Ребёнок, переведён к нам в клинику из другой (маленькой) больницы с диагнозом: пневмония. Почему-то не "вставляются" снимки, хотя закачиваются. Залил в прикреплённые файлы.
Операций, как я понимаю, не было? Если правильно понимаю тогда "пойдём дальше".
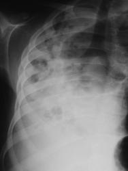
Во всей видимости речь идет о врожденной патологии, которую Воль-Эбштейн "обзывает" гипоплазиями, агенезиями и аплазиями. Речь идет о выраженной гипоплазии правого легкого, возможно об агенезии правого главного бронха. Компенсаторное расширение левого лёгкого свидетельствует о том, что оно заполняет "свободную нишу". Раньше для подтверждения данной патологии проводили обязательно бронхографию, мы-же, теперь довольно хорошо выявляем это линейной томографией, как в прямой, так и в боковой проекциях.
Ну а раз операций не было, то предположу гипоплазию верхнедолевого бронха с аплазией на уровне промежуточного и аплазией легкого, с отсутствием функционально состоятельной легочной ткани.
Валентин Львович; как говорят французы: снимаю шляпу! Я выставил диагноз: Right Pulmonary Hypoplasia; Pleural effusion; empyema is suggested. CT scan is recommended. Т.к. я не особо силён в описании на русском языке; воспользуюсь плагиатом! Один мой очень хороший друг радиолог из Украины, описал эти снимки примерно так: Правый гемиторакс полностью затенен с включениями воздуха, соединяющимимся местами между собой. Все средостение находится справа, трахея и главные бронхи хорошо видны, не сужены. Викарная эмфизема слева; сформировавщаяся годами. Диафрагма и синусы справа не видны, но вероятно диафрагма расположена занчительно выше обычного. В данном случае затемнение не гомогенное при смещенном средостении в пораженную сторону: диф. диагноз: а) абсцедирующая пневмония с объемным уменьшением; б) кистозная гипоплазия всего легкого. У ребенка второй вариант - врожденная патология правого легкого с его недоразвитием, объемным уменьшением и множественными кистозными (мешотчатыми) бронхоэктазами, которые мы и видим, как просветления. С учетом отсутствия видимости синусов - все это осложнилось обострением хронического воспалительного процесса + плевритом.
Операций, как я понимаю, не было? Если правильно понимаю тогда "пойдём дальше".
Во всей видимости речь идет о врожденной патологии, которую Воль-Эбштейн "обзывает" гипоплазиями, агенезиями и аплазиями. Речь идет о выраженной гипоплазии правого легкого, возможно об агенезии правого главного бронха. Компенсаторное расширение левого лёгкого свидетельствует о том, что оно заполняет "свободную нишу". Раньше для подтверждения данной патологии проводили обязательно бронхографию, мы-же, теперь довольно хорошо выявляем это линейной томографией, как в прямой, так и в боковой проекциях.
Операций не было.
Let me see...
radiographia.ru
Ну а раз операций не было, то предположу гипоплазию верхнедолевого бронха с аплазией на уровне промежуточного и аплазией легкого, с отсутствием функционально состоятельной легочной ткани.
Валентин Львович; как говорят французы: снимаю шляпу! Я выставил диагноз: Right Pulmonary Hypoplasia; Pleural effusion; empyema is suggested. CT scan is recommended. Т.к. я не особо силён в описании на русском языке; воспользуюсь плагиатом! Один мой очень хороший друг радиолог из Украины, описал эти снимки примерно так: Правый гемиторакс полностью затенен с включениями воздуха, соединяющимимся местами между собой. Все средостение находится справа, трахея и главные бронхи хорошо видны, не сужены. Викарная эмфизема слева; сформировавщаяся годами. Диафрагма и синусы справа не видны, но вероятно диафрагма расположена занчительно выше обычного. В данном случае затемнение не гомогенное при смещенном средостении в пораженную сторону: диф. диагноз: а) абсцедирующая пневмония с объемным уменьшением; б) кистозная гипоплазия всего легкого. У ребенка второй вариант - врожденная патология правого легкого с его недоразвитием, объемным уменьшением и множественными кистозными (мешотчатыми) бронхоэктазами, которые мы и видим, как просветления. С учетом отсутствия видимости синусов - все это осложнилось обострением хронического воспалительного процесса + плевритом.
Let me see...
radiographia.ru
Красиво представлена Доктором Марио редко встречающаяся патология.