интерпретация режима MIP в МРТ ГМ

neiro аватар
Не на сайте
Был на сайте: 11 лет 5 месяцев назад
Зарегистрирован: 06.10.2012 - 16:54
Публикации: 17

Добрый день.

Можно ли где-то самостоятельно узнать, как интерпретировать MIP МРТ  головного мозга. Как правило, на этот вопрос отвечают: "вам это не надо" и прочее. Если есть ссылочка на литературу на эту тему, то был бы очень благодарен.

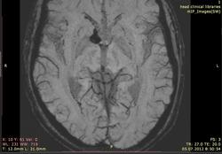
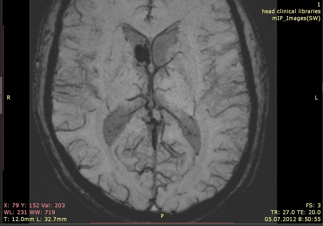
И если не сложно, то Ваши комментарии по этим снимкам без учета снимков в других проекциях и режимах. ( если по-делитантски, то что может давать черную область в данном режиме.спасибо )

Евгений Второй аватар
Не на сайте
Был на сайте: 3 недели 5 дней назад
Зарегистрирован: 13.09.2011 - 22:00
Публикации: 1772

Мрт по одной программе интерпретировать нецелесообразно. Загадки загадывать собираетесь здесь?

neiro аватар
Не на сайте
Был на сайте: 11 лет 5 месяцев назад
Зарегистрирован: 06.10.2012 - 16:54
Публикации: 17

Евгений Второй wrote:
Мрт по одной программе интерпретировать нецелесообразно. Загадки загадывать собираетесь здесь?

Спасибо за Ваш ответ.

Загадок загадывать не собираюсь. это мои снимки.

Мрт и кт уже сделано 7 раз в течении полугода. был консультирован в нескольких больницах, в том числе и в Бурденко. Диагноз дифференцируется между: новообразованием, гематомой, кистой, каверномой, авм.

Могу все мрт выложить сюда, но, видимо, смысла особого нет. да и кому это будет интересно, разбираться в чужих мрт. Поэтому и задал такой вопрос. Наверняка на него есть ответ, который по- ненаучному может иметь следующую форму:

"на данных снимках визуализируется область темного цвета, она может быть интепретирована так то и так то и это может быть то то и то то" и если есть такая информация, то хорошо бы ссылку на неё.

Мне хорошо известен ответ типа: "пока не вскроешь - не узнаешь", поэтому я ни на что не претендую. Мне просто хотелось понять, на основе чего строятся заключения врачей.

Поскольку у меня нет образования в данной области, был бы благодарен любой интерпретации и ссылке на первоисточник информации. Ну или хотя бы по каким словам искать в инете документацию по итерпретации мрт гм.

Спасибо!

Евгений Второй аватар
Не на сайте
Был на сайте: 3 недели 5 дней назад
Зарегистрирован: 13.09.2011 - 22:00
Публикации: 1772

Было бы интересно всё посмотреть. На данной программе присутствуют следы изменённой крови, но она даёт плохое представление о локализации процесса. Для этого и делается несколько разных последовательностей в нескольких проекциях. А обучать Вас тут теории в индивидуальном порядке вряд ли кто будет. Хотя вот немного: МРТ в режиме изображений, взвешенных по неоднородности магнитного поля (SWI) Изображения, взвешенные по неоднородности магнитного поля (SWI), - это новый тип контраста МРТ, отличающийся от МРТ спиновой плотности, Т1 или Т2 визуализации. Этот метод использует разницу в чувствительности между тканями и применяет 3D радиочастотное градиентное эхо-сканирование высокого разрешения с полной компенсацией скорости. Эта особая форма сбора информации и обработки изображений дает изображение повышенной контрастности, чувствительное к венозной крови, кровоизлияниям и накоплениям железа. Она используется, чтобы повысить точность обнаружения и диагностирования опухолей, сосудистых и нервно-сосудистых заболеваний (инсульт и кровоизлияние, рассеянный склероз, болезнь Альцгеймера), а также показывает повреждения мозга после травм, которые нельзя диагностировать другими способами.

