You are here

ТЭЛА мелких ветвей?

Пол пациента: 
Тип патологии: 
Методы исследования: 

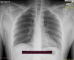
Муж. 28 л. Тромбоз глубоких вен голени/бедра подострый. Боли в грудной клетке с френикус симптомом. Можно ли на снимке разглядеть признаки ТЭЛА мелких ветвей?

ID:88856
Цель публикации: 
Миргалина's picture
Offline
Last seen: 21 hours 55 min ago
Joined: 06.08.2015 - 20:04
Posts: 2879

Нет, нельзя. Даже по нативной КТ можно лишь заподозрить по косвенным признакам.  Но всё равно нужна КТ-ангиография. На представленной Р-грамме и этих признаков нет.

И.Бондаренко's picture
Offline
Last seen: 2 days 14 hours ago
Joined: 13.09.2011 - 22:55
Posts: 9206

Миргалина wrote:

Нет, нельзя. Даже по нативной КТ можно лишь заподозрить по косвенным признакам.  Но всё равно нужна КТ-ангиография. На представленной Р-грамме и этих признаков нет.

+1

Махамбетчин Мурат Максутович's picture
Offline
Last seen: 1 month 3 weeks ago
Joined: 14.07.2012 - 10:44
Posts: 1205

Есть ли у нас на сайте врачи УЗИ сосудов конечности?

С этим больным очень интересная история: на 7 сутки от появления отека голени и болей, при УЗИ тромбы не обнаружены, еще через 7 суток, когда отек голени незначительно уменьшился повторное УЗИ в другом городе отчетливое видит полный оклюзирующий тромбоз 2-х недельной давности. Как такое возможно? Первое УЗИ выполнялось в специализированном сосудистом центре...

Махамбетчин Мурат Максутович's picture
Offline
Last seen: 1 month 3 weeks ago
Joined: 14.07.2012 - 10:44
Posts: 1205

Нет ли мелких круглых затемнений как "грозди винограда" в в центре очерченного круга?

Линия межплеральная справа как то нетипично расположена, не так ли?

Приложения: 
19.10.jpg
Миргалина's picture
Offline
Last seen: 21 hours 55 min ago
Joined: 06.08.2015 - 20:04
Posts: 2879

Махамбетчин Мурат Максутович wrote:

Нет ли мелких круглых затемнений как "грозди винограда" в в центре очерченного круга?

Линия межплеральная справа как то нетипично расположена, не так ли?

Обведённое жёлтым-сосуды, на мой взгляд. А "нетипичная межплевральная линия" - вероятно, скиалогически отображённая главная междолевая. Меня больше смущает параллельно идущая рёбрам линия в верхнем поле справа. Как малый пневмоторакс выглядит. Может и "френикус-симптом" этим объяснить можно? А не ТЭЛА?

Махамбетчин Мурат Максутович's picture
Offline
Last seen: 1 month 3 weeks ago
Joined: 14.07.2012 - 10:44
Posts: 1205

Галина Анатольевна рад Вашему участию!

Слева тоже есть линия затемнения менее выраженная, я расценил как утолщение плевры. "Френикус-симптом" обычно бывает при раздражении диафрагмального нерва (при холецистите, крови под диафрагмой). При пневмотораксе этого симптома не наблюдал. Я умозрительно предположил, что предполагаемый участок инфаркта легкого расположен на участках, соприкасающихся с диафрагмой.... 

Махамбетчин Мурат Максутович's picture
Offline
Last seen: 1 month 3 weeks ago
Joined: 14.07.2012 - 10:44
Posts: 1205

Коллеги, работавших в ковидном центре, говорят, что острые боли в грудной клетке с иррадиацией  в шею без видимых изменений на рентгенограмме типичное проявление ковида...

В сосудистом отделении, куда планируется госпитализировать больного, вероятно будут делать КТ ангиографию, где выясниться генез острых болей в грудной клетке (от ТГВ или ковида).

Коллега, общавшиеся с пациентами, перенесшие ковид, говорит о различных поражениях при ковид, начиная с ЦНС и периферической НС до внутренних органов - легкие, почки, кишечник, и тромбозами конечностей... поэтому сейчас трудно однозначно говорить что у пациента:

1. ТГВ с ТЭЛА мелких ветвей 

2. ковид, вызвавший ТГВ + ковидный сегментарный тромбоз легких

3. ТГВ  и ковид самостоятельные патологии

И.Бондаренко's picture
Offline
Last seen: 2 days 14 hours ago
Joined: 13.09.2011 - 22:55
Posts: 9206

К вопросу об окклюзии вен: нельзя чётко сказать какой давности тромб стоит в просвете вены. А в какой вене нашли окклюзию?

