ГМ. Онк. Лимфомы головного мозга. Набор изображений. +

Катенёв Валентин Львович аватар
Не на сайте
Был на сайте: 7 лет 3 недели назад
Зарегистрирован: 22.03.2008 - 22:15
Публикации: 54876

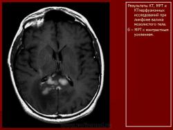
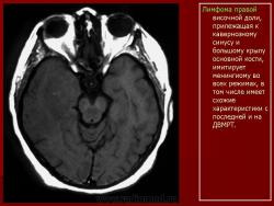
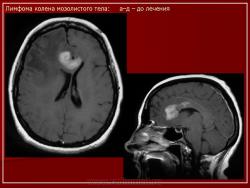
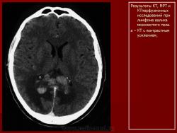
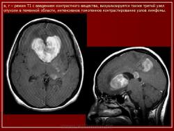
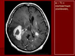
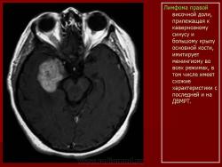
Лимфомы головного мозга.

Катенёв Валентин Львович аватар
Не на сайте
Был на сайте: 7 лет 3 недели назад
Зарегистрирован: 22.03.2008 - 22:15
Публикации: 54876

Продолжение.

 

Приложения: 
1.Uv_.Slayd48.JPG2.Uv_.Slayd49.JPG3.Uv_.Slayd50.JPG4.Uv_.Slayd51.JPG5.Uv_.Slayd52.JPG6.Uv_.Slayd53.JPG7.Uv_.Slayd54.JPG8.Uv_.Slayd55.JPG9.Uv_.Slayd56.JPG10._Uv.Slayd57.JPG11.Uv_.Slayd58.JPG
Катенёв Валентин Львович аватар
Не на сайте
Был на сайте: 7 лет 3 недели назад
Зарегистрирован: 22.03.2008 - 22:15
Публикации: 54876

Аналогичный материал,  по ссылке -

http://www.radiomed.ru/forum/limfomy-nabor-izobrazhienii

Войти Зарегистрироваться