Травма гл. Сустава

Юля 2025 аватар
Не на сайте
Был на сайте: 2 месяцев 2 недели назад
Зарегистрирован: 19.09.2025 - 15:21
Публикации: 4

.

ВложениеРазмер
Иконка изображения img_3100.jpeg98.95 КБ
NIL аватар
NIL
Не на сайте
Был на сайте: 3 дня 3 часа назад
Зарегистрирован: 25.11.2013 - 20:50
Публикации: 18206

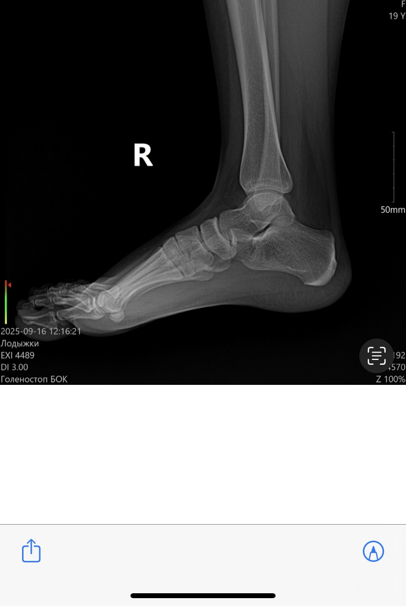
Боковой проекции недостаточно. Должна быть и прямая.


"Слушай всех, прислушивайся к немногим, решай сам".©

Юля 2025 аватар
Не на сайте
Был на сайте: 2 месяцев 2 недели назад
Зарегистрирован: 19.09.2025 - 15:21
Публикации: 4

Вроде загрузилось 

Приложения: 
img_3101.jpeg
Юля 2025 аватар
Не на сайте
Был на сайте: 2 месяцев 2 недели назад
Зарегистрирован: 19.09.2025 - 15:21
Публикации: 4

Очень извиняюсь , ни как не получалось  загрузить файлы.  16.09.25 была получена травма : оступилась , подвернула ногу внутрь и упала . В травмпункте диагностировали только растяжение связок и велели наложить бондаж с фиксирующим бинтом. В заключения рентгена кроме кроме разрыва связок , описали кистозное просветление левой ладыжки , как особенность строения?)  это образование почему-то видно только в одной проекции. Что это может быть? Возраст -19лет

NIL аватар
NIL
Не на сайте
Был на сайте: 3 дня 3 часа назад
Зарегистрирован: 25.11.2013 - 20:50
Публикации: 18206

Костных травматических изменений не определяется. Округлое просветление в латеральной лодыжке есть.Сверилась с Атласом нормальных вариантов. Это не патология. Просветление обусловлено ямкой в дистальном конце малоберцовой кости.


"Слушай всех, прислушивайся к немногим, решай сам".©

Юля 2025 аватар
Не на сайте
Был на сайте: 2 месяцев 2 недели назад
Зарегистрирован: 19.09.2025 - 15:21
Публикации: 4

Огромное спасибо !