Миргалина's picture
Offline
Last seen: 21 hours 55 min ago
Joined: 06.08.2015 - 20:04
Posts: 2879

Махамбетчин Мурат Максутович wrote:

Галина Анатольевна рад Вашему участию!

Слева тоже есть линия затемнения менее выраженная, я расценил как утолщение плевры. "Френикус-симптом" обычно бывает при раздражении диафрагмального нерва (при холецистите, крови под диафрагмой). При пневмотораксе этого симптома не наблюдал. Я умозрительно предположил, что предполагаемый участок инфаркта легкого расположен на участках, соприкасающихся с диафрагмой.... 

Спасибо! Я тоже всегда с удовольствием и интересом участвую в Ваших темах. 
И вот сегодня попался такой случай. Просто показать. 

Приложения: 
51b3a49c-db32-4b2a-9f30-40e60dca990e.jpegad302c60-6f33-4e24-bb0e-94f28cb6b847.jpege448a0ec-8e3e-4181-bfd6-6e82cd501896.jpeg33473503-3a9a-471a-9ea9-60a6cdeb3b04.jpeg3011331a-8b83-4697-815b-404584239d5f.png
Миргалина's picture
Offline
Last seen: 21 hours 55 min ago
Joined: 06.08.2015 - 20:04
Posts: 2879

А на Р-грамме картина будет очень похожей с Вашей

Махамбетчин Мурат Максутович's picture
Offline
Last seen: 1 month 3 weeks ago
Joined: 14.07.2012 - 10:44
Posts: 1205

Миргалина wrote:

А на Р-грамме картина будет очень похожей с Вашей

Согласен,с Вами. 

Но склонен считать, что у нашего пациента болевой синдром связан с более серьезной патологией. При изолированном пневмотораксе боль в грудной клетке бывает редко, чаще при напряженном или тотальном пневмотораксе. И боль нелокализованная. У нашего пациента локализация в области правой реберной дуги и ему логически соотвествует френикус симптом (боль в шее, надплечье, где проходит диафрагмальный нерв).

Конечно, клиника бывает самой неожиданной, нехарактерной установленной патологии, поэтому все возможно. 

Махамбетчин Мурат Максутович's picture
Offline
Last seen: 1 month 3 weeks ago
Joined: 14.07.2012 - 10:44
Posts: 1205

И.Бондаренко wrote:

К вопросу об окклюзии вен: нельзя чётко сказать какой давности тромб стоит в просвете вены. А в какой вене нашли окклюзию?

18.10.21 при УЗИ тромб оценен как двухнедельной давности. Тромб оклюзирующий все глубокие вены голени и бедра.

 

Миргалина's picture
Offline
Last seen: 21 hours 55 min ago
Joined: 06.08.2015 - 20:04
Posts: 2879

Махамбетчин Мурат Максутович wrote:

Миргалина wrote:

А на Р-грамме картина будет очень похожей с Вашей

Согласен,с Вами. 

Но склонен считать, что у нашего пациента болевой синдром связан с более серьезной патологией. При изолированном пневмотораксе боль в грудной клетке бывает редко, чаще при напряженном или тотальном пневмотораксе. И боль нелокализованная. У нашего пациента локализация в области правой реберной дуги и ему логически соотвествует френикус симптом (боль в шее, надплечье, где проходит диафрагмальный нерв).

Конечно, клиника бывает самой неожиданной, нехарактерной установленной патологии, поэтому все возможно. 

Я тоже с Вами согласна. Вам виднее, Вы же рядом с пациенткой. Но не могу не сказать, что у наших пациентов спонтанный пневмоторакс, или возникший п/ медицинских манипуляций ( бронхоскопия, пункция, напр.) жалобы идентичны. Иногда клиницисты п/них просят быстренько посмотреть на скопии. И как привило, причину этих внезапных болей мы и видим в виде пневмоторакса. И даже очень малого.

Махамбетчин Мурат Максутович's picture
Offline
Last seen: 1 month 3 weeks ago
Joined: 14.07.2012 - 10:44
Posts: 1205

Я с удовольствием расположил бы здесь КТ этого больного с пневмотораксом, подтверждающих предположение Галины Анатольевны, т.к. она права в том, что боль при любом пневмотораксе может симмулировать различную патологию. Но и это история с ТВГ и, вероятно, вызванное им поражение легкого, надеюсь тоже будет хорошим опытом.

Теперь хотелось бы знать мнение коллег по нижеследующим срезам. Полный диком файл так и не научился распологать в публикации.

