You are here

Двусторонняя аденопатия с локальным «остеопорозом» в области крестца

Пол пациента: 
Методы исследования: 

Название случая «Двусторонняя аденопатия с локальным «остеопорозом» в области крестца».

Уважаемые коллеги!

Я, с большой благодарностью, приму любые советы и рекомендации по данному представленному случаю, ибо ситуация с данным молодым человеком «зашла в тупик».


Пациент С., м, 1984 г.р.

Направлен на исследование по рекомендации областного онкологического диспансера.

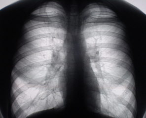
Цифровое стандартное флюорографическое профилактическое исследование (проведено на цифровом флюорографе «Ренекс – Флюоро»). На цифровых флюорограммах, произведенных в прямой, правой и левой боковых проекциях с обеих сторон определяется синдром двусторонней аденопатии. С обеих сторон определяется резкое увеличение и гомгенизация тени корней за счет резко гиперплазированных, в основном, бронхопульмональных лимфатических узлов с довольно чёткими, ровными контурами. Структура тени однородная. На фоне гиперплазированных лимфатических узлов чётко дифференцируются просветы главных бронхов.

Иллюстрации 1, 2, 3.

1
1
2.
2.
3
3

 

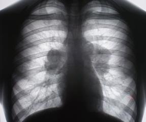
«Поднят архив». Пациент «проходил» флюорографию в 2007 году два раза – первый в январе, как «профилактическую», в июле месяце – при поступлении на работу. Флюорограммы представлены в виде иллюстраций 4, 5.

4
4
5
5

 

Рентгенологическое исследование проведено по стандартной методике (на РДК на 3 рабочих места – «Вироматик».

Произведено томографическое исследование органов грудной полости – иллюстрации в прикрепленном файле.

Иллюстрация 1 – срез 7 см.

Иллюстрация 2 – срез 9 см.

Иллюстрация 3 – фрагмент среза 9 см. – в подмышечном субсегменте явления пневмонита.

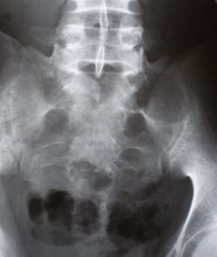
По рекомендации областного онкологического диспансера проведена рентгенография поясничного отдела позвоночника – со стороны поясничного отдела позвоночника патологических изменений не выявлено.

Произведена рентгенография таза. На обзорной рентгенограмме таза (иллюстрация № 6)

6
6

 

имеет место незаращение дужки 1 крестцового позвонка. Определяется остеопороз в девой половине крестца, преимущественно на уровне 1 и 2 крестцовых позвонков. Местами костные трабекулы вообще не дифференцируются. Произведено томографическое исследование – иллюстрации в прикрепленном файле.

Иллюстрация 4 – фрагмент зоны остеопороза.

Иллюстрация 5 – «патологический процесс» в виде участка деструкции костной ткани «захватывает» левую половину крестца на уровне 1,2 и частично 3 позвонков, основание верхнего суставного отростка, местами с полным «лизисом» костной ткани.

Иллюстрация 6 – фрагмент томограммы «с увеличением».

Иллюстрация 7, 8 – срез с «увеличенным фрагментом».

Иллюстрация 9. 10 – срез с «увеличенным фрагментом».

Анамнез заболевания.

Молодой человек, 1984 года рождения после увольнения из армии, решил поступить на работу в УВД. При прохождении комиссии в поликлинике УВД жалоб не предъявляет. Профилактическая цифровая флюорография органов грудной полости (по месту жительства) – патологических изменений не выявлено. При осмотре ЛОР – был обнаружен уплотненный подчелюстной лимфатический узел. Пациент был направлен в областной онкологический диспансер.

Выписка из диспансера. Находился под наблюдением в ГУЗ «Х» областной онкологический диспансер с 19.07.2007 года. 25.09.2007 г. установлен диагноз: заболевание подъязычной слюнной железы справа ст. 1У, кл. гр. П Т4 N2 М0.

