default/files/styles/case_slider_image/public/user/18537/2018.jpg?itok=eDu99ab8
  • https://radiomed.ru/sites/default/files/styles/case_slider_image/public/user/18537/2018_bok.jpg?itok=hdIfEIOU
  • https://radiomed.ru/sites/default/files/styles/case_slider_image/public/user/18537/img_0187.jpg?itok=Zrjc7uwk
  • https://radiomed.ru/sites/default/files/styles/case_slider_image/public/user/18537/img_0188.jpg?itok=Y2w6Spoe
  • https://radiomed.ru/sites/default/files/styles/case_slider_image/public/user/18537/img_0189.jpg?itok=SP8boTT-
ID:76190
Верификация: 
Андрей Борисович's picture
Offline
Last seen: 6 years 3 months ago
Joined: 25.08.2015 - 07:05
Posts: 317

Учитывая анамнез, я думаю, что это посттравматические фиброзные изменения

 

Daniel''s picture
Offline
Last seen: 3 months 2 days ago
Joined: 27.06.2013 - 22:21
Posts: 2210

Андрей Борисович wrote:

Учитывая анамнез, я думаю, что это посттравматические фиброзные изменения

 

в 18 году? с таким ровным контуром по боковой?

Игорь Иванович's picture
Offline
Last seen: 3 years 11 months ago
Joined: 23.01.2010 - 14:56
Posts: 3695

Смотрю по телефону, частично колабированное левое лёгкое, последствия того ранения.

NIL's picture
NIL
Offline
Last seen: 1 month 2 days ago
Joined: 25.11.2013 - 20:50
Posts: 18208

Как  вариант -посттравматическая грыжа диафрамы.


"Слушай всех, прислушивайся к немногим, решай сам".©

ROI_888's picture
Offline
Last seen: 7 years 4 days ago
Joined: 17.04.2017 - 17:15
Posts: 1140

NIL wrote:

Как  вариант -посттравматическая грыжа диафрамы.

+1, но широкое основание

салфетка?

Daniel''s picture
Offline
Last seen: 3 months 2 days ago
Joined: 27.06.2013 - 22:21
Posts: 2210

NIL wrote:

Как  вариант -посттравматическая грыжа диафрамы.

браво! уместно ли в таком случае называть ее липомой или это просто грыжа (а в мешке сальник?)?

ROI_888's picture
Offline
Last seen: 7 years 4 days ago
Joined: 17.04.2017 - 17:15
Posts: 1140

Классное наблюдение. Приходилось слышать, что сальником это не может называться.

По формированию чем-то напоминает пробку от шампанского после изъятия из бутылки.

Agr_Ai's picture
Offline
Last seen: 5 days 17 hours ago
Joined: 02.09.2014 - 14:10
Posts: 1394

Daniel' wrote:

NIL wrote:

Как  вариант -посттравматическая грыжа диафрамы.

браво! уместно ли в таком случае называть ее липомой или это просто грыжа (а в мешке сальник?)?

Липомой точно не уместно. Посттравматическая грыжа, содержимое- большой сальник, вы правы.

Катенёв Валентин Львович's picture
Offline
Last seen: 7 years 2 months ago
Joined: 22.03.2008 - 22:15
Posts: 54876

Андрей Борисович wrote:

Учитывая анамнез, я думаю, что это посттравматические фиброзные изменения

С какой такой тихой радости?

Катенёв Валентин Львович's picture
Offline
Last seen: 7 years 2 months ago
Joined: 22.03.2008 - 22:15
Posts: 54876

В 2013 году был диагностирован гидропневмоторакс?

Daniel''s picture
Offline
Last seen: 3 months 2 days ago
Joined: 27.06.2013 - 22:21
Posts: 2210

Катенёв Валентин Львович wrote:

В 2013 году был диагностирован гидропневмоторакс?

вопрос интересный, легочный рисунок прослеживается до плащевых отделов,  пневоторакса нет, а вот коллапс доли вполне мог быть. точно уже не скажу, архивный снимок.

Daniel''s picture
Offline
Last seen: 3 months 2 days ago
Joined: 27.06.2013 - 22:21
Posts: 2210

Agr_Ai wrote:

Daniel' wrote:

NIL wrote:

Как  вариант -посттравматическая грыжа диафрамы.

браво! уместно ли в таком случае называть ее липомой или это просто грыжа (а в мешке сальник?)?

Липомой точно не уместно. Посстравматическая грыжа, содержимое- большой сальник, вы правы.

теоретически может быть его ущемление и в последующем некроз? никогда не сталкивался с таким случаем.

Катенёв Валентин Львович's picture
Offline
Last seen: 7 years 2 months ago
Joined: 22.03.2008 - 22:15
Posts: 54876

Это горизонтальный уровень "жидкости", или как?

Если уровень, то где?

