ОГК. ССС. Патология аорты и коронарных артерий. Набор изображений. +

Катенёв Валентин Львович аватар
Не на сайте
Был на сайте: 7 лет 3 недели назад
Зарегистрирован: 22.03.2008 - 22:15
Публикации: 54876

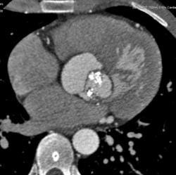
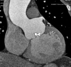
Наблюдение Nela.

Двустворчатый аортальный клапан

Мужчина 35 лет с клиникой стеноза аортального клапана. На КТ выявлен двустворчатый клапан с обызвествлениями в створках. Луковица аорты и восходящий отдел значительно расширены. Отмечается также вариант отхождения левой коронарной артерии - левая передняя нисходящая и огибающая отходят непосредственно от аорты. Правая коронарная артерия гипопластична.

 

1.P.A.R..jpg
1.P.A.R..jpg
2.P.A.R..jpg
2.P.A.R..jpg
3.P.A.R..jpg
3.P.A.R..jpg

 

 

 

 

 

 

 

 

 

 

 

 

Наблюдение Nela.

Двустворчатый аортальный клапан

Мужчина 35 лет с клиникой стеноза аортального клапана. На КТ выявлен двустворчатый клапан с обызвествлениями в створках. Луковица аорты и восходящий отдел значительно расширены. Отмечается также вариант отхождения левой коронарной артерии - левая передняя нисходящая и огибающая отходят непосредственно от аорты. Правая коронарная артерия гипопластична.

 

1.P.A.R..jpg
1.P.A.R..jpg
2.P.A.R..jpg
2.P.A.R..jpg
3.P.A.R..jpg
3.P.A.R..jpg

 

 

 

 

 

 

 

 

 

 

 

 

 

 

4.P.A.R..jpg
4.P.A.R..jpg
5.P.A.R..jpg
5.P.A.R..jpg
6.P.A.R..jpg
6.P.A.R..jpg

 

ВложениеРазмер
Иконка изображения 1.P.A.R..jpg64.39 КБ
Иконка изображения 2.P.A.R..jpg64.71 КБ
Иконка изображения 3.P.A.R..jpg176.7 КБ
Иконка изображения 4.P.A.R..jpg92.83 КБ
Иконка изображения 5.P.A.R..jpg92.21 КБ
Иконка изображения 6.P.A.R..jpg78.29 КБ
Nela аватар
Не на сайте
Был на сайте: 6 лет 1 месяц назад
Зарегистрирован: 12.05.2009 - 20:43
Публикации: 1847

ИзображениеИзображениеИзображениеИзображениеИзображениеИзображение

Мы недавно начали проводить КТ-коронарографию. Представляю вариант нормальных сосудов сердца. Довольно типичный вид, тип кровоснабжения преимущественно правый.  Ствол левой коронарной артерии делится на ветви: переднюю нисходящую и огибающую.

Стрелки: Красные - правая коронарная артерия, зеленые - передняя нисходящая, голубые - огибающая артерия, черные - ветвь острого края, желтые стрелки - задняя нисходящая артерия.

 

Nela аватар
Не на сайте
Был на сайте: 6 лет 1 месяц назад
Зарегистрирован: 12.05.2009 - 20:43
Публикации: 1847

ИзображениеИзображение

Вот еще вариант. Здесь левая коронарная артерия делиться на 3 ветви, кроме передней нисходящей и огибающей есть еще промежуточная ветвь (розовые стрелки).

Nela аватар
Не на сайте
Был на сайте: 6 лет 1 месяц назад
Зарегистрирован: 12.05.2009 - 20:43
Публикации: 1847

ИзображениеИзображениеИзображениеИзображение

А здесь целый букет. Левая коронарная артерия делиться на 4 ветви: передняя нисходящая, промежуточная, огибающая и ветвь тупого края (голубые головки стрелок).

Nela аватар
Не на сайте
Был на сайте: 6 лет 1 месяц назад
Зарегистрирован: 12.05.2009 - 20:43
Публикации: 1847

Изображение

Вид сзади. Красные стрелки - правая коронарная артерия. Синяя стрелка - задняя нисходящая артерия. Головка стрелки - задне-латеральная ветвь.

