Добрый день!
Болею со следующими симптомами - кашель усиливающийся к вечеру, температура 36.9 утром до 37,2 вечером уже 5 день. По утрам отхаркиваю много зеленой/желтой субстанции, иногда уже в комках, иногда как слизь. В организме слабость.
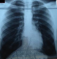
Сделал рентгенографию. Лечу бронхит муколитическим (ацц), пью много воды. Врач с которым консультировался сказал что противовирусные принимать поздно, а антибиотики пока не нужно, т.к. состояние более менее. Направил в диспансер проверить на туберкулез.
Можно ли что-то сказать по снимкам?
Заранее благодарю.
На фоне пейзажа на рентгенограмме трудно что-либо разглядеть, но на мой взгляд нормальные легкие. Рентгенолог много написала, видимо с фантазией все в порядке
Патологических изменений не определяю.
"Слушай всех, прислушивайся к немногим, решай сам".©
Большое спасибо за ответы!
Извините за качество, лучше не удалось придумать источника света под нужным углом))