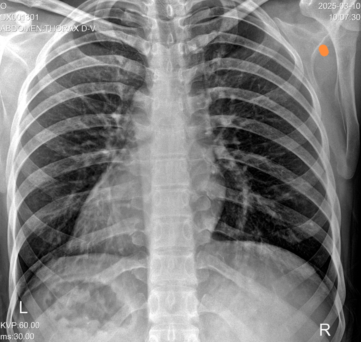
Пневмония

Анна Анна аватар
Не на сайте
Был на сайте: 1 год 1 месяц назад
Зарегистрирован: 10.03.2025 - 12:09
Публикации: 2

Женщина, 42 года. Рентгеновский снимок сделан на 4день болезни. Два врача сделали разные заключения.  Скажите, пожалуйста, есть ли пневмония?

Заранее спасибо за ответ!

Андрей Юрьевич аватар
Не на сайте
Был на сайте: 2 месяцев 3 недели назад
Зарегистрирован: 16.11.2008 - 22:16
Публикации: 18101

Я бы не писал, а левый боковой не делали?

Андрей Юрьевич

Анна Анна аватар
Не на сайте
Был на сайте: 1 год 1 месяц назад
Зарегистрирован: 10.03.2025 - 12:09
Публикации: 2

Андрей Юрьевич, только такие проекции. Боковых нет. Спасибо за ответ!

NIL аватар
NIL
Не на сайте
Был на сайте: 14 часов 20 минут назад
Зарегистрирован: 25.11.2013 - 20:50
Публикации: 18212

Андрей Юрьевич wrote:

Я бы не писал

+1


"Слушай всех, прислушивайся к немногим, решай сам".©