 

Приложения: 
2013_83toraks.gorizont.jpg
Катенёв Валентин Львович's picture
Offline
Last seen: 7 years 2 months ago
Joined: 22.03.2008 - 22:15
Posts: 54876

Это экссудат (линия Демуазо), или как?

 

Приложения: 
2013_83toraks.vypot_.jpg
Катенёв Валентин Львович's picture
Offline
Last seen: 7 years 2 months ago
Joined: 22.03.2008 - 22:15
Posts: 54876

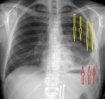
Это контур чего (желтые стрелки)?

Приложения: 
2013_83toraks._kray.jpg
Daniel''s picture
Offline
Last seen: 3 months 2 days ago
Joined: 27.06.2013 - 22:21
Posts: 2210

я думаю желтые стрелки указывают на край коллабированной доли легкого, а жидкость ни что иное как кровь. а данных за пневмоторакс не нахожу.

Катенёв Валентин Львович's picture
Offline
Last seen: 7 years 2 months ago
Joined: 22.03.2008 - 22:15
Posts: 54876

Daniel' wrote:

я думаю желтые стрелки указывают на край коллабированной доли легкого, а жидкость ни что иное как кровь. а данных за пневмоторакс не нахожу.

Интересно, какой доли?

Катенёв Валентин Львович's picture
Offline
Last seen: 7 years 2 months ago
Joined: 22.03.2008 - 22:15
Posts: 54876

Daniel' wrote:

я думаю желтые стрелки указывают на край коллабированной доли легкого, а жидкость ни что иное как кровь. а данных за пневмоторакс не нахожу.

Кровь, что, перестала быть жидкостью?

Dr.Yllich's picture
Offline
Last seen: 1 year 5 months ago
Joined: 01.05.2011 - 22:52
Posts: 1196

Daniel' wrote:

Катенёв Валентин Львович wrote:

В 2013 году был диагностирован гидропневмоторакс?

вопрос интересный, легочный рисунок прослеживается до плащевых отделов,  пневоторакса нет, а вот коллапс доли вполне мог быть. точно уже не скажу, архивный снимок.

А я считаю, что годропневмоторакс был в 2013 году! Не вижу легочного рисунка слева, а вижу признаки организации (выпота или крови), многокамерность. Можно ли узнать - на какой день после ранения сделаны эти снимки?

С уважением. Ильич.

X-Ray13's picture
Offline
Last seen: 1 year 3 months ago
Joined: 30.01.2014 - 21:41
Posts: 1199

Вот мой с таким же анамнезом. https://radiomed.ru/cases/45666-flg-2 

На КТ написали - образование с плотностью жира. 

Daniel''s picture
Offline
Last seen: 3 months 2 days ago
Joined: 27.06.2013 - 22:21
Posts: 2210

Dr.Yllich wrote:

Daniel' wrote:

Катенёв Валентин Львович wrote:

В 2013 году был диагностирован гидропневмоторакс?

вопрос интересный, легочный рисунок прослеживается до плащевых отделов,  пневоторакса нет, а вот коллапс доли вполне мог быть. точно уже не скажу, архивный снимок.

А я считаю, что годропневмоторакс был в 2013 году! Не вижу легочного рисунка слева, а вижу признаки организации (выпота или крови), многокамерность. Можно ли узнать - на какой день после ранения сделаны эти снимки?

в понедельник на работе на АРМ увеличу фрагмент снимка и выложу чтоб виден был легочный рисунок  на всем протяжении. повторюсь: не знаю и уже не смогу узнать что было в 2013 году. т.к. это просто архивный снимок. а пациент появился только сегодня и я его впервые вижу, выписки у него тоже с собой нет. по ватсапу списался с хирургом который в отделении работает, даже он его не помнит. про ранение пациент сам рассказал и показал шрамы на теле. многокамерность тоже вижу, думаю не петли ли кишечкика тогда выпали в грыжевой мешок. 

Daniel''s picture
Offline
Last seen: 3 months 2 days ago
Joined: 27.06.2013 - 22:21
Posts: 2210

Катенёв Валентин Львович wrote:

Daniel' wrote:

я думаю желтые стрелки указывают на край коллабированной доли легкого, а жидкость ни что иное как кровь. а данных за пневмоторакс не нахожу.

Кровь, что, перестала быть жидкостью?

ни в коем случае, только уточнил характер жидкости по моему мнению.

Daniel''s picture
Offline
Last seen: 3 months 2 days ago
Joined: 27.06.2013 - 22:21
Posts: 2210

X-Ray13 wrote:

Вот мой с таким же анамнезом. https://radiomed.ru/cases/45666-flg-2 

На КТ написали - образование с плотностью жира. 

примерно у меня также написали в кт заключении, только писали про липому. не согласившись с этим мнением, решил выставить случай здесь.

Mine's picture
Offline
Last seen: 6 years 1 month ago
Joined: 14.06.2017 - 23:15
Posts: 245

Катенёв Валентин Львович wrote:

Это горизонтальный уровень "жидкости", или как?

