кальцинаты

тюи аватар
Не на сайте
Был на сайте: 12 лет 8 месяцев назад
Зарегистрирован: 19.02.2013 - 17:58
Публикации: 8

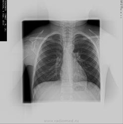
Добрый день.Помогите разобраться в снимке ребёнка (7,5 лет).Рентгенолог поставил диагноз:много мелких кальцинатов.

Катенёв Валентин Львович аватар
Не на сайте
Был на сайте: 7 лет 3 недели назад
Зарегистрирован: 22.03.2008 - 22:15
Публикации: 54876

А, что Вас смущает, или не согласны?

Сольвейг аватар
Не на сайте
Был на сайте: 3 года 5 месяцев назад
Зарегистрирован: 05.02.2013 - 20:25
Публикации: 2239

И где же он нашел много кальцинатов?В корнях?

тюи аватар
Не на сайте
Был на сайте: 12 лет 8 месяцев назад
Зарегистрирован: 19.02.2013 - 17:58
Публикации: 8

да ,в корнях дёгких,а что бы вы сказали по поводу снимка?

Сольвейг аватар
Не на сайте
Был на сайте: 3 года 5 месяцев назад
Зарегистрирован: 05.02.2013 - 20:25
Публикации: 2239

Если у ребенка находят кальцинаты в корнях,то,как правило одним обзорным снимком дело не заканчивается.Ставится диаскин-тест и выполняются тмг ч/корни или КТ гр.кл.Дело идет в выявлении активности туберкулеза ВГЛУ.Что-то еще помимо R-граммы гр.кл.вам сделали?

тюи аватар
Не на сайте
Был на сайте: 12 лет 8 месяцев назад
Зарегистрирован: 19.02.2013 - 17:58
Публикации: 8

Да,вчера сделали томограмму и оказывается никаких патологий не обнаруженно,кровеносные сосуды доктор принял за кальцинаты.Вот так иногда у нас ошибаются врачи?

Сольвейг аватар
Не на сайте
Был на сайте: 3 года 5 месяцев назад
Зарегистрирован: 05.02.2013 - 20:25
Публикации: 2239

Совершенно верно

Войти Зарегистрироваться