ЦИТОЛОГИЯ. От 25.09.2007 г.: Рак вероятнее всего из слюнной железы.

ГИСТОЛОГИЯ. 21040 от 4.10.2007 г. – умеренно дифференцированная аденокарцинома.

ИГХ № 971 от 10.10.2007 г. – комплексы низкодифференцированного рака, вероятно рак железистого генеза.

Локальный статус. Правая половина языка инфильтрирована опухолью, исходящей из тканей дна полости рта, язык ограничено подвижен (в прикрепленном файле, под №№ 11 и 12 фотографии на настоящее время). На шее справа конгломерат лимфоузлов более 6 см.

С 25.09.2007 г. по 22.10.2007 г. проведен курс химиолучевой терапии, СОД = 30 Гр. На очаг и шейные лимфоузлы, ПХТ – цисплатин 100 мг., 5 FU 2250 мг.

С 15.11.2007 г. по 20.12.2007 г. второй курс химиолучевой терапии, СОД=56 Гр., ПХТ – цисплатин 100 мг., доксорубицин 80 мг., ифосфомид 8 г.

С 9.01.2008 по 25.01.2008 г. находился в лучевом отделении, где при дообследовании, при рентгенографии органов грудной полости от 10.01.2008 г. выявлено образование в правом лёгком с полостью распада до полутора см., в средостении увеличены бронхопульсональные лимфатические узлы. УЗИ печени от 10.01.2008 г. – очаговое образование в печени до 4 см. СКТ грудной полости от 21.01.2008 г. – на серии снимков полостное образование в правом лёгком ?. Консультирован фтизиатрами и торакальными хирургами.

Анализ крови от 17.01.2008 г. Нв 113 г/л, лейкоциты 3,8 Х 10 (9), СОЭ 55 мм./ч.

Бронхоскопия от 14.01.08 г. – выраженный эндобронхит, увеличение бронхопульмональных узлов. Мазок из бронхов на БК – не обнаружен. Пролиферация и деструкция цилиндрического эпителия.

Пациент направляется в РОНЦ им. Блохина, г. Москва, на консультацию для решения вопроса о дальнейшей тактике лечения.

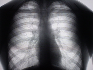
Рентгенологическое исследование, выполненное в апреле месяце 2008 г. выявило в грудной полости двустороннюю аденопатию за счет гиперплазии бронхо – пуцльмональных лимфатических узлов. Слева в области подмышечного сегмента нежное снижение прозрачности легочной ткани по типу «нежного пневмонита». Рентгенологических данных за объёмный процесс и полостное образование не выявлено. Выявлены изменения в крестце.

При осмотре пациент пониженного питания (с его слов и со слов матери «он всегда был худощавым»). Кожные покровы слегка желтушные. Слева по ходу грудино-ключично-сосцевидной мышцы пальпируется единичный плотноватый лимфатический узел величиной с горошину. Область, где ранее определялся на шее справа конгломерат лимфоузлов более 6 см. нет никаких изменений. На передней грудной стенке на уровне средней трети грудины определяется незначительное покраснение и припухлость мягкоэлластической консистенции.

Иллюстрация № 7.

7
7

Поездка в г. Москву, в РОНЦ им. Н.Н. Блохина ничего не дала. Диагноз до сих пор «открыт».

По-этому я и обращаюсь к коллегам за помощью. Могут ли такие изменения быть при лимфогранулематозе?

Данные предоставил Катенёв Валентин Львович, г. Бирюч Белгородской области. МУЗ «Красногвардейская центральная районная больница», зав. рентгенологическим отделением.

AttachmentSize
Image icon 138.27 KB
Image icon 2.31.33 KB
Image icon 333.9 KB
Image icon 436.64 KB
Image icon 535.87 KB
Image icon 636.98 KB
Image icon 732.69 KB
Microsoft Office document icon Прикрепленный файл.96.5 KB
Евгений Магонов's picture
Offline
Last seen: 3 weeks 2 days ago
Joined: 07.03.2008 - 15:28
Posts: 1273

Валентин Львович!

А почему пациенту не проводили КТ?

