Мурат Максутович, давно не заглядывали к нам " на огнёк"! Клинка невральгии, вероятно по причине субплеральной локализации инфильтрации лёгочной ткани ( плевра реагирует на инфильтрацию лёгочной ткани). Отсутствие температуры и кашля, не исключает инфильтративный туберкулёз лёгких, который надо либо подвердить, либо исключить у фтизиатров.
Мурат Максутович, давно не заглядывали к нам " на огнёк"! Клинка невральгии, вероятно по причине субплеральной локализации инфильтрации лёгочной ткани ( плевра реагирует на инфильтрацию лёгочной ткани). Отсутствие температуры и кашля, не исключает инфильтративный туберкулёз лёгких, который надо либо подвердить либо исключить у фтизиатров.
Здравствуйте Александр!
Искал Ваше отчество, оказалось очень много рентгенологов с Вашей фамилией и именем?
У нас забрали политравму, сложных случаев стало значительно меньше.
Мурат Максутович, давно не заглядывали к нам " на огнёк"! Клинка невральгии, вероятно по причине субплеральной локализации инфильтрации лёгочной ткани ( плевра реагирует на инфильтрацию лёгочной ткани). Отсутствие температуры и кашля, не исключает инфильтративный туберкулёз лёгких, который надо либо подвердить либо исключить у фтизиатров.
Здравствуйте Александр!
Искал Ваше отчество, оказалось очень много рентгенологов с Вашей фамилией и именем?
У нас забрали политравму, сложных случаев стало значительно меньше.
Кроме туберкулеза о чем можно ещё думать?
Лучше без отчества, а вообще Иванович. Где-то 120 000 человек в России имеют такую фамилию и имя, сколько из них рентгенологов, доподленно не известно ( может быть Вы, порядок этих цифр скажете?). А версию туберкулёза Вы не допускаете? Травмы точно не было в анамнезе?( контузия лёгкого??) В принципе, любая инфильтрация лёгочной ткани может дать такую картину. Вы считаете, что диагностика травмы органов грудной клетки сложнее, чем другие типы патологии?
Лучше без отчества, а вообще Иванович. Где-то 120 000 человек в России имеют такую фамилию и имя, сколько из них рентгенологов, доподленно не известно ( может быть Вы, порядок этих цифр скажете?). А версию туберкулёза Вы не допускаете? Травмы точно не было в анамнезе?( контузия лёгкого??) В принципе, любая инфильтрация лёгочной ткани может дать такую картину. Вы считаете, что диагностика травмы органов грудной клетки сложнее, чем другие типы патологии?
У пациентки травмы не было. Характерных признаков для типичной пневмонии нет, нельзя исключать туберкулез, как пишите Вы. А ещё какой вид нетипичной инфекционной (бактериальной, вирусной, грибковой) и неинфекционной пневмонии может быть по данной картине?
Диагностика травм грудной клетки как и любой другой патологии бывает и простой, и сложной....
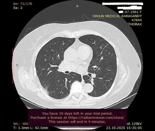
Картина не характерна ни для пневмонии, ни для карциномы. Есть локальное утолщение плевры. Если невралгия справа, можно предположить плеврит сухой. В любом случае надо провести лечение и повторить исследование. На туберкулез не похоже.
Это очень не похоже на туберкулез, покопался бы в анамнезе, а как этот пациент вообще оказался в зоне вашего внимания?, мы рассуждаем на основе одного кадра или размещена ссылка на дайкомы?
На представленном кадре легочный ствол широковат (чисто визуально), не рассматривали возможность ТЭЛА?
Здравствуйте, уважаемый Андрей Юрьевич!
Ссылки на дайком не давал. Сам из дайкомв выбрал 7 срезов из всего 10-15 срезов, которые охватывают патологию.
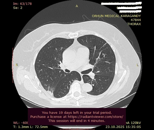
Может ли данный очаг (ТЭЛА?): "В верхней доле (S2) правого легокого, субплеврально по задней поверхности, участок уплотнения инфильтративного характера, плотностью 9HU, неправильной формы, размерами 3,2х0,7х4,8 см, с нечеткими неровными контурами, с признаками частичной консолидации легочной ткани" - вызвать то расширение легочного ствола, который Вы заметили?
На представленном кадре легочный ствол широковат (чисто визуально), не рассматривали возможность ТЭЛА?
Здравствуйте, уважаемый Андрей Юрьевич!
Ссылки на дайком не давал. Сам из дайкомв выбрал 7 срезов из всего 10-15 срезов, которые охватывают патологию.