 

Nela аватар
Не на сайте
Был на сайте: 6 лет 1 месяц назад
Зарегистрирован: 12.05.2009 - 20:43
Публикации: 1847

ИзображениеИзображение

Это всего лишь демонстрация вариантов ветвей коронарных артерий. Между передней нисходящей и огибающей две промежуточные (можно и так расценить) одна, что ближе к передней нисходящей - аналог 1 диагональной ветви, вторая - аналог ветви тупого края (ход этой ветви соответсвует ходу тупого края).

Дистальные отделы огибающей - серые стрелки.

А показания к КТ-коронарографии все же несколько отличаются от показаний к интервенционной коронарографии.

 

Nela аватар
Не на сайте
Был на сайте: 6 лет 1 месяц назад
Зарегистрирован: 12.05.2009 - 20:43
Публикации: 1847

ИзображениеВот артерия острого края. Несколько высоковато расположена, довольно тонкая, но это тоже вариант.

 

Nela аватар
Не на сайте
Был на сайте: 6 лет 1 месяц назад
Зарегистрирован: 12.05.2009 - 20:43
Публикации: 1847

ИзображениеИзображениеИзображение

Преимущественно левый тип кровоснабжения. Левая коронарная артерия крупнее правой. Задняя нисходящая артерия и задняя латеральная (питающая заднюю стенку левого бокового желудочка) исходят из левой огибающей артерии. Конусная ветвь исходит непосредственно от аорты - вариант нормы.

LAD - передняя нисходящая, LCX - левая  огибающая,  RCA - правая коронарная, CONUS - конусная ветвь,  LM - ствол левой коронарной артерии,  PDA - задняя нисходящая артерия.

 

Nela аватар
Не на сайте
Был на сайте: 6 лет 1 месяц назад
Зарегистрирован: 12.05.2009 - 20:43
Публикации: 1847

ИзображениеИзображениеИзображениеИзображениеИзображение

Еще один вариант преобладания левой коронарной артерии.

LAD - передняя нисходящая, LCX - левая  огибающая,  RCA - правая коронарная, CONUS - конусная ветвь,  LM - ствол левой коронарной артерии,  PDA - задняя нисходящая артерия, AM - артерия острого края, OM - тупого края,  Diag - диагональная ветвь передней нисходящей, PL - задне-латеральная ветвь.

 

intervent_r аватар
Не на сайте
Был на сайте: 12 лет 6 месяцев назад
Зарегистрирован: 04.08.2009 - 16:23
Публикации: 74

Nela wrote:

ИзображениеВот артерия острого края. Несколько высоковато расположена, довольно тонкая, но это тоже вариант.

 

Вы считаете эту артерию артерией острого края, но где тогда конусная артерия, по отхождению это больше похоже на конусную. В идеале бы сравнить классическую КАГ (теоретически) и МСКТ. Раз у ВАС 64-срезовый КТ, то и ангиография должна быть. Я с нетерпением жду момента когда мы можем в большинстве случаев отказаться от коронарографии, поверьте ее выполнение большого удовольствия не доставляет, нам лучше по данным МСКТ оперировать (пластика, стенты)- пока мечты.

Nela аватар
Не на сайте
Был на сайте: 6 лет 1 месяц назад
Зарегистрирован: 12.05.2009 - 20:43
Публикации: 1847

Изображение

Красная стрелка - конус легочной артерии.

Эта артерия одна. Если острого края, то высоковато отходит, если конусная, то низковато и где осторого края? Кроме этого идет она книзу к острому краю, конус несколько в стороне остается. Мне так показалось. Может я и ошибаюсь. Я совсем недавно занимаюсь коронарографией. Опыт небольшой. Опирировать пока по нашим данным никто не собирается. Но мы несколько разгрузили рентгенангиохирургов. Наша основная задача на сегодняшний день исключить патологию коронарных сосудов у пациентов с сомнительными клиническими данными. Это довольно значительная часть и по данным литературы и по словам наших ангиографистов. А дальше видно будет. Довольно уверенно себя чувствуем в оценке проходимости шунтов.

Кроме коронаров мы выполняем и другие сосуды: аорту, каротиды и вертебральные, нижних конечностей и  т.д. Таких больных оперируют по нашим данным или планируют стентирование.

 

 

Войти Зарегистрироваться