Махамбетчин Мурат Максутович's picture
Offline
Last seen: 1 month 3 weeks ago
Joined: 14.07.2012 - 10:44
Posts: 1205

Я с удовольствием расположил бы здесь КТ этого больного с пневмотораксом, подтверждающих предположение Галины Анатольевны, т.к. она права в том, что боль при любом пневмотораксе может симмулировать различную патологию. Но и это история с ТВГ и, вероятно, вызванное им поражение легкого с описанным выше болевым синдромом, надеюсь тоже будет хорошим опытом.

Теперь хотелось бы знать мнение коллег по нижеследующим срезам. Полный диком файл так и не научился распологать в публикации.

Приложения: 
img-0005-00001.jpgimg-0006-00001.jpgimg-0007-00001.jpgimg-0008-00001.jpgimg-0004-00001.jpgimg-0003-00001.jpgimg-0002-00001.jpgimg-0001-00001.jpgimg-0009-00001.jpgimg-0010-00001.jpgimg-0011-00001.jpgimg-0012-00001.jpgimg-0013-00001.jpgimg-0014-00001.jpgimg-0015-00001.jpgimg-0016-00001.jpgimg-0017-00001.jpgimg-0018-00001.jpgimg-0019-00001.jpgimg-0020-00001.jpgimg-0021-00001.jpgimg-0022-00001.jpgimg-0023-00001.jpg
Миргалина's picture
Offline
Last seen: 21 hours 55 min ago
Joined: 06.08.2015 - 20:04
Posts: 2879

Это тот же пациент? По представленным картинкам складывается впечатление об инфаркт-пневмонии, как следствие ТЭЛА. Если выполнить КТА, то можно и доказать мою единственную версию

Махамбетчин Мурат Максутович's picture
Offline
Last seen: 1 month 3 weeks ago
Joined: 14.07.2012 - 10:44
Posts: 1205

Миргалина wrote:

Это тот же пациент? По представленным картинкам складывается впечатление об инфаркт-пневмонии, как следствие ТЭЛА. Если выполнить КТА, то можно и доказать мою единственную версию

КТ срезы этого же пациента (тема открыта по нему).

На диск записали только КТ, хотя, судя по расказу пациента выполнили и КТА ... не знаю, сможет ли он получить запись КТА, но ее результаты должны быть отражены в выписке, которую он скоро предоставит.

По Вашему опыту такая инфаркт-пневмония как долго рассасывается, какие может иметь последствия?

Махамбетчин Мурат Максутович's picture
Offline
Last seen: 1 month 3 weeks ago
Joined: 14.07.2012 - 10:44
Posts: 1205

Пациент принес выписку.

Клинический диагноз: Острый тромбоз бедренно-подколенного сегмента левой нижней конечности.

Осложнение: Острая тромбоэмболия легочной артерии нижней доли справа. Инфаркт пневмония справа.

КТ грудного сегмента с контрастированием от 25.10.2021: КТ картина тромбоэмболии сегментарной ветви нижнедолевой легочной артерии справа. Инфаркт пневмония консалидированной паренхимимы 9 сегмента правого легкого.

Миргалина's picture
Offline
Last seen: 21 hours 55 min ago
Joined: 06.08.2015 - 20:04
Posts: 2879

 

По Вашему опыту такая инфаркт-пневмония как долго рассасывается, какие может иметь последствия?

[/quote]

Рассасывается долго, ведь нарушена трофика. Мало того, учитывая довольно большой объём поражения, можно и нужно ожидать деструкцию ( зона некроза в центральных зонах участков консолидации уже обозначилась).

Махамбетчин Мурат Максутович's picture
Offline
Last seen: 1 month 3 weeks ago
Joined: 14.07.2012 - 10:44
Posts: 1205

Миргалина wrote:

По Вашему опыту такая инфаркт-пневмония как долго рассасывается, какие может иметь последствия?

Рассасывается долго, ведь нарушена трофика. Мало того, учитывая довольно большой объём поражения, можно и нужно ожидать деструкцию ( зона некроза в центральных зонах участков консолидации уже обозначилась).

[/quote]

Т.е.,есть вероятность развития абсцесса?

Миргалина's picture
Offline
Last seen: 21 hours 55 min ago
Joined: 06.08.2015 - 20:04
Posts: 2879

Махамбетчин Мурат Максутович wrote:

Миргалина wrote:

По Вашему опыту такая инфаркт-пневмония как долго рассасывается, какие может иметь последствия?

Рассасывается долго, ведь нарушена трофика. Мало того, учитывая довольно большой объём поражения, можно и нужно ожидать деструкцию ( зона некроза в центральных зонах участков консолидации уже обозначилась).

Т.е.,есть вероятность развития абсцесса?

[/quote]

Не обязательно абсцесса, просто деструктивной пневмонии. Многое зависит и от самого организма, его реактивности, состояния иммунной системы, наличия других хронических заболеваний. Но то, что любой организм пытается отграничить воспалительный процесс в любом органе- это факт. Пациент молод, надеемся, что быстро восстановится. К тому же он находится в руках опытных и неравнодушных докторов.