Может ли данный очаг (ТЭЛА?): "В верхней доле (S2) правого легокого, субплеврально по задней поверхности, участок уплотнения инфильтративного характера, плотностью 9HU, неправильной формы, размерами 3,2х0,7х4,8 см, с нечеткими неровными контурами, с признаками частичной консолидации легочной ткани" - вызвать то расширение легочного ствола, который Вы заметили?
Добрый день, уважаемый Мурат Максутович! Если коротко, то - может. А если описать данные изображения, как "участок субплевральной консолидации с нечеткими контурами, основанием прилежащей к плевре, перифокальное "матовое стекло", наличие бронхососудистых тяжей", так рука сама собой выведет "КТ-картина в большей степени соответствует ТЭЛА и инфаркту легкого (инфаркт-пневмонии), рек УЗИ вен нижних конечностей, КТ ОГК с в/в КУ), но вся эта стройная картина также может как подтвердиться, так и рассыпаться в результате дообследования
МР невралгия и данная Р-картина могут быть случайным совпадением.
Если рассуждать в таком ключе, что невралгия и пневмония могут возникать от переохлаждения и сопоставить с тем, что вовлечена плевра (а от неё, соответственно, боль), то вполне укладывается в закономерность.
Кашля/температуры нет, потому что, как я уже писал, предполагаю процесс не острый, а в стадии неполного разрешения, а то и вовсе по типу организующейся пневмонии - видим подтягивание плевры в сторону нижней доли.
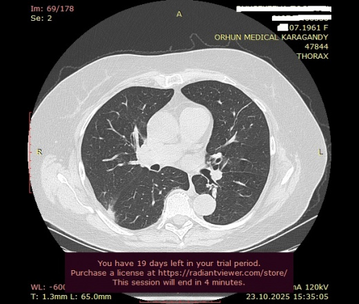
Второй версией предполагал инфарктную пневмонию, так как тоже отметил расширенный легочной ствол (опять же, визуально, так как замерить нет возможности без DICOM), но меня смутило то, что при ТЭЛА всё-таки прослеживается принадлежность изменений к сегментам, а здесь на границе междолевой плевры, что более характерно для воспалительных изменений.
Тем не менее, не исключаю возможное поражение двух сегментов при ТЭЛА + (в пользу этой версии) ТЭЛА также нередко сопровождает боль.
А корреляция между площадью поражения легочной ткани и расширением легочного ствола вовсе не обязательна.
Это очень не похоже на туберкулез, покопался бы в анамнезе, а как этот пациент вообще оказался в зоне вашего внимания?, мы рассуждаем на основе одного кадра или размещена ссылка на дайкомы?
Теоретически, любая форма туберкулёза лёгких должна сопровождаться наличием очагов в лёгочной ткани, чего не видим на представленных сканах , что косвенно продтверждает версию Андрея Юрьевича, о неубедительных данных за туберкулёзный процесс. Какие-то подвижки в плане подтверждения или исключения туберкулёзного процесс у пацентки есть?
Коллеги, а слева ближе к корню тоже свежая консолидация?
Нет, это анатомические структуры (сосуды).
Скажите, Вы провели дообследование на ТЭЛА?
Еще раз подробно собрали анамнез: Уточнили, вместе с острой болью была одышка (важный признак ТЭЛА). Имеющаяся у пациентки ранее одышка сердечного генеза отличается тем, что появляется при большей нагрузке - подъеме по лестнице, а эта острая одышка на минимальную нагрузку держалась два дня. Д-димер повысился в 10 раз. И самое главное - ровно два года назад мы обсуждали здесь КТ этой пациентки, где очаг был слева и все единодушно пришли к мнению, что это ТЭЛА. https://radiomed.ru/cases/59089-fibroz-ili-novoobrazovanie
Тогда пациентка не госпитализировалась, перенесла на ногах.
Я намеренно не привел полный анамнез пациентки, чтобы он не влиял при восприятие КТ срезов. КТ с контрастированием возможна излишняя нагрузка, ещё у пациентки аллергия на йодсодержащие контрасты. Доступные по месту жительства врачи намерены просто лечить пневмонию антибиотиками, ни по КТ, ни клинически нет мысли о ТЭЛА. То есть без сторонней помощи оптимальный подход по лечению пациентки сомнителен.
У пациентки два сына с верифицированной S-протеин дефицитной тромбофилией и неоднократными непровоцированными тромбозами и флебитами вен н/конечностей. Один из сыновей перенес верифицированный на КТ с контрастированием ТЭЛА.