Источник: http://www.nazdor.ru/topics/improvement/devices/current/463100/

И

В современных томографах можно найти последовательность SWI (susceptibillity weighted imaging), которая обладает еще более высокой чувствительностью в сравнении с T2*GRE. Reliability in detection of hemorrhage in acute stroke by a new three-dimensional gradient recalled echo susceptibility-weighted imaging technique compared to computed tomography: A retrospective study† Nathaniel D. Wycliffe MD1,*, Judy Choe MD1, Barbara Holshouser PhD1, Udo E. Oyoyo MS1, E. Mark Haacke PhD1,2,3, Daniel K. Kido MD1 Article first published online: 20 AUG 2004 DOI: 10.1002/jmri.20130 Copyright © 2004 Wiley-Liss, Inc. Abstract Purpose To compare the sensitivity of magnetic resonance (MR) susceptibility-weighted imaging (SWI) with conventional MR sequences and computed tomography (CT) in the detection of hemorrhage in an acute infarct. Materials and Methods A series of 84 patients suspected of having acute strokes had both CT and MR imaging (MRI) scans with diffusion-weighted imaging (DWI) and SWI. The SWI sequence is a new high-resolution three-dimensional (3D) imaging technique that amplifies phase to enhance the magnitude contrast. Results Thirty-eight of 84 cases showed abnormal DWI consistent with acute infarct. Of the 38, SWI showed evidence of hemorrhage in 16 cases, compared to eight cases with spin echo (SE) T2, seven cases with fluid attentuated inversion recovery (FLAIR), and only five cases with CT. In a subset of 17 cases of acute infarct who had both two-dimensional gradient recalled echo (2D-GRE) T2*-weighted imaging and SWI, in addition to conventional MRI, evidence of hemorrhage was seen in 10 cases using SWI, compared to seven cases with 2D-GRE T2*. Conclusion SWI proved to be a powerful new approach for visualizing hemorrhage in acute stroke compared to CT and conventional MRI methods. J. Magn. Reson. Imaging 2004;20:372–377. © 2004 Wiley-Liss, Inc.

Евгений Второй аватар
Не на сайте
Был на сайте: 3 недели 5 дней назад
Зарегистрирован: 13.09.2011 - 22:00
Публикации: 1772

А MIP обычно называют алгоритм обработки изображений с целью выборки из них пикселей с максимальной интенсивностью для построения из них реконструкции: сосудов например или скелета с отсечением (грубо говоря) окружающих тканей.

neiro аватар
Не на сайте
Был на сайте: 11 лет 5 месяцев назад
Зарегистрирован: 06.10.2012 - 16:54
Публикации: 17

Спасибо за ответы, Евгений.

Терминология, конечно, специфическая, попробую поразбираться. Может пойму чего....

Popovpavel аватар
Не на сайте
Был на сайте: 7 лет 2 месяцев назад
Зарегистрирован: 08.06.2009 - 00:23
Публикации: 649

У Вас есть данные МРТ в формате DICOM? Можете прислать мне на popovpavel@mail.ru, я посмотрю и напишу, что я думаю.

neiro аватар
Не на сайте
Был на сайте: 11 лет 5 месяцев назад
Зарегистрирован: 06.10.2012 - 16:54
Публикации: 17

Popovpavel wrote:

У Вас есть данные МРТ в формате DICOM? Можете прислать мне на popovpavel@mail.ru, я посмотрю и напишу, что я думаю.

Добрый вечер.

Спасибо за ответ.

Ситуация такая, что, видимо, Ваше заключение будет иметь один из следующих вариантов:

мрт от 080112:

мрт от 170112:

дальше были МОНИКИ.

кт от 010212:

выписка:

 

мрт от 150212:

мрт от 150312:

мрт и ангиография от 270412:

консультация и заключение в Бурденко от 050512:

мрт от 050712:

Мне трудно понять, с чем это связано, но не смотря на то, что мрт у нас является платной услугой, на все вопросы про то или иное заключение, врач-рентгенолог сделает умное лицо и отправит за комментариями к лечащаму врачу - это в лучшем случае, некоторые индивиды просто игнорят, отвернувшись в другую сторону.

Правда был один врач (закл. от 150312), который очень проффесионально подошел к делу и готов был общаться и отвечать на вопросы, но, к сожалению, в тот момент не было возможности (по состоянию здоровья) у меня с ним проконсультироваться.

