КТ - ангиография. Набор изображений.

1 сообщение / 0 новое
Катенёв Валентин Львович аватар
Не на сайте
Был на сайте: 7 лет 3 недели назад
Зарегистрирован: 22.03.2008 - 22:15
Публикации: 54876

Наблюдение Nela.

Мужчина, 62 года. Перенес ишемический инсульт в бассейне правой средней мозговой артерии.

На КТ-ангиографии выявлена окклюзия правой внутренней сонной артерии в области развилки в виде паламени свечи (красная стрелка), стеноз высокой степени в устье правой вертебральной артерии (желтая стрелка), небольшой перегиб в устье левой вертебральной артерии (голубая стрелка).

1._KT-ang..jpg
1._KT-ang..jpg
2.KT-ang..jpg
2.KT-ang..jpg

 

 

 

 

 

 

 

 

 

 

 

3.KT-ang..jpg
3.KT-ang..jpg

 

 

 

 

 

 

 

 

 

 

 

Наблюдение Nela. Вариант Виллизиева Круга.

Женщина, 52 года. Жалобы на птоз слева. Направлена на КТ для исключения аневризмы сифона внутренней сонной артерии (ВСА). Травмы не было.

На КТ правая сонная артерия немного тоньше обычного, сифон продолжается в среднюю мозговую артерию. Правая задняя мозговая артерия отходит от основной артерии.

Левая общая сонная артерия гипертрофирована, на шейном уровне с патологической извитостью. Сифон также шире, чем справа. Задняя мозговая артерия отходит от супраклиноидного отдела ВСА - задняя трифуркация. Левая передняя мозговая артерия делится на две правую и левую передние мозговые артерии (задняя трифуркация), в развилке небольшая аневризма на широком основании. Вторая такая же аневризма на уровне отхождения глазной артерии.

Аневризмы - красные стрелки, Средние мозговые артерии - черные, Задние - зеленые, передняя мозговая - голубая стрелка.

Ниже иллюстраций «по случаю» представлены схемы из монографии Д. Лужа. Рентгеновская анатомия сосудистой системы. Будапешт, 1973.

1..ANG_..jpg
1..ANG_..jpg
2.ANG_..jpg
2.ANG_..jpg
3..ANG_..jpg
3..ANG_..jpg

 

 

 

 

 

 

 

 

 

 

 

 

 

4..ANG_..jpg
4..ANG_..jpg
5..ANG_..jpg
5..ANG_..jpg
6..ANG_.jpg
6..ANG_.jpg

 

 

 

 

 

 

 

 

 

 

 

 

 

7..ANG_..jpg
7..ANG_..jpg
8..ANG_..jpg
8..ANG_..jpg
9..ANG_..jpg
9..ANG_..jpg

 

 

 

 

 

 

 

 

 

 

 

 

 

10..ANG_..jpg
10..ANG_..jpg
11..ANG_..jpg
11..ANG_..jpg
12..ANG_..jpg
12..ANG_..jpg

 

 

 

 

 

 

 

 

 

 

 

 

 

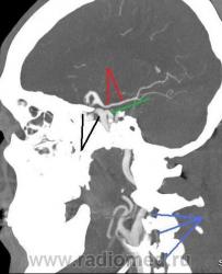
Наблюдение Nela.

Персистирующая примитивная тройничная артерия.

Мужчина 63 лет с жалобами на опущение верхнего века справа. Направлен на КТ-ангиографию для исключения аневризмы в области сифона правой внутренней сонной артерии.

При КТА отмечается гипоплазия вертебральных артерий, больше выраженная справа. Основная артерия на большем протяжении не развита, дистальная часть ее питается из расширенной примитивной тройничной артерии, отходящей от проксимальных отделов сифона правой внутренней сонной артерии. Кроме этого правая задняя мозговая артерия отходит от супраклиноидного отдела внутренней сонной артерии – задняя трифуркация. Слева отсутствует задняя соединительная артерия.

Таким образом кровоснабжение вертебро-базиллярного бассейна осуществляется из правой внутренней сонной артерии.

Голубые стрелки – вертебральные артерии.

Красные – задние мозговые.

Зеленые – тройничная артерия.

Желтые – основная артерия.

Черные – сифон внутренней сонной.

1.PERS_..jpg
1.PERS_..jpg
2.PERS_..jpg
2.PERS_..jpg
3.PERS_.jpg
3.PERS_.jpg

 

 

 

 

 

 

 

 

 

 

 

 

4.PERS_..jpg
4.PERS_..jpg
5.PERS_.jpg
5.PERS_.jpg
6.PERS_..jpg
6.PERS_..jpg
ВложениеРазмер
Иконка изображения 1._KT-ang..jpg137.92 КБ
Иконка изображения 2.KT-ang..jpg141.7 КБ
Иконка изображения 3.KT-ang..jpg143.02 КБ
Иконка изображения 1..ANG_..jpg231.32 КБ
Иконка изображения 2.ANG_..jpg179.44 КБ
Иконка изображения 3..ANG_..jpg119.66 КБ
Иконка изображения 4..ANG_..jpg145.43 КБ
Иконка изображения 5..ANG_..jpg48.89 КБ
Иконка изображения 6..ANG_.jpg61.39 КБ
Иконка изображения 7..ANG_..jpg578.05 КБ
Иконка изображения 8..ANG_..jpg103.73 КБ
Иконка изображения 9..ANG_..jpg224.73 КБ
Иконка изображения 10..ANG_..jpg274.48 КБ
Иконка изображения 11..ANG_..jpg192.16 КБ
Иконка изображения 12..ANG_..jpg157.23 КБ
Иконка изображения 1.PERS_..jpg64.23 КБ
Иконка изображения 2.PERS_..jpg24.54 КБ
Иконка изображения 3.PERS_.jpg121.23 КБ
Иконка изображения 4.PERS_..jpg115.98 КБ
Иконка изображения 5.PERS_.jpg105.88 КБ
Иконка изображения 6.PERS_..jpg96.97 КБ