Сфеноидит у ребенка 10 лет. Падает зрение, без острых явлений сфеноидита! Есть ли другие причины падения зрения?

PPKH аватар
Не на сайте
Был на сайте: 12 лет 11 месяцев назад
Зарегистрирован: 24.12.2012 - 21:26
Публикации: 5

Год назад у моей 9-летней дочери начало ухудшаться зрение. Развивалась близорукость и выпадение полей зрения. Офтальмологи направили к неврологам, заподозрив нарушение зрительных нервов. Сделали МРТ. Неврологических проблем по МРТ не обнаружили. Нашли сфеноидит и аденоиды 2-3 ст. Неврологи назначили сосудорасширяющую терапию, т.к. падение зрения объяснили нарушением кровоснабжения зрительных нервов. 

 
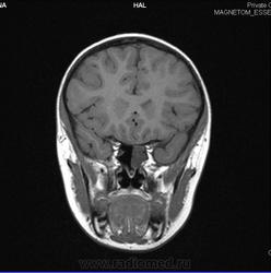
Терапию мы провели, но зрение продолжало сильно падать (за год от -1 до -3,5), поля зрения выпадали. Сделали МРТ повторно (приложено, Ссылка на файлы http://files.mail.ru/7MT6OM , ссылка на фото http://files.mail.ru/7MT6OM?t=1 . После скачивания: Показать в папке / Открыть с помощью / Программа просмотра изобр. и факсов или Paint, или Microsoft Office Picture Manager и т.д.). 
Вновь никаких неврологических нарушений, и вновь обнаружили сфеноидит и аденоиды 2-3 ст. Но основная пазуха теперь уже заполнена почти полностью. Никаких других симптомов (головной боли, выделений, температуры и проч.) нет. Поэтому некоторые ЛОР -врачи считают, что падение зрения может не связано с сфеноидитом.
Есть ли другие причины, по которым зрение может падать?
     
       
Сергей Нагорный аватар
Не на сайте
Был на сайте: 9 лет 8 месяцев назад
Зарегистрирован: 13.07.2010 - 22:49
Публикации: 1370

Снижение (потеря) зрения при изолированном остром(!) сфеноидите редкость. В зависимости от строения синусов бывает сторонность снижения зрения, при такой анатомии, как у вас, скорее, должно быть одностороннее, если вообще говорить о потери зрения из-за сфеноидита. Головных болей нет? Анализы крови как? 

Серию всю не скачал, но глядя на картинки сложилось впечатление о выраженном неравномерном утолщении слизистой, содержимого гнойного или слизистого внутри пазухи не увидел, но надо смотреть серию DICOM. Утолщена слизистая в одной из ячеек решетчатой кости справа.

С уважением, С.Н. Нагорный

федя аватар
Не на сайте
Был на сайте: 11 лет 7 месяцев назад
Зарегистрирован: 25.06.2011 - 20:28
Публикации: 260

процесс в основной пазухе описал бы как мукоцеле,связи по мрт картинкам нет !необходимо исключить  демиелинизирующий процесс ,исключить надо синдром Девика,сделать исследование спинного мозга ,если даже результаты будут отрицательными делать исследование через каждые 3 месяца с контрастом обязательно,сделать исследование цереброспинальной жидкости на олигоклональные антитела

Сергей Нагорный аватар
Не на сайте
Был на сайте: 9 лет 8 месяцев назад
Зарегистрирован: 13.07.2010 - 22:49
Публикации: 1370

федя wrote:

процесс в основной пазухе описал бы как мукоцеле,связи по мрт картинкам нет !необходимо исключить  демиелинизирующий процесс ,исключить надо синдром Девика,сделать исследование спинного мозга ,если даже результаты будут отрицательными делать исследование через каждые 3 месяца с контрастом обязательно,сделать исследование цереброспинальной жидкости на олигоклональные антитела

Ваш коммент про мукоцеле может ввести в заблуждение автора темы, потрудитесь аргументировать, пожалуйста. И не каждые 3 месяца, а через 3 месяца при невыявлении МРТ-критериев при первой МРТ и потом еще один раз через 3мес, на этом нужно остановиться, если не выявлено.

P.S. мукоцеле тут нет.

С уважением, С.Н. Нагорный

федя аватар
Не на сайте
Был на сайте: 11 лет 7 месяцев назад
Зарегистрирован: 25.06.2011 - 20:28
Публикации: 260

 там и без картинок понятно!!!!неразрешившийся в течения года сфеноидит?это так лечат щас?цитирую вам автора -пазуха теперь заполнена полностью,так ведь блок это ?на счет демиелинизации лучшим источником для вас будет Трофимова !!!!

алкс аватар
Не на сайте
Был на сайте: 10 лет 4 недели назад
Зарегистрирован: 24.10.2012 - 22:55
Публикации: 2915

"P.S. мукоцеле тут нет." За! А сфеноидит? Долго лечат, динамика отрицательная, м.б. нео пазухи, с сопутствующим воспалением?

Сергей Нагорный аватар
Не на сайте
Был на сайте: 9 лет 8 месяцев назад
Зарегистрирован: 13.07.2010 - 22:49
Публикации: 1370

И чем же это заполнена пазуха? Где признаки её блока?

Трофимова  уважаемый человек, я просто не знаком со всеми её работами, но чем отличаются критерии Трофимовой от международных критериев Макдональда 2005 или 2010 года? Вряд ли Татьяна Николаевна поддержит Ваши высказывания, противоречащие междунароным критериям.

С уважением, С.Н. Нагорный

PPKH аватар
Не на сайте
Был на сайте: 12 лет 11 месяцев назад
Зарегистрирован: 24.12.2012 - 21:26
Публикации: 5

Головных болей нет. Анализы, кровь - в норме...

А в районе хиазмы и за ней все ли нормально?

PPKH аватар
Не на сайте
Был на сайте: 12 лет 11 месяцев назад
Зарегистрирован: 24.12.2012 - 21:26
Публикации: 5

Нагорный Сергей Николаевич wrote:

Снижение (потеря) зрения при изолированном остром(!) сфеноидите редкость. В зависимости от строения синусов бывает сторонность снижения зрения, при такой анатомии, как у вас, скорее, должно быть одностороннее, если вообще говорить о потери зрения из-за сфеноидита. Головных болей нет? Анализы крови как? 

Серию всю не скачал, но глядя на картинки сложилось впечатление о выраженном неравномерном утолщении слизистой, содержимого гнойного или слизистого внутри пазухи не увидел, но надо смотреть серию DICOM. Утолщена слизистая в одной из ячеек решетчатой кости справа.

Головных болей нет. Анализы, кровь - в норме ...

А в районе хиазмы и за ней все ли нормально?

PPKH аватар
Не на сайте
Был на сайте: 12 лет 11 месяцев назад
Зарегистрирован: 24.12.2012 - 21:26
Публикации: 5

По совету врачей, мы сделали также КТ, она прикреплена. Результаты мне сказали неожиданные. Посмотрите, пожалуйста, я ничего не понимаю... Помогите разобраться... 

Приложения: 
1.jpg2.jpg3.jpg4.jpg5.jpg6.jpg7.jpg8.jpg
Popovpavel аватар
Не на сайте
Был на сайте: 7 лет 3 месяцев назад
Зарегистрирован: 08.06.2009 - 00:23
Публикации: 649

Ну что, был отек слизистой, а потом прошел. Вряд ли причина ухудшения зрения была в сфеноидите, нужно искать другую причину.

Мукоцеле, кстати, не было. Был отек слизистой оболочки с субтотальным (а не тотальным) нарушением пневматизации пазухи.