You are here

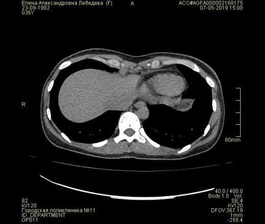
Образование, нарост на ребра грудной клетки слева. Узи видит, КТ нет.

Пол пациента: 
Методы исследования: 

Добрый день,

36 лет, Женский.

Прошу Вас проконсультировать меня по результатам КТ нароста на ребре грудной клетки.

Нарост пульпируется и болит. Появилась тахикардия в покое. Сердце проверила. Норма.

Узи показало уплотнение ребра грудной клетки  слева. КТ прилагаю.

Что это может быть?

Заранее благодарю.

 

С уважением, Лебедева Елена

 

Компьютерная томография ребра грудной клетки слева

  • image00001
Консультация ID:82604
AttachmentSize
Image icon agfa_log.png10.36 KB
Цель публикации: 
И.Бондаренко's picture
Offline
Last seen: 22 hours 59 min ago
Joined: 13.09.2011 - 22:55
Posts: 9208

А зачем на 26 дней поставили? Результат только в конце месяца получите. Хотелось бы знать какое ребро и в к аком иесте. Ничего плохого не вижу. 

NIL's picture
NIL
Offline
Last seen: 1 month 2 weeks ago
Joined: 25.11.2013 - 20:50
Posts: 18208

У автора первая публикация. Поэтому время сокрытия комментов сократила своею волей.


"Слушай всех, прислушивайся к немногим, решай сам".©

Елена Лебедева's picture
Offline
Last seen: 1 year 1 month ago
Joined: 02.09.2019 - 11:02
Posts: 8

И.Бондаренко wrote:

А зачем на 26 дней поставили? Результат только в конце месяца получите. Хотелось бы знать какое ребро и в к аком иесте. Ничего плохого не вижу. 

 

 

Добрый день, ребро слева 2 и 3 грудной клетки. Ближе к хрещу. Не знала как лучше поставить)

Спасибо)

Миргалина's picture
Offline
Last seen: 3 weeks 1 day ago
Joined: 06.08.2015 - 20:04
Posts: 2882

Елена, а нельзя выложить это исследование неппрерывной серией и в костном окне?

Елена Лебедева's picture
Offline
Last seen: 1 year 1 month ago
Joined: 02.09.2019 - 11:02
Posts: 8

Добрый день, снимки выложила все вместе, а как сделать в костном окне незнаю.

Андрей Юрьевич's picture
Offline
Last seen: 2 weeks 1 day ago
Joined: 16.11.2008 - 22:16
Posts: 18101

Елена Лебедева wrote:

Добрый день, снимки выложила все вместе, а как сделать в костном окне незнаю.

Очень просто: "скопируйте и заархивируйте исследование с DVD-диска, разместите его на любом файлообменнике и дайте на него ссылку в своей публикации",

- остальное сами сделакм.

Андрей Юрьевич

Миргалина's picture
Offline
Last seen: 3 weeks 1 day ago
Joined: 06.08.2015 - 20:04
Posts: 2882

Елена Лебедева wrote:

Добрый день, снимки выложила все вместе, а как сделать в костном окне незнаю.

Но это тоже не подходит. Исследование фрагментарно записано, "перепрыгивает" большим шагом, пропуская многие слои. Андрей Юрьевич дал Вам хороший совет, если хотите получить консультацию. 

И ещё: УЗИ и КТ-это всего лишь разные методы визуализации картины, поэтому зачастую дополняют друг друга. Иногда бывает и так, что УЗИ "видит" то, что не видит КТ. Иногда такая патология просто просматривается, т.к. всё внимание доктора сосредоточено на лёгких и органах средостения. Про добавочную долю непарной вены , как вариант развития, Вам написали? Её тоже не всегда выносят в заключение. Про синдром Титце не упоминали?

Елена Лебедева's picture
Offline
Last seen: 1 year 1 month ago
Joined: 02.09.2019 - 11:02
Posts: 8

Миргалина wrote:

Елена Лебедева wrote:

Добрый день, снимки выложила все вместе, а как сделать в костном окне незнаю.

Но это тоже не подходит. Исследование фрагментарно записано, "перепрыгивает" большим шагом, пропуская многие слои. Андрей Юрьевич дал Вам хороший совет, если хотите получить консультацию. 

И ещё: УЗИ и КТ-это всего лишь разные методы визуализации картины, поэтому зачастую дополняют друг друга. Иногда бывает и так, что УЗИ "видит" то, что не видит КТ. Иногда такая патология просто просматривается, т.к. всё внимание доктора сосредоточено на лёгких и органах средостения. Про добавочную долю непарной вены , как вариант развития, Вам написали? Её тоже не всегда выносят в заключение. Про синдром Титце не упоминали?

 

Добрый день, Спасибо. 

https://yadi.sk/d/CqQf1_jbjapZTA

Андрей Юрьевич's picture
Offline
Last seen: 2 weeks 1 day ago
Joined: 16.11.2008 - 22:16
Posts: 18101

Елена Лебедева wrote:

Добрый день, ребро слева 2 и 3 грудной клетки. Ближе к хрещу. Не знала как лучше поставить)

Спасибо)

Никаких наростов не видно, вот картинка,.

Приложения: 
3d_vr_-_lebedeva_elena_aleksandrovna_36y_-_07.05.2019_15_00_37_-_body_1.0_vol._0000.jpg

Андрей Юрьевич

ivb's picture
ivb
Offline
Last seen: 5 months 22 hours ago
Joined: 06.07.2018 - 16:28
Posts: 1079

То же ничего страшного, кроме фрагментарного обызвествления хрящей ребер, что не является патологией, не нашел.

Приложения: 
41.jpg42.jpg43.jpg
Елена Лебедева's picture
Offline
Last seen: 1 year 1 month ago
Joined: 02.09.2019 - 11:02
Posts: 8

Спасибо Вам большое.

Елена Лебедева's picture
Offline
Last seen: 1 year 1 month ago
Joined: 02.09.2019 - 11:02
Posts: 8

ivb wrote:

То же ничего страшного, кроме фрагментарного обызвествления хрящей ребер, что не является патологией, не нашел.

Добрый день, спасибо большое за Ваш ответ. Подаскажите пожалуйста возможно ли увеличение фрагментарного обызвествления хрящей ребер в моем случае? Потому что оно выросло в размере. Раньше надо было прощупывать а сейчас достаточно приложить руку и уплотнение выпирает.

Заранее благодарю.

Елена Лебедева's picture
Offline
Last seen: 1 year 1 month ago
Joined: 02.09.2019 - 11:02
Posts: 8

ivb wrote:

То же ничего страшного, кроме фрагментарного обызвествления хрящей ребер, что не является патологией, не нашел.

Добрый день, спасибо большое за Ваш ответ. Подаскажите пожалуйста возможно ли увеличение фрагментарного обызвествления хрящей ребер в моем случае? Потому что оно выросло в размере. Раньше надо было прощупывать а сейчас достаточно приложить руку и уплотнение выпирает.

Заранее благодарю.

Елена Лебедева's picture
Offline
Last seen: 1 year 1 month ago
Joined: 02.09.2019 - 11:02
Posts: 8

Андрей Юрьевич wrote:

Елена Лебедева wrote:

Добрый день, ребро слева 2 и 3 грудной клетки. Ближе к хрещу. Не знала как лучше поставить)

Спасибо)

Никаких наростов не видно, вот картинка,.

 

Добрый день, спасибо большое за Ваш ответ.