Снимок МРТ мозга

Виталий60 аватар
Не на сайте
Был на сайте: 10 лет 8 месяцев назад
Зарегистрирован: 27.08.2015 - 01:01
Публикации: 5

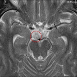
Здравствуйте, подскажите, пожалуйста, по такому вопросу: я делал МР-ангиографию головного мозга (подозрение на вертебробазилярную недостаточность), на одном из снимков заинтересовала одна область (не относящаяся к сосудам) - пятно, которое можно рассмотреть только при увеличении. Является ли это пятно какой-либо патологией, или это вариант нормы?

Заранее благодарен!

Helios аватар
Не на сайте
Был на сайте: 1 год 1 месяц назад
Зарегистрирован: 06.08.2010 - 15:16
Публикации: 4417

Виталий, по одной картинке  судить о патологии невозможно.Скорее всего, это норма. 

Вам выдали описание?

,

Виталий60 аватар
Не на сайте
Был на сайте: 10 лет 8 месяцев назад
Зарегистрирован: 27.08.2015 - 01:01
Публикации: 5

Спасибо за ответ. Заключение было по сосудам. Описано сужение одной из позвоночных артерий. Остальное вроде как в норме. Но мне хотелось бы услышать и другие мнения...

Stanislava аватар
Не на сайте
Был на сайте: 6 лет 3 месяцев назад
Зарегистрирован: 21.06.2011 - 08:24
Публикации: 82

Добрый день. Для того, чтобы услышать "другие мнения" недостаточно одного снимка.

Дмитрий Крекотин аватар
Не на сайте
Был на сайте: 9 лет 2 недели назад
Зарегистрирован: 02.09.2009 - 16:00
Публикации: 24

Доброго времени суток.

Виталий60, область которую вы обвели кругом на картинке - либо эффект суммации (срезы идут обычно по 5 мм  и  наш мозг не хочет быть строго паралельным данным срезам), либо артефакт от тока ликвора. В общем - не вижу повода для беспокойства.
 

Виталий60 аватар
Не на сайте
Был на сайте: 10 лет 8 месяцев назад
Зарегистрирован: 27.08.2015 - 01:01
Публикации: 5

Спасибо! Срезы по 6,5 мм. На предыдущем снимке видны зачатки этого пятна (сам только заметил).

Приложения: 
046520b0.jpg
Евгений Второй аватар
Не на сайте
Был на сайте: 5 месяцев 1 неделя назад
Зарегистрирован: 13.09.2011 - 22:00
Публикации: 1772

Потоковые артефакты в цистерне от пульсации основной артерии.

Виталий60 аватар
Не на сайте
Был на сайте: 10 лет 8 месяцев назад
Зарегистрирован: 27.08.2015 - 01:01
Публикации: 5

Евгений Второй wrote:

Потоковые артефакты в цистерне от пульсации основной артерии.

Это нормально?

Евгений Второй аватар
Не на сайте
Был на сайте: 5 месяцев 1 неделя назад
Зарегистрирован: 13.09.2011 - 22:00
Публикации: 1772

Да. У детей обычно это даже ещё сильнее выражено.

Виталий60 аватар
Не на сайте
Был на сайте: 10 лет 8 месяцев назад
Зарегистрирован: 27.08.2015 - 01:01
Публикации: 5

Спасибо!