Интересные иллюстрации из литературных источников

Катенёв Валентин Львович аватар
Не на сайте
Был на сайте: 7 лет 3 недели назад
Зарегистрирован: 22.03.2008 - 22:15
Публикации: 54876

 

Интересные иллюстрации из литературных источников.

 

Евгений Магонов аватар
Не на сайте
Был на сайте: 7 месяцев 3 недели назад
Зарегистрирован: 07.03.2008 - 15:28
Публикации: 1268

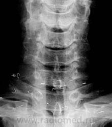
Перевод:

Передний снимок шейного отдела позвоночника. Множественные фрагменты акупунктурных игл в подкожной клетчатке верхней грудной области.

Нижнегрудной отдел позвоночника. Бесчисленные фрагменты акупунктурных игл в подкожной клетчатке спины.

Добрый админ

Катенёв Валентин Львович аватар
Не на сайте
Был на сайте: 7 лет 3 недели назад
Зарегистрирован: 22.03.2008 - 22:15
Публикации: 54876

Гранулематоз Вегенера.

Большая полость в "средней зоне" справа.

 

Приложения: 
1..Sslayd.JPG2..Sslayd..JPG
Катенёв Валентин Львович аватар
Не на сайте
Был на сайте: 7 лет 3 недели назад
Зарегистрирован: 22.03.2008 - 22:15
Публикации: 54876

Асбестоз. Обызвествление листков плевры.

 

Приложения: 
Slayd2.JPGSlayd24.JPG
Катенёв Валентин Львович аватар
Не на сайте
Был на сайте: 7 лет 3 недели назад
Зарегистрирован: 22.03.2008 - 22:15
Публикации: 54876

Интересная иллюстрация.

 

Приложения: 
0.Shvarc..JPG1.1.Shvarc.JPG2.1.Shvarc.JPG
Катенёв Валентин Львович аватар
Не на сайте
Был на сайте: 7 лет 3 недели назад
Зарегистрирован: 22.03.2008 - 22:15
Публикации: 54876

Интересная иллюстрация.

 

Приложения: 
1.1.Forensis..JPG1.2.Forensis..JPG
Катенёв Валентин Львович аватар
Не на сайте
Был на сайте: 7 лет 3 недели назад
Зарегистрирован: 22.03.2008 - 22:15
Публикации: 54876

Интересные иллюстрации.

 

Приложения: 
0.Shvarc..JPG01_Shvarc..JPG110....JPG111....JPG112....JPG
Катенёв Валентин Львович аватар
Не на сайте
Был на сайте: 7 лет 3 недели назад
Зарегистрирован: 22.03.2008 - 22:15
Публикации: 54876

"Интересный Педжет"

 

Приложения: 
0.110....JPG0..11.JPG0..12.JPG0..13.JPG0..14.JPG
Катенёв Валентин Львович аватар
Не на сайте
Был на сайте: 7 лет 3 недели назад
Зарегистрирован: 22.03.2008 - 22:15
Публикации: 54876

Абсцесс Броди.

 

Приложения: 
1.Abscess_BRODI.JPG2.Abscess_Brodi..JPG
Катенёв Валентин Львович аватар
Не на сайте
Был на сайте: 7 лет 3 недели назад
Зарегистрирован: 22.03.2008 - 22:15
Публикации: 54876

Вот такая иллюстрация.

 

Приложения: 
1001.B..JPGSlayd44.JPG
Катенёв Валентин Львович аватар
Не на сайте
Был на сайте: 7 лет 3 недели назад
Зарегистрирован: 22.03.2008 - 22:15
Публикации: 54876

Иллюстрации.

 

Приложения: 
Slayd124.JPGSlayd85.JPG
Войти Зарегистрироваться