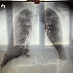
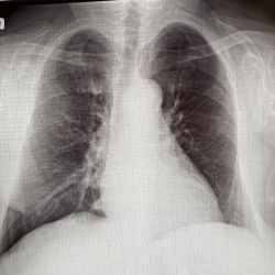
Пожалуйста посмотрите рентген лёгких

Рудик Юлия Евгеньевна аватар
Не на сайте
Был на сайте: 5 лет 5 месяцев назад
Зарегистрирован: 12.07.2020 - 16:46
Публикации: 2

Расшифруйте пожалуйста снимок лёгких моей бабушки. Ей 72 года.

NIL аватар
NIL
Не на сайте
Был на сайте: 1 день 12 часов назад
Зарегистрирован: 25.11.2013 - 20:50
Публикации: 18208

С учетом качества изображений - в пределах возрастных изменений (диффузный пневмосклероз, атреросклероз аорты,дегенеративные изменения позвоночника. Ничего более серьёзного не найдено.


"Слушай всех, прислушивайся к немногим, решай сам".©

Рудик Юлия Евгеньевна аватар
Не на сайте
Был на сайте: 5 лет 5 месяцев назад
Зарегистрирован: 12.07.2020 - 16:46
Публикации: 2

Спасибо большое!

А. Горюнов аватар
Не на сайте
Был на сайте: 1 месяц 1 неделя назад
Зарегистрирован: 07.10.2012 - 12:12
Публикации: 2744

Кто назначил рентген.исследование органов грудной клетки? Цель исследования?

Анатолий Петрович