ГМ. Патология области турецкого седла. Набор изображений. +

Катенёв Валентин Львович аватар
Не на сайте
Был на сайте: 7 лет 4 недели назад
Зарегистрирован: 22.03.2008 - 22:15
Публикации: 54876

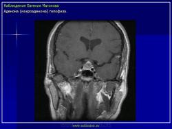
Патология области турецкого седла.

 

Катенёв Валентин Львович аватар
Не на сайте
Был на сайте: 7 лет 4 недели назад
Зарегистрирован: 22.03.2008 - 22:15
Публикации: 54876

Продолжение.

 

Приложения: 
52.t.slayd52.jpg52.t.slayd53.jpg53.t.slayd54.jpg54.t.slayd55.jpg55.t.slayd56.jpg56.t.slayd57.jpg
Широков.Евгений. аватар
Не на сайте
Был на сайте: 11 лет 3 месяцев назад
Зарегистрирован: 31.08.2008 - 14:29
Публикации: 77

впервые настолько глубокие изменеия турецкого седла, что даже не требуется дообследование.

Приложения: 
adenoma_gipofiza_1.jpg
Войти Зарегистрироваться