нетипичная картина

tatyana аватар
Не на сайте
Был на сайте: 4 года 2 месяцев назад
Зарегистрирован: 24.06.2009 - 08:33
Публикации: 2090

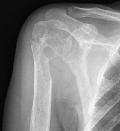
Какая патология по Вашему мнению, коллеги, на снимках?

 

Катенёв Валентин Львович аватар
Не на сайте
Был на сайте: 7 лет 1 месяц назад
Зарегистрирован: 22.03.2008 - 22:15
Публикации: 54876

Здравствуйте Татьяна Валентиновна!

Как раз, все типично. Было-бы странно, если-бы выставили "Типичное". Этим-то Вы и прекрасны, уважаемая Татьяна Валентиновна, что случай из рубрики - "Зашибись".

Конечно, все решит и точки поставит открытая биопсия, которая по всей видимости, уже сделана, а диагноз уже "сварен" в лучшем виде.

ПОФАНТАЗИРУЮ.

1. В обоих случаях - мета-эпифиз (а там, даже у взрослых - крастный костный мозг).

2. Полостные структуры.

3. В первом и во втором случаях - дефекты кортикального слоя с остеопоротической компонентой. На левом снимке и полее мелкие полостные образования.

Я на 1 место поставлю любимый мною "тубер", на второе - "мета"

Грицько Виталий аватар
Не на сайте
Был на сайте: 9 лет 3 недели назад
Зарегистрирован: 05.01.2010 - 14:06
Публикации: 1058

Катенёв Валентин Львович wrote:

Здравствуйте Татьяна Валентиновна!

Как раз, все типично. Было-бы странно, если-бы выставили "Типичное". Этим-то Вы и прекрасны, уважаемая Татьяна Валентиновна, что случай из рубрики - "Зашибись".

Конечно, все решит и точки поставит открытая биопсия, которая по всей видимости, уже сделана, а диагноз уже "сварен" в лучшем виде.

ПОФАНТАЗИРУЮ.

1. В обоих случаях - мета-эпифиз (а там, даже у взрослых - крастный костный мозг).

2. Полостные структуры.

3. В первом и во втором случаях - дефекты кортикального слоя с остеопоротической компонентой. На левом снимке и полее мелкие полостные образования.

Я на 1 место поставлю любимый мною "тубер", на второе - "мета"

Валентин Львович, что-то Вы давно его величество не выкладывали.

Катенёв Валентин Львович аватар
Не на сайте
Был на сайте: 7 лет 1 месяц назад
Зарегистрирован: 22.03.2008 - 22:15
Публикации: 54876

Здравствуйте Виталий Орестович!

В отпуске я, балдею, на время перестал быть "рабом", или как выражаеся уважаемый Виктор Григорьевич - "Не на панщине".

tatyana аватар
Не на сайте
Был на сайте: 4 года 2 месяцев назад
Зарегистрирован: 24.06.2009 - 08:33
Публикации: 2090

Еще версии? обратите внимание на скиалогию очагов! Ничего не напоминает?

"самоуверенность дилетантов - предмет зависти профессионалов"

Катенёв Валентин Львович аватар
Не на сайте
Был на сайте: 7 лет 1 месяц назад
Зарегистрирован: 22.03.2008 - 22:15
Публикации: 54876

Ну, не ГКО-же?

lupan аватар
Не на сайте
Был на сайте: 6 лет 11 месяцев назад
Зарегистрирован: 07.01.2010 - 17:17
Публикации: 1406

На мой взгляд, здесь озлакочествленное что-то первично доброкачественное (во загнул).

Великое преймущество врача заключается в том, что он не обязан следовать собственным советам. ( А. Кристи)

lupan аватар
Не на сайте
Был на сайте: 6 лет 11 месяцев назад
Зарегистрирован: 07.01.2010 - 17:17
Публикации: 1406

Катенёв Валентин Львович wrote:

Ну, не ГКО-же?

А почему нет?

Великое преймущество врача заключается в том, что он не обязан следовать собственным советам. ( А. Кристи)

Катенёв Валентин Львович аватар
Не на сайте
Был на сайте: 7 лет 1 месяц назад
Зарегистрирован: 22.03.2008 - 22:15
Публикации: 54876

lupan wrote:

Катенёв Валентин Львович wrote:

Ну, не ГКО-же?

А почему нет?

По все видимости, окажется, что-то такое, что предположить весьма трудно.

"Колода" - в руках Татьяны Валентиновны, она банкует.

Грицько Виталий аватар
Не на сайте
Был на сайте: 9 лет 3 недели назад
Зарегистрирован: 05.01.2010 - 14:06
Публикации: 1058

Катенёв Валентин Львович wrote:

Здравствуйте Виталий Орестович!

В отпуске я, балдею, на время перестал быть "рабом", или как выражаеся уважаемый Виктор Григорьевич - "Не на панщине".

Даа, отпуск это хорошо. Особенно полный, а не дробленый.

А другие отделы не снимали.

tatyana аватар
Не на сайте
Был на сайте: 4 года 2 месяцев назад
Зарегистрирован: 24.06.2009 - 08:33
Публикации: 2090

Какие именно отделы Вы предложили бы доснять и почему?

"самоуверенность дилетантов - предмет зависти профессионалов"

Войти Зарегистрироваться