Склонен считать, что на форумах как раз бывают именно такие люди, которые преданы своей профессии, поэтому и написал сюда с просьбой объяснить "на пальцах", почему допустим на мрт от 050712, которое приведено в самом верху, черная область считается кистой?

Готов загрузить недостающие данные, но поскольку их оч. много, то может быть имеет смысл обозначить, что именно требуется...

Снимки из каких программ необходимы, чтобы обосновать, что это опухоль?

Снимки из каких программ необходимы, чтобы обосновать, что это киста?

Снимки из каких программ необходимы, чтобы обосновать, что это сосудистая патология?

Приложения: 
mrt080112_small.jpgmrt170112small.jpgmrt150212small.jpgmrt150312small.jpgmrt270412small.jpgang270412small.jpgzaklbur050512small.jpgburdenko050512small.jpgzaklbur050512small.jpg05072012small.jpgmoniki060212small.jpgktmoniki_small.jpg
neiro аватар
Не на сайте
Был на сайте: 11 лет 5 месяцев назад
Зарегистрирован: 06.10.2012 - 16:54
Публикации: 17

ну вот за три дня только спам-бот предпринял было попытку высказать своё мнение, но и его сообщение потерли. жаль.

взять допустим вот такие два фрагмента картинки из певого поста.

собственно область с передней частью боковых желудочков и область у края головы.

и там и там есть сигнал черного цвета. У края головы это видимо ликвор, а в области желудочков нечто, что имеет такой же сигнал.

Если допустим согласиться с тем что это киста. Я не разу не видел и не знаю что такое киста. В интернете пишут что киста это пустота заполненая ликвором.

Хотелось бы вот как то понять на данном типе снимков что еще имеет подобный сигнал? Судя по заключениям подобный сигнал может иметь опухоль или гематома может еще чтот....

Т.е. неужели ликвор, гематома и ткань дают один и тот же сигнал? И чтобы врач-мрт мог выбрать чтото одно из этих вариантов, он спрашивает у больного что его беспокоит и тогда на основе симптомов делает вывод.

или вот режим T2_tirm_tra от 150312.

и анологичные срезы для режима T2_tirm_tra_dark_fluid от 270412. (названия отличаются только словом fluid, незнаю насколько это принципиально)

смотря на снимки, я бы вот не сказал что произошли какие то глобальные изменения за полтора месяца. Если после заключения от 150312 было ваще сложно представить своё будущее, то после заключения от 270412 появился какой то  шанс, в виде новой интерпретации. Хотя понятно дело начальный диагноз никто не отменял. это всего лишь иная трактовка картинки.

хотелось бы снова понять что видит врач-мрт на этих снимках? что может давать сигнал в виде белого пятна. Цвет явно отличается от цвета мозга, поэтому наверняка есть какой то перечень возможных вариантов появления этого цвета на мрт.

Мрт делалось в разных центрах и разными врачами. Что заставило второго врача изменить заключение на столько радикально? Опять чтоли анализ чисто субъективных факторов, которые не основываются на результатах мрт? и так скажем отсутствие динамики.

Приложения: 
frag.jpgfrag2.jpgt2_tirm_tra_150312_1.jpgt2_tirm_tra_150312_2.jpgt2_tirm_tra_150312_3.jpgt2_tirm_tra_150312_4.jpgt2_tirm_tra_270412_1.jpgt2_tirm_tra_270412_2.jpgt2_tirm_tra_270412_3.jpgt2_tirm_tra_270412_4.jpg
neiro аватар
Не на сайте
Был на сайте: 11 лет 5 месяцев назад
Зарегистрирован: 06.10.2012 - 16:54
Публикации: 17

Прошу прощения за форму поста. Не как не могу понять как в этот форум вставить картинки, чтобы выглядело всё красиво и читабельно.

Popovpavel аватар
Не на сайте
Был на сайте: 7 лет 2 месяцев назад
Зарегистрирован: 08.06.2009 - 00:23
Публикации: 649

Мне не нужны картинки в форум, и не нужны чужие заключения... Я всего лишь попросил прислать DICOM. Если вы заранее предполагаете, каким будет мое заключение, то зачем спрашиваете совета? Странно, вам предлагают совершенно бесплатную консультацию, а вы занимаетесь лишним и непонятным трудом.

Войти Зарегистрироваться