МРТ и КТ головы. Закон парности.

Gorlina.Anna аватар
Не на сайте
Был на сайте: 8 лет 11 месяцев назад
Зарегистрирован: 20.02.2009 - 12:27
Публикации: 227

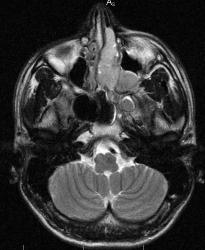
В последнее время на сайте много сообщений о патологии такой локализации. По закону парности и ко мне пришел пациент с направлением "Исключить опухоль орбиты". Мужчина 1982 г.р. жалуется на значительное снижение зрения на левый глаз. Зрачок расширен, движения глаза ограничены.

Изображение  Изображение

Изображение  Изображение

Изображение

Рекомендовала КТ, врач КТ решил делать с контрастом.

Изображение    Изображение   Изображение

Катенёв Валентин Львович аватар
Не на сайте
Был на сайте: 7 лет 4 недели назад
Зарегистрирован: 22.03.2008 - 22:15
Публикации: 54876

Интересное наблюдение из "ранних", но оно осталось без комментариев, хотя, по всей видимости, представленная патология имеет определенный интерес. Может быть кто из коллег, занимающихся "высокими технологиями" прокомментирует?

AndreiZu аватар
Не на сайте
Был на сайте: 8 лет 11 месяцев назад
Зарегистрирован: 11.04.2012 - 20:51
Публикации: 9

Похоже это образование (заболевание) исходит из решетчатого лабиринта или из основной пазухи ( жалко мало снимков и нет характеристик 

контрастного усиления.

Войти Зарегистрироваться