боль в здоровом с виду зубе

vasabi аватар
Не на сайте
Был на сайте: 13 лет 4 месяцев назад
Зарегистрирован: 29.07.2012 - 15:40
Публикации: 8

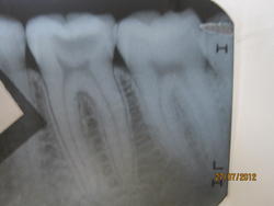
здравствуйте! с октября 2011 года начал болеть зуб. боль ноющая, проходит со временем. зуб чувствителен к холодному и горячему, иногда как бы "стреляет" при жевании, иногда болит даже без перечисленных без причин. замечала иногда неприятный запах или привкус от этого зуба при жевании. в последние 2-3 дня боль стала еще сильней, есть или пить страшно. на любое изменение температуры зуб отдает ужасной болью. с виду здоров, по словам стоматолога кариозных плоскостей нет (хотя есть несколько маленьких черных точек), десны тоже здоровые. сделала снимок, стоматолог (платный) сказал, что пятно на снимке в верхней части зуба - это вторая камера (очень редкое явление) и что не видит причин для того, чтобы его "ковырять". что вы можете сказать судя по снимку зуба? интересует тот, что слева. что может быть причиной таких болей? есть ли смысл удалять нерв, например, или можно вылечить зуб без вмешательства? и вообще, что можно с этим сделать? 

Андрей Юрьевич аватар
Не на сайте
Был на сайте: 1 неделя 3 дня назад
Зарегистрирован: 16.11.2008 - 22:16
Публикации: 18098

Ищите хорошего стоматолога. Снимок - это еще не все. (Я написал ХОРОШЕГО).

Андрей Юрьевич

vasabi аватар
Не на сайте
Был на сайте: 13 лет 4 месяцев назад
Зарегистрирован: 29.07.2012 - 15:40
Публикации: 8

это понятно. а если по снимку нечего сказать, для чего его вообще делают? видимо, все-таки встречаются понимающие в этом. именно мнение такого хорошего специалиста со стороны и хочется узнать...

 

Андрей Юрьевич аватар
Не на сайте
Был на сайте: 1 неделя 3 дня назад
Зарегистрирован: 16.11.2008 - 22:16
Публикации: 18098

"для чего его вообще делают?"

Для того чтобы увидеть есть или нет рентгенпризнаки. Болезнь - это преступник, отпечатки пальцев - рентгенпризнаки. Не все преступники оставляют отпечатки пальцев.

Андрей Юрьевич

vasabi аватар
Не на сайте
Был на сайте: 13 лет 4 месяцев назад
Зарегистрирован: 29.07.2012 - 15:40
Публикации: 8

это как раз тот случай)))? 

Андрей Юрьевич аватар
Не на сайте
Был на сайте: 1 неделя 3 дня назад
Зарегистрирован: 16.11.2008 - 22:16
Публикации: 18098

Думаю, да. И поймите, снимок оценивает только корень зуба, вернее даже, верхушку корня зуба. А не весь зуб в целом. Так что - ищите стоматолога

Андрей Юрьевич

vasabi аватар
Не на сайте
Был на сайте: 13 лет 4 месяцев назад
Зарегистрирован: 29.07.2012 - 15:40
Публикации: 8

понятно, спасибо! а что может выявить в моем случае электроодонтодиаграмма? есть смысл ее делать? 

Андрей Юрьевич аватар
Не на сайте
Был на сайте: 1 неделя 3 дня назад
Зарегистрирован: 16.11.2008 - 22:16
Публикации: 18098

Не знаю. У Вас порочный поход. Вы идете от диагностики. Типа, "вот принесу результаты, пускай лечат, придурки..." А надо идти от лечащего врача.

Андрей Юрьевич

vasabi аватар
Не на сайте
Был на сайте: 13 лет 4 месяцев назад
Зарегистрирован: 29.07.2012 - 15:40
Публикации: 8

считай я их придурками, стала бы я вообще к ним ходить?! занялась бы самолечением и т.п. так что зря вы так)) я же не сама решила сделать снимок, это рекомендация врача, так же, как и электроодонтодиаграмма. кстати, врач этот считается хорошим, потому и пошла к нему, но судя по вашим ответам он не совсем хорош, лучше бы мне поискать другого хорошего... а как же мне угадать насколько будет хорош следующий? вот я и ищу ответы на свои вопросы здесь, к тому же раздел форума для этого и предназначен

Андрей Юрьевич аватар
Не на сайте
Был на сайте: 1 неделя 3 дня назад
Зарегистрирован: 16.11.2008 - 22:16
Публикации: 18098

Я про стоматолога вообще ничего не говорил. Только про рентген. Кстати, есть еще сайты стоматологов. Может туда обратитесь?

Андрей Юрьевич

vasabi аватар
Не на сайте
Был на сайте: 13 лет 4 месяцев назад
Зарегистрирован: 29.07.2012 - 15:40
Публикации: 8

//Ищите хорошего стоматолога. Снимок - это еще не все. (Я написал ХОРОШЕГО).//

после моих объяснений в начале, могу сделать вывод, что мой стоматолог не соответствует даному критерию.

это вы так тактично меня отправляете подальше))?