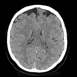
расширение субарахноидального пространства лобные области

smart аватар
Не на сайте
Был на сайте: 8 лет 7 месяцев назад
Зарегистрирован: 12.01.2013 - 20:07
Публикации: 142

подскажите пожалуйства как расценивать такие изменения.(девушка 1992 года)  что то ничего конкретного не нашел. Ткните если не там ищу. И если не там тему создал ((

Андрей Юрьевич аватар
Не на сайте
Был на сайте: 1 неделя 3 дня назад
Зарегистрирован: 16.11.2008 - 22:16
Публикации: 18098

Как вариант, конвекситальные арахноидальные кисты.

Андрей Юрьевич

алкс аватар
Не на сайте
Был на сайте: 10 лет 3 недели назад
Зарегистрирован: 24.10.2012 - 22:55
Публикации: 2915

Андрей Юрьевич wrote:

Как вариант, конвекситальные арахноидальные кисты.

Скорее всего кисты.

smart аватар
Не на сайте
Был на сайте: 8 лет 7 месяцев назад
Зарегистрирован: 12.01.2013 - 20:07
Публикации: 142

в заключении писать "подозрение на кисты(жидкостные образования)" и мрт рекомендовать?

Андрей Юрьевич аватар
Не на сайте
Был на сайте: 1 неделя 3 дня назад
Зарегистрирован: 16.11.2008 - 22:16
Публикации: 18098

Можно и так.

Андрей Юрьевич

Войти Зарегистрироваться