МРТ головного мозга

Bor аватар
Bor
Не на сайте
Был на сайте: 13 лет 10 месяцев назад
Зарегистрирован: 03.01.2012 - 00:38
Публикации: 5

Уважаемые специалисты,

прошу написать свое мнение по нижеприведенным снимкам МРТ
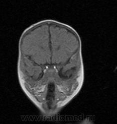
Ребенку 4 месяца, была внутриутробная инфекция и как следствие перенесенная гипоксия гол. мозга. На данный момент неврологи поставили диагноз задержка психомоторного развития. 
УЗИ показало только пограничные размеры боковых желудочков. 
МРТ - признаки дисплазии мозолистого тела. Врача результат МРТ почему то не смутил, по его словам мозг злоров. Причину задержки развития не установили. Лечащий врач сам удивляется и не может нам назвать причину (прошли уже два курса лечения).
Решил обратиться сюда к вам, может быть свежий взгляд что то прояснит.
 

Bor аватар
Bor
Не на сайте
Был на сайте: 13 лет 10 месяцев назад
Зарегистрирован: 03.01.2012 - 00:38
Публикации: 5

Снимки

Приложения: 
08.jpg09.jpg010.jpg011.jpg012.jpg013.jpg014.jpg015.jpg
Bor аватар
Bor
Не на сайте
Был на сайте: 13 лет 10 месяцев назад
Зарегистрирован: 03.01.2012 - 00:38
Публикации: 5

Снимки

Приложения: 
014.jpg015.jpg016.jpg017.jpg018.jpg019.jpg020.jpg020.jpg021.jpg
Bor аватар
Bor
Не на сайте
Был на сайте: 13 лет 10 месяцев назад
Зарегистрирован: 03.01.2012 - 00:38
Публикации: 5

Здесь редко смотрят форум? 

Катенёв Валентин Львович аватар
Не на сайте
Был на сайте: 7 лет 3 недели назад
Зарегистрирован: 22.03.2008 - 22:15
Публикации: 54876

Bor wrote:

Здесь редко смотрят форум? 

Здравствуйте!

Представьтесь, кто Вы? Конкретно, какие вопросы возникли у Вас. 

Просьба выставить протокол (описание) проведенного МРТ - исследования.