Я думаю, это исследование ответило бы на многие вопросы.

Добрый админ

Катенёв Валентин Львович's picture
Offline
Last seen: 7 years 5 months ago
Joined: 22.03.2008 - 22:15
Posts: 54876

Здравствуйте!

Спасибо за комментарий. Дело в том, что 21.01.2008 г. на базе областного противотуберкулёзного диспансера, данному пациенту было проведено СКТ. Было выявлено полостное образование в правом лёгком под вопросом. Когда пациент находился "у нас", после производства рентгенограмм и томограмм, на которых в легочной ткани, кроме участка "пневмонита" никакого объёмного образования или полостного образования обнаружено не было. При разговоре с пациентом он сказал, что на диске у него есть запись этого изображения (СКТ). После просмотра "диска", я убедился, что СКТ было проведено "впустую". Изображения срезов настолько "мерзкое", что представляет собой "светло - серую" массу, на которой вообще не дифференцируются анатомические образования.

С уважением В. Катенёв

Анатолий Клиновский's picture
Offline
Last seen: 17 years 11 months ago
Joined: 23.05.2008 - 21:48
Posts: 3

Я думаю что здесь Саркоидоз ВГЛУ.

Катенёв Валентин Львович's picture
Offline
Last seen: 7 years 5 months ago
Joined: 22.03.2008 - 22:15
Posts: 54876

Спасибо за комментарий.  Как привязать к саркоидозу изменения в крестце. А как Вы думаете по поводу лимфогранулематоза (преимущественно медиастинальная форма), ибо при нем изменения в костной ткани аналогичного характера могут быть.

С уавжением В. Катенёв.

helenmar's picture
Offline
Last seen: 8 years 10 months ago
Joined: 23.03.2008 - 12:27
Posts: 291

Не слишком ли много всего на одного молодого парня? Несмотря на данные гистологического исследования, выставленный диагноз рака слюнной железы вызывает сомнения. К тому же бронхопульмональная группа л/у не связана с процессом в полости рта. С моей точки зрения, патологический процесс обусловлен изменениями со стороны лимфатической системы, вероятнее всего одна из форм неходжкинской лимфомы. Описанная динамика со стороны шейных л/у после ПХТ в сочетании с лучевой терапией этому не противоречит. Хорошо бы исследовать пальпируемый л/узел.

Делай, что должно, и будь, что будет.

Катенёв Валентин Львович's picture
Offline
Last seen: 7 years 5 months ago
Joined: 22.03.2008 - 22:15
Posts: 54876

Спасибо Вам за комментарий!

Ко мне данный пациент попал с диагнозом уже установленного рака слюнной железы, с метастазами во ВГЛУ, с цито -и гистологией, приведенной выше. Нами фактически была конститирована двустороняя аденопатия, при исследованиии ОГК, на которое был направлен пациент из онко - диспансера и выявлены изменения при помощи линейной томографии в крестце. При разговоре с пациентом и мамой, кроме приведенного выше было выяснено, что при госпитализации в ОД, у пациента на шее справа был узел величиной с кулак, который "буквально исчез" после первых сеансов рентгенотерапии. Было выяснено, что у пациента постоянный субфебрилитет и субъективные жалобы появились только после курса рентгенотерапии, и эти жалобы, по всей видимости, связаны с проведенной рентгенотерапией. Как то подсознательно мелкал и не давал покоя диагноз "Лимфогранулемато". В своё время профессор Галина Ивановна Володина зав. каф рентгенологии Казанского ГИДУВа, базировавшейся на базе республиканского онко-диспансера, демонстрировала нам несколько аналогичных больных, делая акцент, что в не ясных случаях, именно "с лимфогранулематозом" проведение рентгенотерапии дает отличные результаты.

Еще раз спасибо Вам за комментарий. С уважением В. Катенёв.

Катенёв Валентин Львович's picture
Offline
Last seen: 7 years 5 months ago
Joined: 22.03.2008 - 22:15
Posts: 54876

А, что посоветуют уважаемые коллеги через 9 лет после публикации "случая"?