Махамбетчин Мурат Максутович's picture
Offline
Last seen: 1 month 3 weeks ago
Joined: 14.07.2012 - 10:44
Posts: 1205

Миргалина wrote:

Махамбетчин Мурат Максутович wrote:

Миргалина wrote:

По Вашему опыту такая инфаркт-пневмония как долго рассасывается, какие может иметь последствия?

Рассасывается долго, ведь нарушена трофика. Мало того, учитывая довольно большой объём поражения, можно и нужно ожидать деструкцию ( зона некроза в центральных зонах участков консолидации уже обозначилась).

Т.е.,есть вероятность развития абсцесса?

Не обязательно абсцесса, просто деструктивной пневмонии. Многое зависит и от самого организма, его реактивности, состояния иммунной системы, наличия других хронических заболеваний. Но то, что любой организм пытается отграничить воспалительный процесс в любом органе- это факт. Пациент молод, надеемся, что быстро восстановится. К тому же он находится в руках опытных и неравнодушных докторов.

[/quote]

Хорошо.

Спасибо за участие!

Махамбетчин Мурат Максутович's picture
Offline
Last seen: 1 month 3 weeks ago
Joined: 14.07.2012 - 10:44
Posts: 1205

Галина Анатольевна, здравствуйте!

Тяжи в нижней доли левого легкого на фронтальных срезах КТ не свидетельствует ли об двухстороннем поражении и возможности ковидной этиологии этих изменений?

 

 

Миргалина's picture
Offline
Last seen: 21 hours 55 min ago
Joined: 06.08.2015 - 20:04
Posts: 2879

Махамбетчин Мурат Максутович wrote:

Галина Анатольевна, здравствуйте!

Тяжи в нижней доли левого легкого на фронтальных срезах КТ не свидетельствует ли об двухстороннем поражении и возможности ковидной этиологии этих изменений?

 

 

Здравствуйте, Мурат Максутович!  Я не стала в прошлый раз говорить об этих двусторонних линейных уплотнениях, но если Вы их заметили, то скажу, что расцениваю их как субсегментарные ателектазы, т.н ."дисковидные" ателектазы, которые часто предшествуют или сопровождают ТЭЛА/ инфаркт-пневмонию. Дифференцировать с ковидными/ ( если он действительно имел место- то скорее -постковидными изменениями) в свете эпидобстановки, конечно, не помешает. Как, кстати, дела у нашего пациента в настоящее время? КТ - контроль хотелось бы увидеть. Ну или услышать от Вас.

Миргалина's picture
Offline
Last seen: 21 hours 55 min ago
Joined: 06.08.2015 - 20:04
Posts: 2879

Вернулась, чтобы сказать, что они видны во всех реконструкциях: аксиальной, корональной и сагиттальной.

Миргалина's picture
Offline
Last seen: 21 hours 55 min ago
Joined: 06.08.2015 - 20:04
Posts: 2879

Вернулась, чтобы сказать, что они видны во всех реконструкциях: аксиальной, корональной и сагиттальной.

Миргалина's picture
Offline
Last seen: 21 hours 55 min ago
Joined: 06.08.2015 - 20:04
Posts: 2879

Вернулась, чтобы сказать, что они видны во всех реконструкциях: аксиальной, корональной и сагиттальной.

Махамбетчин Мурат Максутович's picture
Offline
Last seen: 1 month 3 weeks ago
Joined: 14.07.2012 - 10:44
Posts: 1205

Больной чувствует себя удовлетворительно. Температуры нет. Боли в грудной клетке редкие. На левой н/конечности чулки со 2-й степенью компрессии. Принимает ксарелту 20 мг ежедневно.

В этой истории есть следующие факты:

- несоответствие нейропатии малоберцового нерва (слабость тыльного сгибания стопы и участки понижения чувствительности кожи на голени и стопе) уровню грыжи в пояснице

- появление тромбоза глубоких вен у молодого человека без каких-либо на то предпосылок

- тяжистые изменения в нижней доле и левого легкого (инфаркт пневмония в правом легком)

В связи с этим возникают вопросы:

- Может ли периферическая нейропатия малоберцового нерва, тромбоз глубоких вен голени и изменения в легких - быть все проявлением одного заболевания - ковидом?

- Анализ на иммуноглобулины G, M, и на S-белок вакцины могут ли помочь ответить на первый вопрос?

- Можно ли по титру перечисленных иммуноглобулинов и их соотношениям отличить реакцию организма на прививку (апрель/май) от заболевания ковидом (сентябрь/октябрь)?