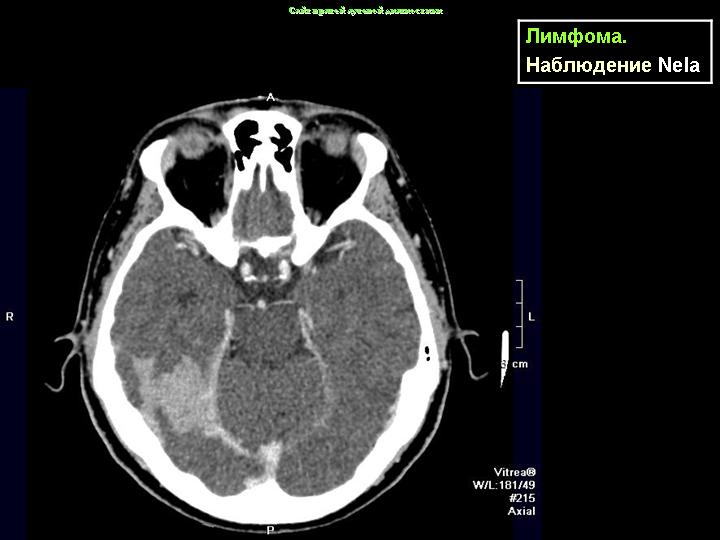
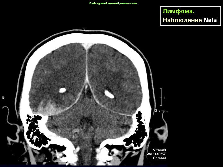
Онкология. Лимфомы. Набор изображений. +

Катенёв Валентин Львович аватар
Не на сайте
Был на сайте: 7 лет 3 недели назад
Зарегистрирован: 22.03.2008 - 22:15
Публикации: 54876

Лимфомы (продолжение набора)

http://www.radiomed.ru/forum/limfomy-golovnogo-mozga-nabor-izobrazheniy

 

Катенёв Валентин Львович аватар
Не на сайте
Был на сайте: 7 лет 3 недели назад
Зарегистрирован: 22.03.2008 - 22:15
Публикации: 54876

Данные из "интернет-источников".

 

Приложения: 
1.l.slayd112.jpg2.l.slayd113.jpg3.l.slayd114.jpg4.l.slayd115.jpg5.l.slayd116.jpg6.l.slayd117.jpg7.l.slayd118.jpg8.l.slayd119.jpg
Войти Зарегистрироваться