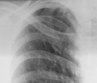
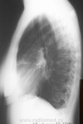
Осумкованный плеврит? в заднем отделе левого синуса.Так ли это?

ien аватар
ien
Не на сайте
Был на сайте: 13 лет 10 месяцев назад
Зарегистрирован: 19.01.2012 - 22:53
Публикации: 24

Уважаемые специалисты! Помогите разобраться со снимками (если конечно это позволит их качество).

Очень плохо себя чувствую. Сильные боли в левом боку грудной клетки.Почти все время ощущение что что то тянет. В моменты самой сильной боли, как будто что-то расширяется внутри и вот- вот лопнет. Усиление боли происходит при движениях, кашле.(кашель не сильный, просто покашливание) Температура 37. Ночью-пот и озноб но температуры выше 37,2 не было.
О себе: 43 года, женщина, в 15 лет про оперирована по поводу врожденного порока сердца ДМПП. В дальнейшем перенесла 2 перикардита (где-то в 25 лет и в 31 год). После этого до последнего времени ни каких болезней с сердцем не было. Ни каких тяжелых простудных заболеваний тоже в последний год не было. Обычные простуды ну раза 2 в год.
Собираюсь на консультацию к кардиологу и сегодня сделала рентген в 2 проекциях. И Врач-ренгинолог меня просто ошарашил дословно: Осумкованный плеврит? в заднем отделе левого синуса.
Ну не понимаю откуда? Правда ли это плеврит или может что то другое. Тем более что он говорит что сегоднишние боли с ним связаны быть не могут так как это уже все давно прошло.
Снимки прилагаю.
Катенёв Валентин Львович аватар
Не на сайте
Был на сайте: 7 лет 3 недели назад
Зарегистрирован: 22.03.2008 - 22:15
Публикации: 54876

Однозначно, что именно "осумкованного плеврита", в данном случае нет. Однако архивчик есть, да и верхушечки внимания требуют.

ien аватар
ien
Не на сайте
Был на сайте: 13 лет 10 месяцев назад
Зарегистрирован: 19.01.2012 - 22:53
Публикации: 24

Простите, за глупость видимо, я пациент:)))

что такое " Однако архивчик есть, да и верхушечки внимания требуют."

Бородулин М.А. аватар
Не на сайте
Был на сайте: 9 месяцев 2 недели назад
Зарегистрирован: 17.02.2011 - 01:10
Публикации: 1409

Сколько времени  у вас боли, потливость повышение t?

ien аватар
ien
Не на сайте
Был на сайте: 13 лет 10 месяцев назад
Зарегистрирован: 19.01.2012 - 22:53
Публикации: 24

Начиная с понедельника. t и потливость то же.

Бородулин М.А. аватар
Не на сайте
Был на сайте: 9 месяцев 2 недели назад
Зарегистрирован: 17.02.2011 - 01:10
Публикации: 1409

 Вероятно левосторонняя пневмония в 3-м сегменте.

ien аватар
ien
Не на сайте
Был на сайте: 13 лет 10 месяцев назад
Зарегистрирован: 19.01.2012 - 22:53
Публикации: 24

Значит к кардиологу можно не ходить? Анализы и к терапевту?

Бородулин М.А. аватар
Не на сайте
Был на сайте: 9 месяцев 2 недели назад
Зарегистрирован: 17.02.2011 - 01:10
Публикации: 1409

ответ в Ваших личных сообщениях.

Fira аватар
Не на сайте
Был на сайте: 13 лет 7 месяцев назад
Зарегистрирован: 10.12.2011 - 17:55
Публикации: 17

Здрасти . У вас по снимкам легочный рисунок резко усилен с обоих сторон , справа корень расширен и деформирован .Слева в синусе похоже небольшое количество жидкости ,но насчет осумкованности я сильно сомневаюсь . Вы анализы сдавали ? СОЭ, лейкоциты ..... Верхушки чистые , но вот справа корень и легочный рисунок мне не нравтся , да и что может вызвать выпот в плевральную полость . Было бы хорошо если бы вы сделали манту 

ien аватар
ien
Не на сайте
Был на сайте: 13 лет 10 месяцев назад
Зарегистрирован: 19.01.2012 - 22:53
Публикации: 24

Пока анализы не сдавала. Назначена сдача на понедельник. А с права не может быть это после операции на сердце т.к. ее делали именно справа.

Андрей Юрьевич аватар
Не на сайте
Был на сайте: 1 неделя 2 дня назад
Зарегистрирован: 16.11.2008 - 22:16
Публикации: 18098

ien wrote:
... А с права не может быть это после операции на сердце т.к. ее делали именно справа.

Может. Все может. А можнт быть и проявлением невроза. В настоящий момент, метод более точной визуальной диагностики патологии органов грудной клетки - компьютерная томография. Изыщите возможность сделать ее. Пусть даже и платно. Совсем хорошо, если в плюс еще и магнито-резонанстную томографию грудного отдела позвоночника. С возможносью записи исследований на компакт-диски, тогда Вы сможете их проконсультировать в любом месте. Удачи!

Андрей Юрьевич