У неё самой 3 случая непровоцированного тромбоза вен верхних (2023 г) и нижних (1997, апрель 2025 г) конечностей. В 2023 году это осложнилось ТЭЛА н/доли левого легкого (ссылка вверху). Стоит ли искать тромб в н/конечностях в этот раз - не знаю, потому что причина тромбофилия и её лечение скорее не измениться от данных УЗИ.
5.11.25 больная прошла УЗИ сосудов н/конечности: окклюзивный тромбоз подколенной вены до уровня щели коленного сустава без признаков флотации тромботических масс на момент осмотра, субокклюзионный тромбоз берцовых вен. Сегментарная ТЭЛА подтвержден сосудистым хирургом. Назначена ксарелто по 15 мг 2 раза в день 1 мес, затем по 20 мг 6 мес. Консультация гематолога на предмет уточнения вида тромбофилии.
Мурат Максутович, давно не заглядывали к нам " на огнёк"! Клинка невральгии, вероятно по причине субплеральной локализации инфильтрации лёгочной ткани ( плевра реагирует на инфильтрацию лёгочной ткани). Отсутствие температуры и кашля, не исключает инфильтративный туберкулёз лёгких, который надо либо подвердить, либо исключить у фтизиатров.
Здравствуйте Александр!
Искал Ваше отчество, оказалось очень много рентгенологов с Вашей фамилией и именем?
У нас забрали политравму, сложных случаев стало значительно меньше.
Кроме туберкулеза о чем можно ещё думать?
Лучше без отчества, а вообще Иванович. Где-то 120 000 человек в России имеют такую фамилию и имя, сколько из них рентгенологов, доподленно не известно ( может быть Вы, порядок этих цифр скажете?). А версию туберкулёза Вы не допускаете? Травмы точно не было в анамнезе?( контузия лёгкого??) В принципе, любая инфильтрация лёгочной ткани может дать такую картину. Вы считаете, что диагностика травмы органов грудной клетки сложнее, чем другие типы патологии?
Здравствуйте!
В диф.диагностику: субплевральная аденокарцинома.
Анатолий Петрович
У пациентки травмы не было. Характерных признаков для типичной пневмонии нет, нельзя исключать туберкулез, как пишите Вы. А ещё какой вид нетипичной инфекционной (бактериальной, вирусной, грибковой) и неинфекционной пневмонии может быть по данной картине?
Диагностика травм грудной клетки как и любой другой патологии бывает и простой, и сложной....
Вначале полечить пневмонию. После контроль.
+1
Возможно даже, что это пневмония в стадии неполного разрешения, поэтому нет острых клинических проявлений.
Клиники пневмонии нет (ни температуры, ни кашля), небольшое повышение СРБ - 16 и СОЭ -28) - показаний к антибиотикам нет
Здравствуйте!
Плотность ткани в области инфильтрации 9 HU, что не характерно для опухоли.
У Вас был опыт наблюдения подобного течения аденокарциномы?
Картина не характерна ни для пневмонии, ни для карциномы. Есть локальное утолщение плевры. Если невралгия справа, можно предположить плеврит сухой. В любом случае надо провести лечение и повторить исследование. На туберкулез не похоже.
Это очень не похоже на туберкулез, покопался бы в анамнезе, а как этот пациент вообще оказался в зоне вашего внимания?, мы рассуждаем на основе одного кадра или размещена ссылка на дайкомы?
Андрей Юрьевич
На представленном кадре легочный ствол широковат (чисто визуально), не рассматривали возможность ТЭЛА?
Андрей Юрьевич
Здравствуйте, уважаемый Андрей Юрьевич!
Ссылки на дайком не давал. Сам из дайкомв выбрал 7 срезов из всего 10-15 срезов, которые охватывают патологию.
Может ли данный очаг (ТЭЛА?): "В верхней доле (S2) правого легокого, субплеврально по задней поверхности, участок уплотнения инфильтративного характера, плотностью 9HU, неправильной формы, размерами 3,2х0,7х4,8 см, с нечеткими неровными контурами, с признаками частичной консолидации легочной ткани" - вызвать то расширение легочного ствола, который Вы заметили?
МР невралгия и данная Р-картина могут быть случайным совпадением.
Зри в корень!
Добрый день, уважаемый Мурат Максутович! Если коротко, то - может. А если описать данные изображения, как "участок субплевральной консолидации с нечеткими контурами, основанием прилежащей к плевре, перифокальное "матовое стекло", наличие бронхососудистых тяжей", так рука сама собой выведет "КТ-картина в большей степени соответствует ТЭЛА и инфаркту легкого (инфаркт-пневмонии), рек УЗИ вен нижних конечностей, КТ ОГК с в/в КУ), но вся эта стройная картина также может как подтвердиться, так и рассыпаться в результате дообследования
Андрей Юрьевич
Если рассуждать в таком ключе, что невралгия и пневмония могут возникать от переохлаждения и сопоставить с тем, что вовлечена плевра (а от неё, соответственно, боль), то вполне укладывается в закономерность.
