Прошу помощи!!!

masterofshooting аватар
Не на сайте
Был на сайте: 13 лет 5 месяцев назад
Зарегистрирован: 28.09.2012 - 22:47
Публикации: 2

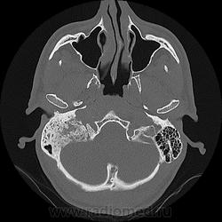
Здравствуйте! Мне 51 год, 25.09.12 года сделаны КТ и МРТ (с контрастом) головы для выяснения внезапно возникшего шума (не пульсирующего характера, частичная потеря слуха) в правом ухе. Заключение МРТ  противоположно заключению КТ. Головные боли не беспокоят, припухлостей на лице и голове нет, пигментации или изменения цвета кожи нет, головокружений нет. 3 года назад была проблема с правым ухом: после неудачной попытки избавиться от слизи в носу – слизь попала в правое ухо. Проведено лечение (барабанную перепонку не прокалывали). Гипертония 1-2 степени. Принимаю нолипрел. Прошу высказаться о предполагаемом диагнозе, т.к. врачи не смогли прийти к единому мнению. Ссылки на исследования КТ и МРТ: 

 

KT https://dl.dropbox.com/u/109317743/KT.zip
MPT https://dl.dropbox.com/u/109317743/MPT.zip

Т1:

Т2:

3D T1:

T2 flair:

-

Т1:

Андрей Юрьевич аватар
Не на сайте
Был на сайте: 1 месяц 2 недели назад
Зарегистрирован: 16.11.2008 - 22:16
Публикации: 18101

Не знаю в чем КТ может противоречить МРТ, но на КТ имеется нарушение  структуры костей основания черепа справа (мыщелка затылочной кости, затылочной и височной костей). Заинтересована и стенка внутреннего слухового прохода. О характере процесса с уверенностью высказаться не могу, но отит (на мой взгляд) тут не причем (барабанная полость и антрум свободны). Имеется содержимое и неровность стенок ячеек правого сосцевидного отростка. Может мастоидит, какой-нибудь небанальный, с петрозитом? Хотя, как это может поразить еще и затылочную кость?

Андрей Юрьевич

ЛГ аватар
Не на сайте
Был на сайте: 9 лет 1 месяц назад
Зарегистрирован: 06.01.2010 - 12:31
Публикации: 3523

В МРТ не разбираюсь. Думаю, ошибочно могло быть интерпретировано по КТ как фиброзная дисплазия. Нашла , на мой взгляд, подходящие варианты: http://translate.google.ru/translate?hl=ru&langpair=en%7Cru&u=http://www.ncbi.nlm.nih.gov/pmc/articles/PMC2702196/

http://translate.google.ru/translate?hl=ru&langpair=en%7Cru&u=http://www.ncbi.nlm.nih.gov/pmc/articles/PMC1131855/

Особенно похожа иллюстрация по КТ:

 

алкс аватар
Не на сайте
Был на сайте: 10 лет 3 месяцев назад
Зарегистрирован: 24.10.2012 - 22:55
Публикации: 2915

ЛГ - "В МРТ не разбираюсь. Думаю, ошибочно могло быть интерпретировано по КТ как фиброзная дисплазия."

Даже если так описано, то не ошибочно. Имеет право быть. Но с Вами согласен - больше за гемангиому.