Школа. "Мозговой штурм". ОГК 2.

Сергей Кузьминов аватар
Не на сайте
Был на сайте: 1 год 1 месяц назад
Зарегистрирован: 06.10.2012 - 15:51
Публикации: 11813

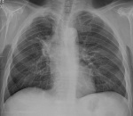
Эмпиема?

Оськин С.В. аватар
Не на сайте
Был на сайте: 2 года 1 неделя назад
Зарегистрирован: 07.04.2016 - 17:05
Публикации: 1703

Поддерживаю. Пневмогидроторакс осумкованный, возможно, ятрогенного генеза. Возможно эмпиема. Так же не исключаются изменения в компремированной легочной ткани.

NIL аватар
NIL
Не на сайте
Был на сайте: 2 недели 4 дня назад
Зарегистрирован: 25.11.2013 - 20:50
Публикации: 18208

Оськин С.В. wrote:

Поддерживаю. Пневмогидроторакс осумкованный, возможно, ятрогенного генеза. Возможно эмпиема. Так же не исключаются изменения в компремированной легочной ткани.

Нарушу ваше единодушие). Полисегментарная пневмония слева, осложненная деструкцией и осумкованным паракостальным и междолевым гидротораксом.


"Слушай всех, прислушивайся к немногим, решай сам".©

Оськин С.В. аватар
Не на сайте
Был на сайте: 2 года 1 неделя назад
Зарегистрирован: 07.04.2016 - 17:05
Публикации: 1703

NIL wrote:

Оськин С.В. wrote:

Поддерживаю. Пневмогидроторакс осумкованный, возможно, ятрогенного генеза. Возможно эмпиема. Так же не исключаются изменения в компремированной легочной ткани.

Нарушу ваше единодушие). Полисегментарная пневмония слева, осложненная деструкцией и осумкованным паракостальным и междолевым гидротораксом.

Тогда, мне кажется, двусторонняя полисегментарная. Без КТ достоверно сказать не могу, что в легочной ткани инфильтрация, все-таки имеется сжатие левого легкого массивным мешком эмпиемы, плюс на фоне выраженной плевральной реакции достоверно оценить снижение пневмотизации, на мой взгляд, невозможно. Справа же на фоне деформированного и обогащенного легочного рисунка тоже мерещатся (поскольку и оно поддавлено смещенным средостением) фокусы инфильтративного характера. Достоверно могу заключить только осумкованный пневмогидроторакс, а сомнения же выразить только в описании и рекомеендовать КТ. И в плане мезотелиомы настороженность бы написать.

Марина Сергеевна аватар
Не на сайте
Был на сайте: 7 месяцев 2 недели назад
Зарегистрирован: 26.04.2011 - 11:56
Публикации: 996

Эмпиема. С уверенностью сказать не могу, но ставлю на абсцесс в S6 слева.

Метатуберкулезные дела.

А анамнез расскажете? Алкоголик?

"There is no teacher, who can teach us anything new. He just can help us to remember the things we always knew" (c) Enigma.

Катенёв Валентин Львович аватар
Не на сайте
Был на сайте: 7 лет 1 месяц назад
Зарегистрирован: 22.03.2008 - 22:15
Публикации: 54876

Оськин С.В. wrote:

Поддерживаю. Пневмогидроторакс осумкованный, возможно, ятрогенного генеза. Возможно эмпиема. Так же не исключаются изменения в компремированной легочной ткани.

+

"Уровень" появился после пункции.

Катенёв Валентин Львович аватар
Не на сайте
Был на сайте: 7 лет 1 месяц назад
Зарегистрирован: 22.03.2008 - 22:15
Публикации: 54876

Плиз.

 

Приложения: 
201611260127.jpg201611260128.jpg201611260130.jpg201611260131.jpg
Сергей Кузьминов аватар
Не на сайте
Был на сайте: 1 год 1 месяц назад
Зарегистрирован: 06.10.2012 - 15:51
Публикации: 11813

Выскажусь за центральный рак.Клапанный ателектаз.

ANDREY X-RAY аватар
Не на сайте
Был на сайте: 7 лет 1 месяц назад
Зарегистрирован: 10.07.2018 - 14:22
Публикации: 120

Катенёв Валентин Львович wrote:

Плиз.

 

Центральный C-r+ателектаз справа.

Катенёв Валентин Львович аватар
Не на сайте
Был на сайте: 7 лет 1 месяц назад
Зарегистрирован: 22.03.2008 - 22:15
Публикации: 54876

Интересны мнения и других коллег...

Войти Зарегистрироваться