Кашля/температуры нет, потому что, как я уже писал, предполагаю процесс не острый, а в стадии неполного разрешения, а то и вовсе по типу организующейся пневмонии - видим подтягивание плевры в сторону нижней доли.
Второй версией предполагал инфарктную пневмонию, так как тоже отметил расширенный легочной ствол (опять же, визуально, так как замерить нет возможности без DICOM), но меня смутило то, что при ТЭЛА всё-таки прослеживается принадлежность изменений к сегментам, а здесь на границе междолевой плевры, что более характерно для воспалительных изменений.
Тем не менее, не исключаю возможное поражение двух сегментов при ТЭЛА + (в пользу этой версии) ТЭЛА также нередко сопровождает боль.
А корреляция между площадью поражения легочной ткани и расширением легочного ствола вовсе не обязательна.
Коллеги, а слева ближе к корню тоже свежая консолидация?
Нет, это анатомические структуры (сосуды).
Скажите, Вы провели дообследование на ТЭЛА?
Теоретически, любая форма туберкулёза лёгких должна сопровождаться наличием очагов в лёгочной ткани, чего не видим на представленных сканах , что косвенно продтверждает версию Андрея Юрьевича, о неубедительных данных за туберкулёзный процесс. Какие-то подвижки в плане подтверждения или исключения туберкулёзного процесс у пацентки есть?
Еще раз подробно собрали анамнез: Уточнили, вместе с острой болью была одышка (важный признак ТЭЛА). Имеющаяся у пациентки ранее одышка сердечного генеза отличается тем, что появляется при большей нагрузке - подъеме по лестнице, а эта острая одышка на минимальную нагрузку держалась два дня. Д-димер повысился в 10 раз. И самое главное - ровно два года назад мы обсуждали здесь КТ этой пациентки, где очаг был слева и все единодушно пришли к мнению, что это ТЭЛА. https://radiomed.ru/cases/59089-fibroz-ili-novoobrazovanie
Тогда пациентка не госпитализировалась, перенесла на ногах.
Уважаемые коллеги, благодарю всех за участие!
Андрей Юрьевичу отдельный респект!
Я намеренно не привел полный анамнез пациентки, чтобы он не влиял при восприятие КТ срезов. КТ с контрастированием возможна излишняя нагрузка, ещё у пациентки аллергия на йодсодержащие контрасты. Доступные по месту жительства врачи намерены просто лечить пневмонию антибиотиками, ни по КТ, ни клинически нет мысли о ТЭЛА. То есть без сторонней помощи оптимальный подход по лечению пациентки сомнителен.
У пациентки два сына с верифицированной S-протеин дефицитной тромбофилией и неоднократными непровоцированными тромбозами и флебитами вен н/конечностей. Один из сыновей перенес верифицированный на КТ с контрастированием ТЭЛА.
У неё самой 3 случая непровоцированного тромбоза вен верхних (2023 г) и нижних (1997, апрель 2025 г) конечностей. В 2023 году это осложнилось ТЭЛА н/доли левого легкого (ссылка вверху). Стоит ли искать тромб в н/конечностях в этот раз - не знаю, потому что причина тромбофилия и её лечение скорее не измениться от данных УЗИ.
Направили к сосудистому хирургу.
Спасибо, за интересное наблюдение! Жаль, что изменился профиль вашей клиники и Вы реже стали появляться на этом сайте!
Рад помочь, уважаемый Мурат Максутович, на да, при аллергии на йод диагностика только косвенными методами: ЭКГ, Эхо-КГ
Андрей Юрьевич
Мне жаль, что оказался неверным ход моей диагностической мысли.
А за случай спасибо. Есть, что взять на заметку.
5.11.25 больная прошла УЗИ сосудов н/конечности: окклюзивный тромбоз подколенной вены до уровня щели коленного сустава без признаков флотации тромботических масс на момент осмотра, субокклюзионный тромбоз берцовых вен. Сегментарная ТЭЛА подтвержден сосудистым хирургом. Назначена ксарелто по 15 мг 2 раза в день 1 мес, затем по 20 мг 6 мес. Консультация гематолога на предмет уточнения вида тромбофилии.
На ногах ни отека, ни болей нет....