Гленостопный сустав

LNastya84 аватар
Не на сайте
Был на сайте: 4 года 3 месяцев назад
Зарегистрирован: 29.06.2011 - 11:10
Публикации: 9

  

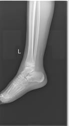
Здравствуйте. Посмотрите пожалуйста снимки, девлчке 8 лет. Что вы думаете по этому поводу? нет ли тут подвывиха?

Ola-la аватар
Не на сайте
Был на сайте: 10 месяцев 1 неделя назад
Зарегистрирован: 06.12.2008 - 09:33
Публикации: 1786

Нет

Александр Викторович аватар
Не на сайте
Был на сайте: 8 лет 1 неделя назад
Зарегистрирован: 31.07.2010 - 13:05
Публикации: 639

нет

LNastya84 аватар
Не на сайте
Был на сайте: 4 года 3 месяцев назад
Зарегистрирован: 29.06.2011 - 11:10
Публикации: 9

спасибо

Петрович аватар
Не на сайте
Был на сайте: 7 лет 2 месяцев назад
Зарегистрирован: 22.03.2009 - 01:13
Публикации: 3908

LNastya84 wrote:
Здравствуйте. Посмотрите пожалуйста снимки, девлчке 8 лет. Что вы думаете по этому поводу? нет ли тут подвывиха?

Всё же для поиска подвывиха нужна строго боковая проекция.

Неоднозначно всё

Войти Зарегистрироваться