Если уровень, то где?

 

В кишечнике.

Mine's picture
Offline
Last seen: 6 years 1 month ago
Joined: 14.06.2017 - 23:15
Posts: 245

Катенёв Валентин Львович wrote:

Это экссудат (линия Демуазо), или как?

 

Скорее всего пневмоторакс на который наслаивается грыжевое содержимое из брюшной полости.

Катенёв Валентин Львович's picture
Offline
Last seen: 7 years 2 months ago
Joined: 22.03.2008 - 22:15
Posts: 54876

Mine wrote:

Катенёв Валентин Львович wrote:

Это экссудат (линия Демуазо), или как?

 

Скорее всего пневмоторакс на который наслаивается грыжевое содержимое из брюшной полости.

Значит, "грыжа" есть?

Катенёв Валентин Львович's picture
Offline
Last seen: 7 years 2 months ago
Joined: 22.03.2008 - 22:15
Posts: 54876

Mine wrote:

Катенёв Валентин Львович wrote:

Это горизонтальный уровень "жидкости", или как?

Если уровень, то где?

 

В кишечнике.

Что, чаша Клойбера?

И.Бондаренко's picture
Offline
Last seen: 2 days 20 hours ago
Joined: 13.09.2011 - 22:55
Posts: 9208

А дырку в диафрагме куда уберём?

Mine's picture
Offline
Last seen: 6 years 1 month ago
Joined: 14.06.2017 - 23:15
Posts: 245

Катенёв Валентин Львович wrote:

Mine wrote:

Катенёв Валентин Львович wrote:

Это экссудат (линия Демуазо), или как?

 

Скорее всего пневмоторакс на который наслаивается грыжевое содержимое из брюшной полости.

Значит, "грыжа" есть?

От чего же нет?

Mine's picture
Offline
Last seen: 6 years 1 month ago
Joined: 14.06.2017 - 23:15
Posts: 245

Катенёв Валентин Львович wrote:

Mine wrote:

Катенёв Валентин Львович wrote:

Это горизонтальный уровень "жидкости", или как?

Если уровень, то где?

 

В кишечнике.

Что, чаша Клойбера?

Можно и так сказать.

Daniel''s picture
Offline
Last seen: 3 months 2 days ago
Joined: 27.06.2013 - 22:21
Posts: 2210

обещанный фрагмент снимка 2013 года, легочный рисунок обеднен, но он есть.

Приложения: 
medvedev_sergey_petrovich-2021.jpg
Игорь Ким's picture
Offline
Last seen: 1 year 5 months ago
Joined: 17.10.2014 - 17:30
Posts: 4672

Интересно, а линия Демуазо( имеющая место быть в 2013г) и гидропневмоторакс( свободный гидроторакс) одновременно имеют место быть? Я не встречал.

Daniel''s picture
Offline
Last seen: 3 months 2 days ago
Joined: 27.06.2013 - 22:21
Posts: 2210

где вы тут все пневмоторакс то видите?

Игорь Ким's picture
Offline
Last seen: 1 year 5 months ago
Joined: 17.10.2014 - 17:30
Posts: 4672

Daniel' wrote:

где вы тут все пневмоторакс то видите?

Я его не вижу, я вижу л. Демуазо 2013г. Это вопрос к Вашей дискуссии.

Mine's picture
Offline
Last seen: 6 years 1 month ago
Joined: 14.06.2017 - 23:15
Posts: 245

Daniel' wrote:

где вы тут все пневмоторакс то видите?

Приложения: 
65.jpg
Daniel''s picture
Offline
Last seen: 3 months 2 days ago
Joined: 27.06.2013 - 22:21
Posts: 2210

ясно, вот о чем все пишут, я то посчитал это жидкостью, теперь уже не разобраться что произошло в те 2013 года (жидкость ли это распластанная по грудной клетке с формированием лини Демуазо или незначительный пневмторакс). Суть этой демонстрации сводилась к грыже, что не часто встречается. всем спасибо за участие.

Игорь Ким's picture
Offline
Last seen: 1 year 5 months ago
Joined: 17.10.2014 - 17:30
Posts: 4672

Когда автор говорит "спасибо", он заканчивает ветку.  Ветка действительно интересная, не часто увидишь. Спасибо.

Р.s.Хотел уточнится ( не у Вас), а у тех, кто одновременно видит л. Демуазо и пневмогидроторакс. Спасибо.

ROI_888's picture
Offline
Last seen: 7 years 4 days ago
Joined: 17.04.2017 - 17:15
Posts: 1140

Пневмоторакс в 2013г. был, первоначальные стрелочки к ребрам не обязательно край легкого, жидкость да, имеет косую границу, можно ли ее называть линией Дамуазо?  - не стал бы утверждать.

Приложения: 
65_0.jpg